双侧椎动脉闭临床不常见,但容易引起后循环缺血导致头晕、梗塞等。部分优势侧闭塞而对侧发育不良,也可以引起严重缺血事件。枕动脉-椎动脉搭桥,可以在不需要开颅的情况下,实现颅外-颅内血运重建,改善后循环缺血。

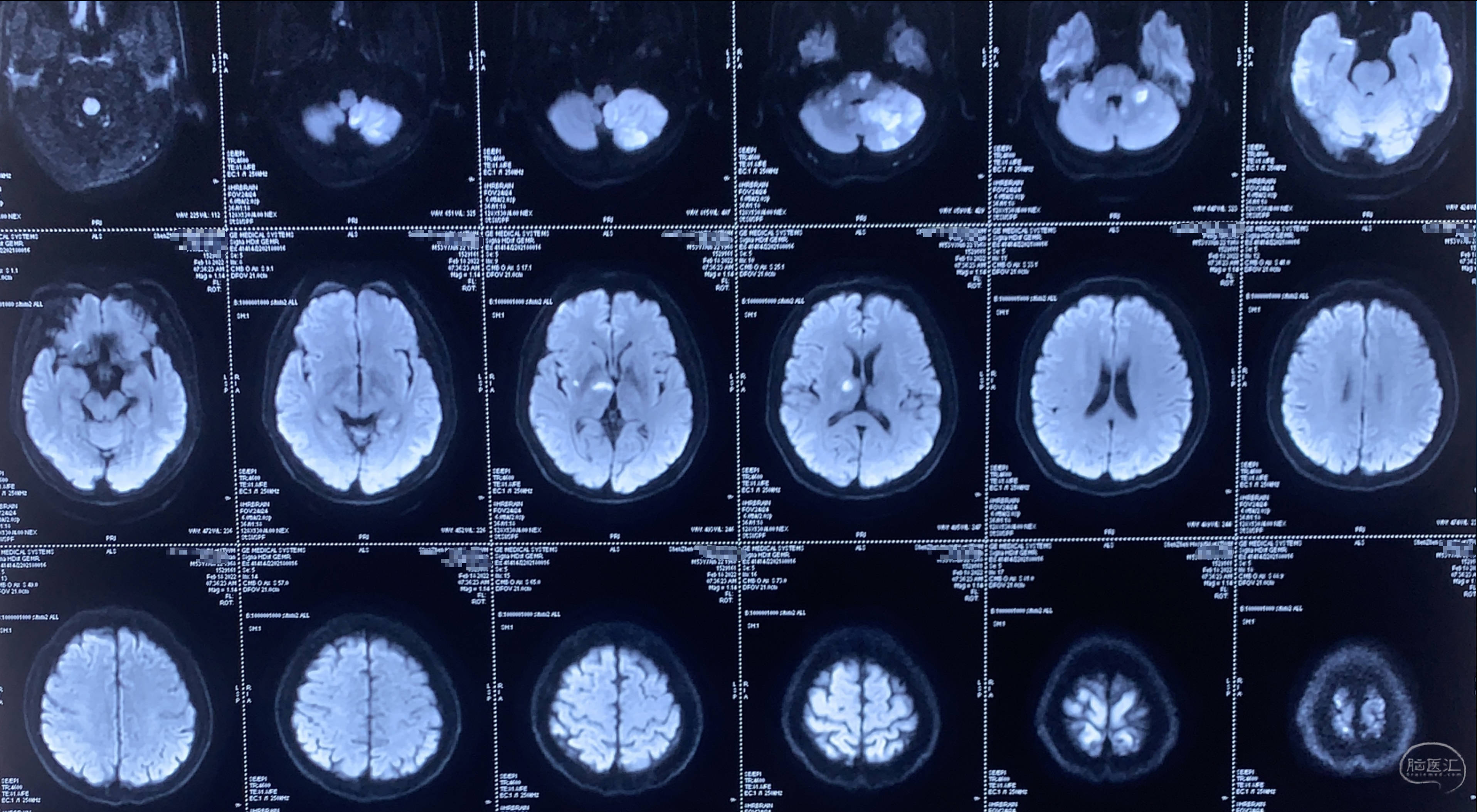
这是一个中年男性,头晕起病,外院MR提示后循环的多发梗塞!

