2022年08月03日发布 | 594阅读
创伤重症-颅脑创伤和脑出血并发症

慢性硬膜下血肿,穷尽引流

张坤源

重庆三峡医药高等专科学校附属人民医院

患者 男,年龄 47岁,因“间断头晕10+天”入院。

查体:神清语利,右侧肢体灵活性稍差,余无明显异常。

入院CT提示左侧额颞顶部慢性硬膜下血肿,密度均匀。

术后复查

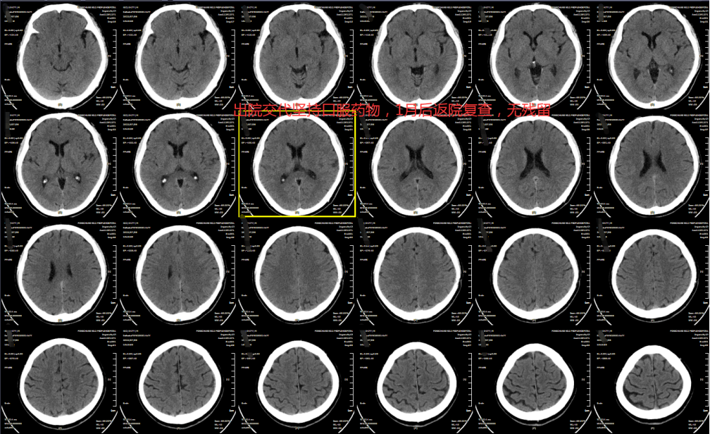
出院前。

1月后复查。

最新评论
发表你的评论
发表你的评论
来自于专栏
相关临床评分小工具
关键词搜索