【李小勇脑脊液科治疗过程和结果】
患儿女,4岁11个月,河南鹿邑县人。
一、李小勇脑脊液科入院前病史
数天之后即在2013年9月2日,为治疗脑积水,患儿至河南省郑州市某三甲医院神经外科就诊,当日头颅CT示严重脑积水并第四脑室扩张严重(图-1);当天收入院。在住院后次日即2013年9月3日,进行了右侧额角脑室腹腔分流术。
图-1:2013年9月2 日头颅CT
于2014年2月11日即脑室心房分流术后第122天时,患儿突然再次出现头痛和呕吐的症状,立即又第3次返回河南省郑州市某三甲医院神经外科住院治疗,当天查头颅CT显示脑室系统再度扩张严重(图-2)。
图-2:2014年2月11日头颅CT
第3次住院后第10天即2014年2月21日,复查头颅CT显示脑室系统仍扩张严重(图-3)。
图-3:2014年2月21日头颅CT
此时医生认为患儿病情可能会加重至致命,或残废程度,故在该医生的建议下转往北京的李小勇脑脊液科。
二、第1次在李小勇脑脊液科治疗过程和结果
患儿于2014年3月17日(脑积水脑室腹腔分流术后7月余,失败后再行脑室心房分流术后6月余,头痛伴呕吐1周余)住入李小勇脑脊液科,入院时:神志昏睡,精神差,发热,头围外观大于正常(注:儿童迟发加重性婴儿型脑积水),因近3日进食差、间断呕吐而呈脱水貌;头颈部可见脑室心房分流术后瘢痕(图-4)。当日急查电解质,结果提示低钠血症(注:因呕吐和不能进食所致)。
图-4:2014年3月17日入院时
当天头颅CT示第四脑室包括在内的脑室系统全部显著扩张的表现(图-5)。
图-5:2014年3月17日入院时头颅CT
入院当天进行了脑室心房分流管取出术+脑室外引流。住院治疗次日即在2014年3月18日,神志转清,并恢复了答题准确、遵嘱活动的能力,恶心及呕吐、发热及头痛的表现均消失;引流出的脑脊液呈淡黄色微浑浊表现(图-6)。
图-6:2014年3月18日
住院治疗第2天即2014年3月19日,复查头颅CT示第四脑室包括在内的脑室系统扩张程度虽均有所减轻,但第四脑室扩张程度仍严重(图-7)。
图-7:2014年3月19日头颅CT
图-8:2014年3月24日头颅CT
住院治疗第17天即2014年4月3日,脑脊液已显著转清(图-9)。
图-9:2014年4月3日
住院治疗第19天即2014年4月5日,病情大幅度好转:开始能够床上自由活动(图-10)。
图-10:2014年4月5日
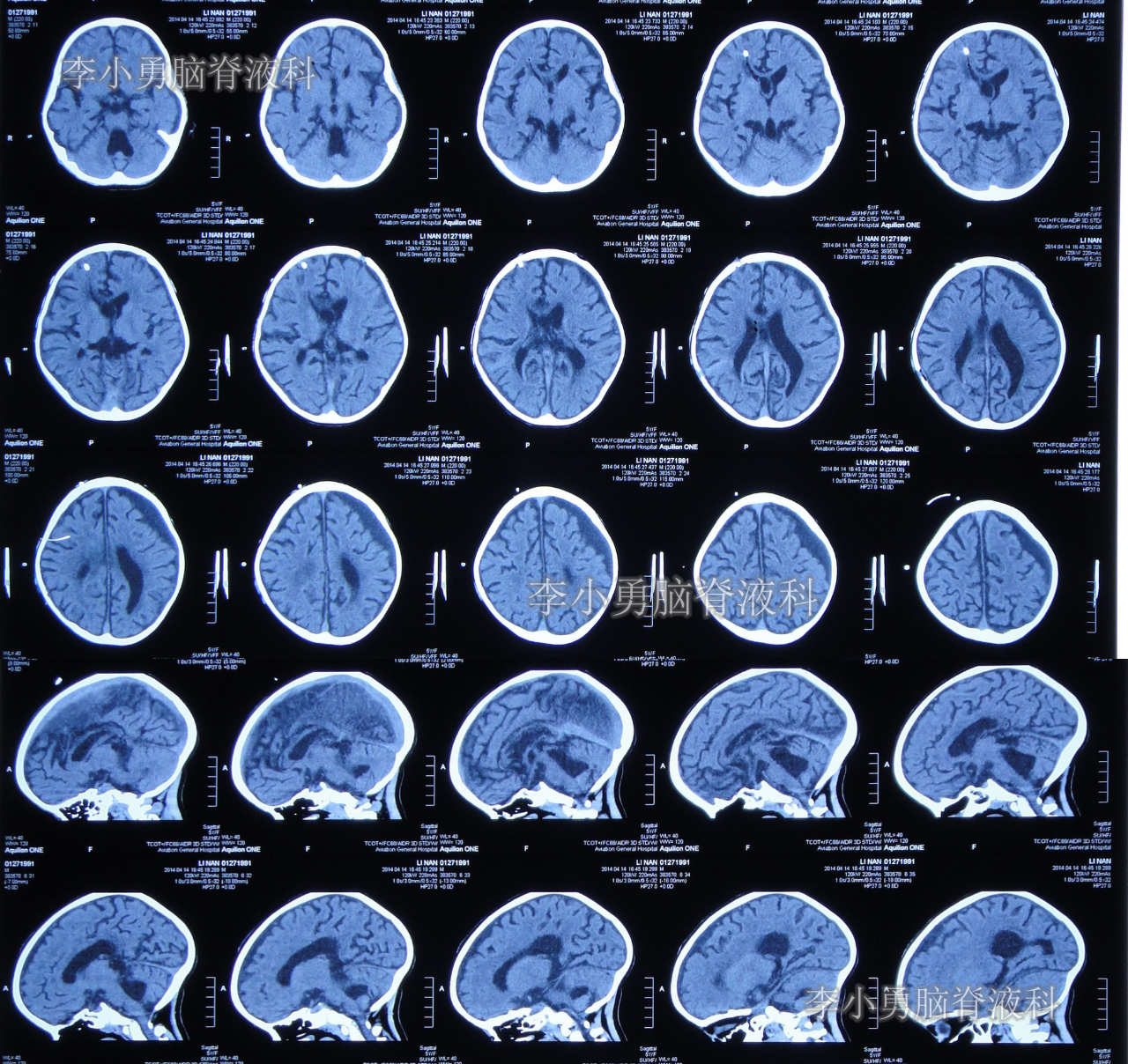
住院治疗第28天即2014年4月14日,复查头颅CT示幕上脑室大小恢复到基本正常的状态,第四脑室再度显著缩小但仍稍大(图-11)。
图-11:2014年4月14日头颅CT