MRA提示左侧椎动脉闭塞,右侧发育不良,颅内段重度狭窄。

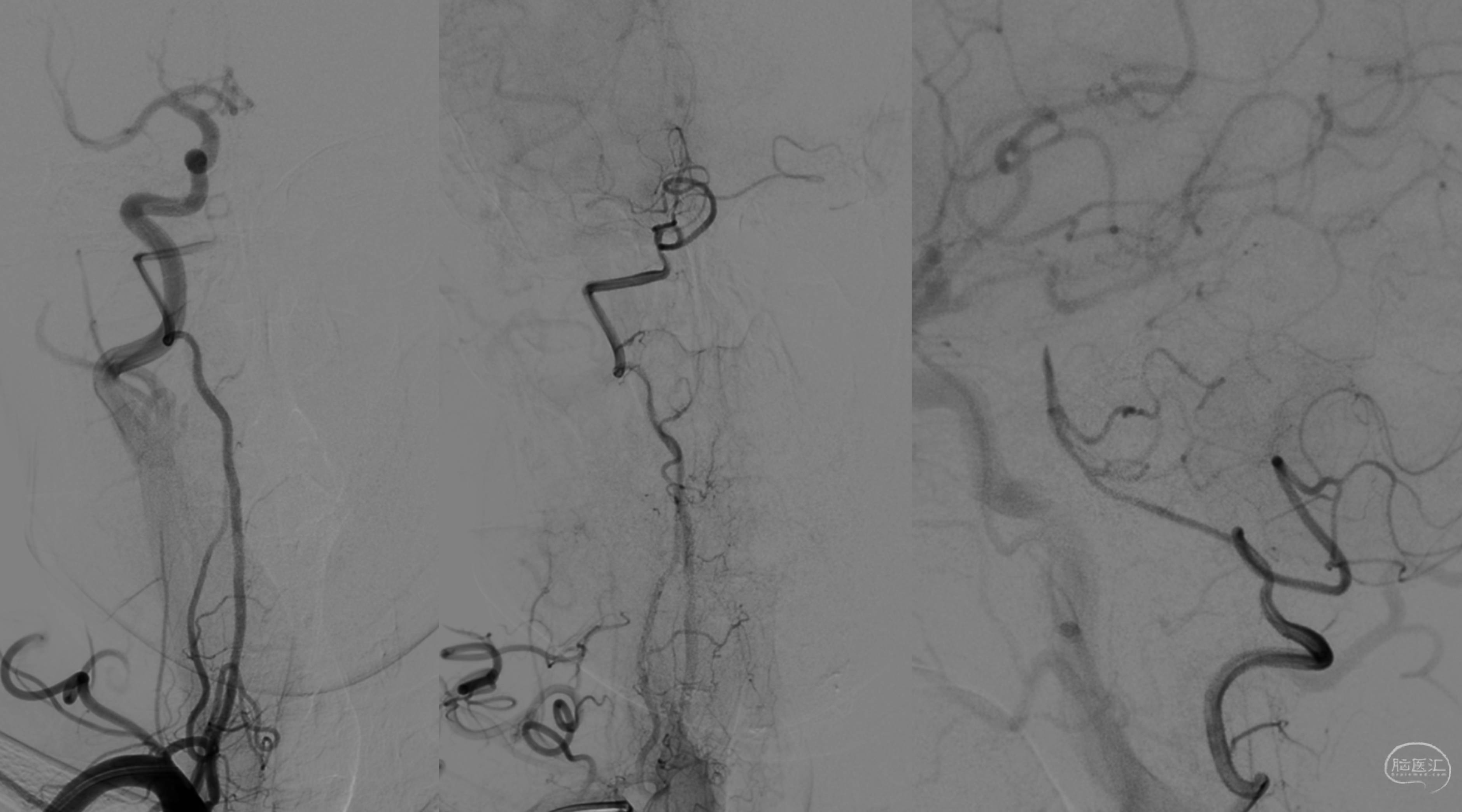
DSA造影看到左侧椎动脉V3段通过颈深动脉的肌支吻合代偿供血,但显影一般。

前循环造影提示以后交通开放,向后循环代偿。

右侧ICA主要代偿右侧大脑后动脉。

右侧椎动脉非优势,颅内段发育不良。

外院曾尝试开通,因起始部完全闭塞,不成功!

入院后的CTA确认闭塞,右侧VA发育不良!

灌注CT提示后循环低灌注。患者头晕症状明显,手术意愿强烈,同时由于先前介入开通不成功的影响,排斥包括复合手术在内的介入治疗。在了解了枕动脉-椎动脉搭桥不需要开颅后,当即同意!

左侧V4段显影,但V3段会不会随着时间推移形成血栓?(距离外院治疗已经2个月)如果闭塞的话,OA-V3搭桥的方案可能就行不通了!替代方案为枕下开颅,OA-PICA bypass!

全麻后采取右侧卧为,牵拉同侧肩膀,舒展开左侧枕下区域。
Step1,枕动脉暴露!由远及近,逐渐暴露皮下段(subcutaneous segment)、移行段( transitional segmaent)及肌间段(intramuscular segment)。
Step 2, 枕动脉获取。全程暴露后,利用针式单极,干净利落的将OA游离,皮筋牵开远离操作术野,罂粟碱棉片包裹备用。
Step3,枕下三角暴露。将头夹肌从上项线切开后,就暴露下外侧方由头后大直肌、上斜肌及下斜肌(未暴露)组成的枕下三角。开始趟雷之间,先暴露寰椎后弓,触摸椎动脉沟位置,以定位椎动脉!
Step4,V3暴露!再次明确椎动脉沟后,基本了解椎动脉位置。再利用组织剪锐性分离枕下三角内的脂肪组织,暴露深部椎动脉及椎旁静脉丛!在椎旁的静脉丛完整呈现出来的时候,发自内心的赞叹造物主的伟大,于细微处现绝妙之美景。现仍能回味当时的心境,就如同夏日炎炎之时获得了一串美味的葡萄!当然,再美之物还是得抛开,因为深藏其中的椎动脉,才是终极宝藏!电凝后剪开,暴露椎动脉V3段,备用!(术中在暴露后进行了ICG造影,证实V3管腔通畅,不需要备用方案进行开颅)
Step 5,OA-V3 bypass。枕动脉标准的外膜修剪,鱼嘴样成形。引入术野。椎动脉临时阻断,切开。端侧吻合......其实这一段的工作倒是不难,毕竟血管粗大,管壁结实,8-0的缝合线缝起来扎实有力!吻合完成后,ICG造影确认通畅 。

逐层缝合关闭枕下肌群!