住院治疗第29天即2014年4月15日,变得能站立活动(图-12)。
图-12:2014年4月15日
住院治疗第30天即2014年4月16日,查头颅CT示幕上和第四脑室均基本正常(图-13)。
图-13:2014年4月16日
图-14:2014年5月5日术后当天头颅CT
脑室腹腔分流术后次日早晨即住院第51天或2014年5月6日,患儿出现了嗜睡,精神变差,表情痛苦及呕吐的表现(图-15)。
图-15:2014年5月6日
当天头颅CT示第四脑室及脑室系统又有明显扩张(图-16);CT检查后,床旁急行左额角脑室外引流术。
图-16:2014年5月6日头颅CT
术后次日即2014年5月7日,患者神志完全转清(图-17)。
图-17:2014年5月7日
脑室外引流术后第2天即2014年5月7日,复查头颅CT示脑室系统仍扩张,分流管脑室端游走脱位(图-18)。
图-18:2014年5月7日头颅CT
脑室外引流术后第3天即2014年5月8日,接受了脑室腹腔分流脑室端调整术;术后当日查头颅CT示脑室系统扩张减轻(图-19)。
图-19:2014年5月8日头颅CT
此次术后,患儿神智清楚,活动变好。分流管修正术后第6天即2014年5月14日,拔除左侧脑室外引流管(图-20)。
图-20:2014年5月14日
图-21:2014年5月28日出院时
图-22:2014年5月28日出院时头颅CT
三、第1次出院后随访
图-23:2014年11月21日
四、第2次在李小勇脑脊液科治疗过程和结果
出院后近7年时间内,孩子身体一切正常,但直到2021年2月初出现头晕,头痛;双下肢感觉无力,不爱讲话,偶有恶心呕吐(图-24),因间断2周没有缓解,于2021年2月18日第2次住入北京的李小勇脑脊液科。
图-24:2021年2月初
2021年2月18日入院时:头晕头痛,不爱讲话,走路时身体往左边歪斜,左腿单独站立不稳,偶有恶心呕吐(图-25);查头颅CT后考虑堵管(图-26)。
图-25:2021年2月18日入院时
图-26:2021年2月18日入院时头颅CT
第2次住院治疗81天后症状完全消失,于2021年5月10日出院;出院时:言语变正常,走路时腿部变得有力量,走路时向左侧歪也变好,头痛头晕呕吐已完全消失。(图-27);出院时头颅CT示无异常(图-28)。
图-27:2021年5月10日出院时
图-28:出院时头颅CT
〔本典型病例所涉及的图片和视频均经患者本人或家属同意,如有异议,请联系该内容发布方〕
*********专家简介***********
10.神经内科型脑膜炎(化脑/结脑/真菌/病脑)及其脑积水或顽固高颅压并发症。
交流咨询(中华脑脊液科医生群):13651375487(微信同号)