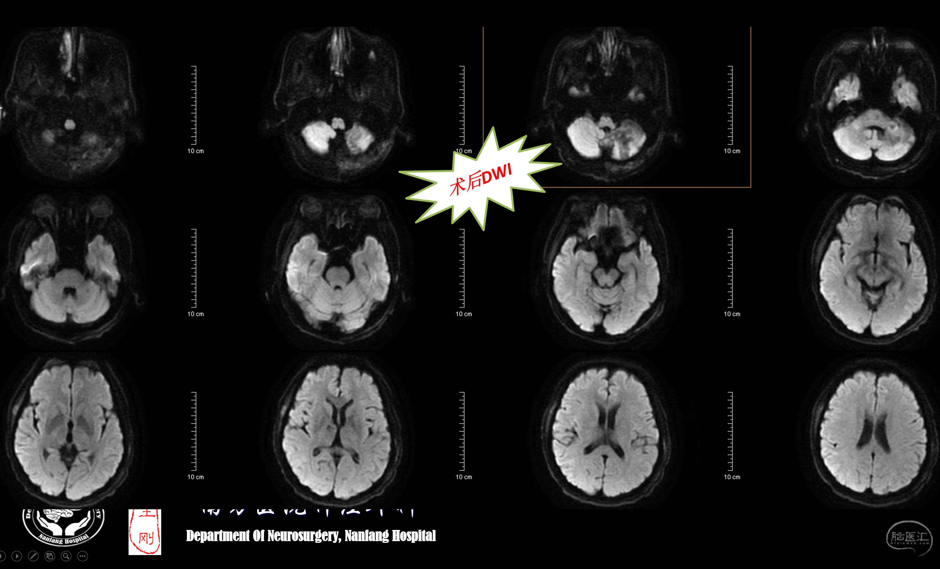
术后DWI未见新发梗塞。

后循环灌注改善!
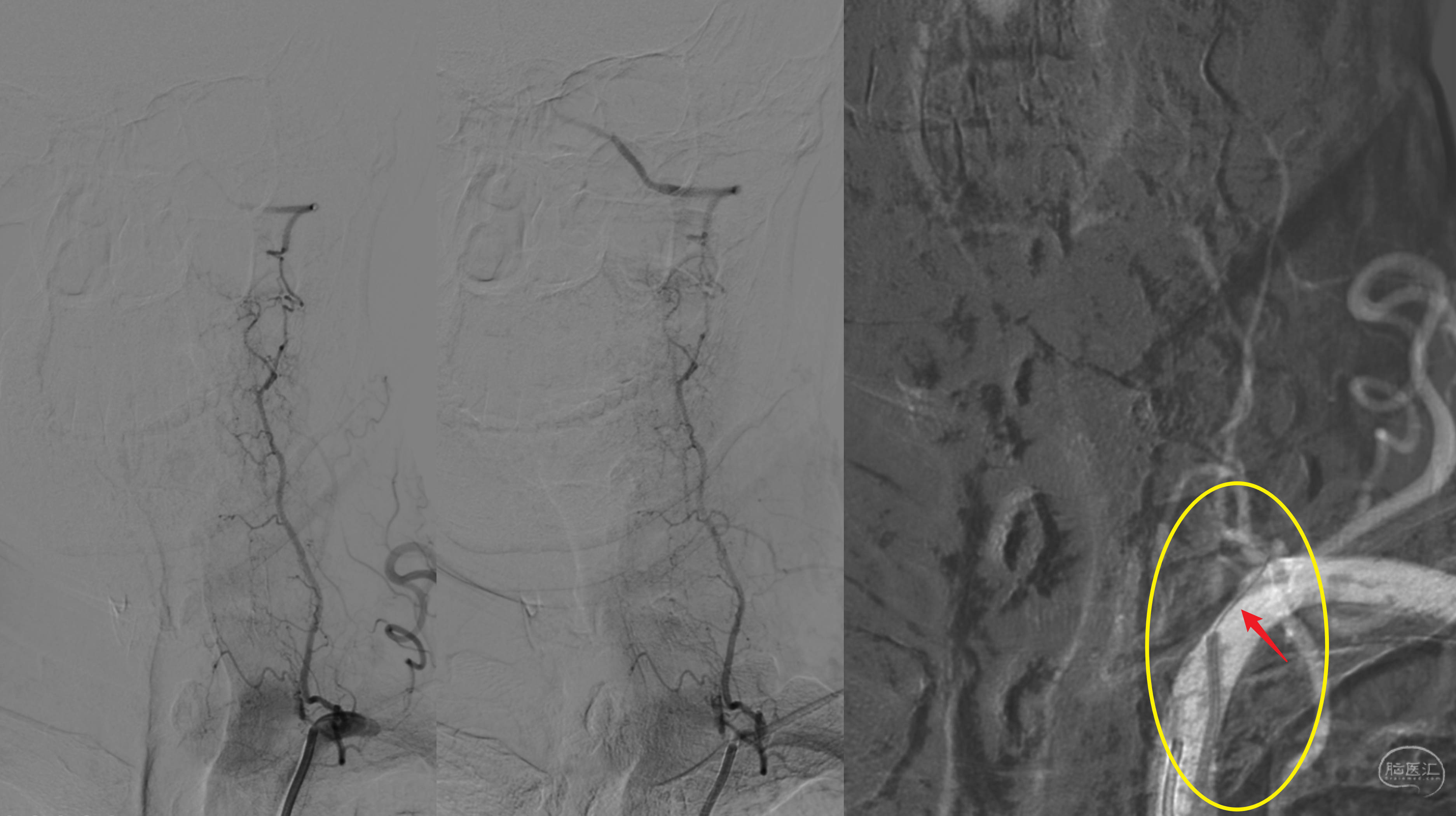
复查DSA造影,提示桥血管通畅,后循环血流明显改善!

三维重建,提示骨性结构完好,OA-V3桥血管通畅,吻合口无狭窄。超声提示血流量33ml/min。
患者恢复顺利,如期出院!电话随访,头晕症状明显改善。

算来这是第三例OA-V3搭桥,作为椎动脉闭塞治疗的重要武器之一,可以有效解决临床问题。不需要开颅,掌握了枕下肌群及枕下三角的解剖特点后,就可以按部就班的完成标准的端侧吻合!
从case1到case3,逐渐改进的在于3点:
①体位相同,但头钉、头架的使用使得枕下的操作术野更舒展,利于操作!(case1当时仅仅用了头托,严重影响了术野的暴露)
②切口由拐杖形改为曲棍球形。虽然最终吻合的部位在外测方的枕下三角,但中线部位肌肉的切开,特别是头半棘肌的切开,非常好的显露了其下方的头后大直肌,利于枕下三角结构的清晰辨认,同时增加了后续吻合的操作空间。
③椎旁静脉丛的处理:枕下三角暴露清晰后,脂肪组织采用组织剪进行分离(类似于CEA操作),避免椎旁静脉的过早损伤。再从V3的近心端开始,从动脉-静脉之间的腔隙逐渐电凝-剪开,可以非常从容的暴露好V3。
虽然临床应用不会很多,但这三个病例还是给我带来了久违的享受手术的感觉!一直秉持这科室把每一台手术做成精品的理念,但随着类似手术的不断重复,边际效应(marginal effect)不可避免的会到来。在治愈疾病的同时,也感谢这三位患者给我带来的快乐!
同时也感谢科室给了我们年轻医生非常好的成长平台,有老大的支持(case1的鼓励和指导,是成功的重要因素,带有了case2和case3)!非常感谢兄弟科室的尹教授和小齐同学,case1来源于他们的推荐!
希望大家继续支持我们的脑血运重建事业!谢谢!^_^
References: