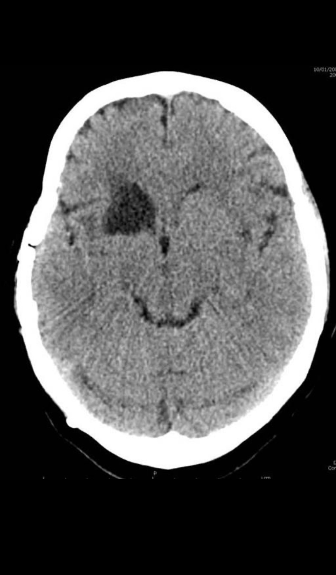
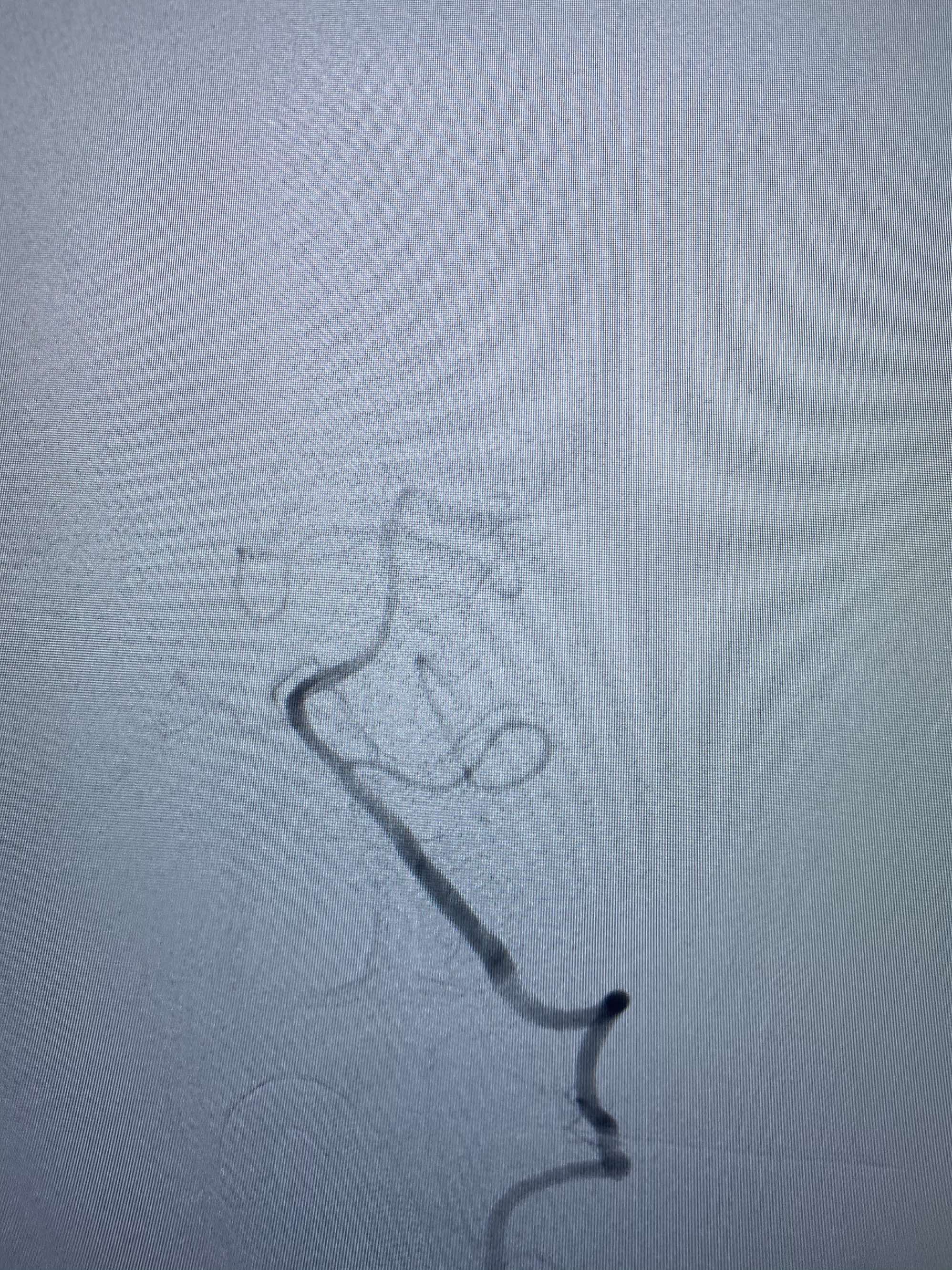
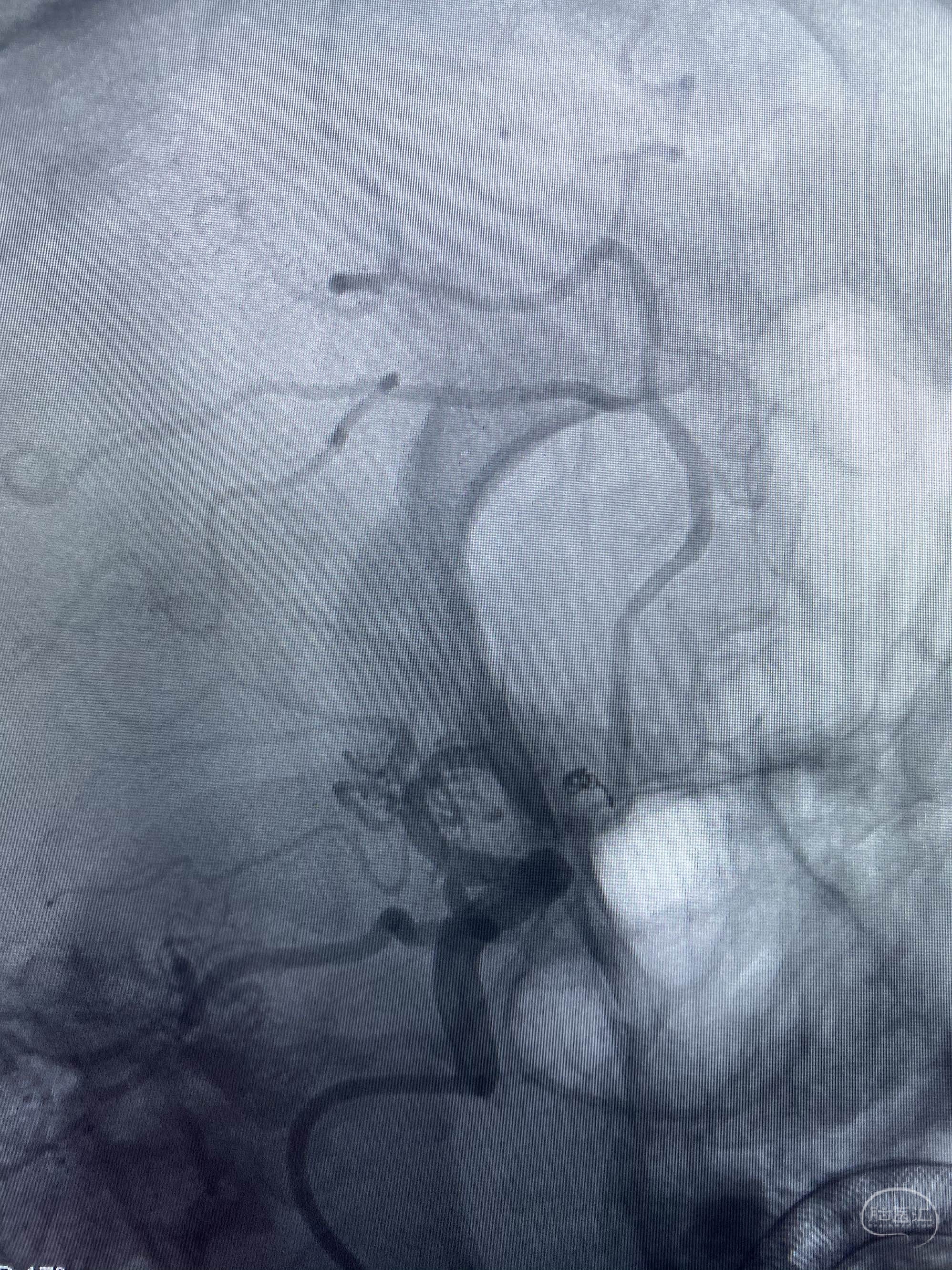
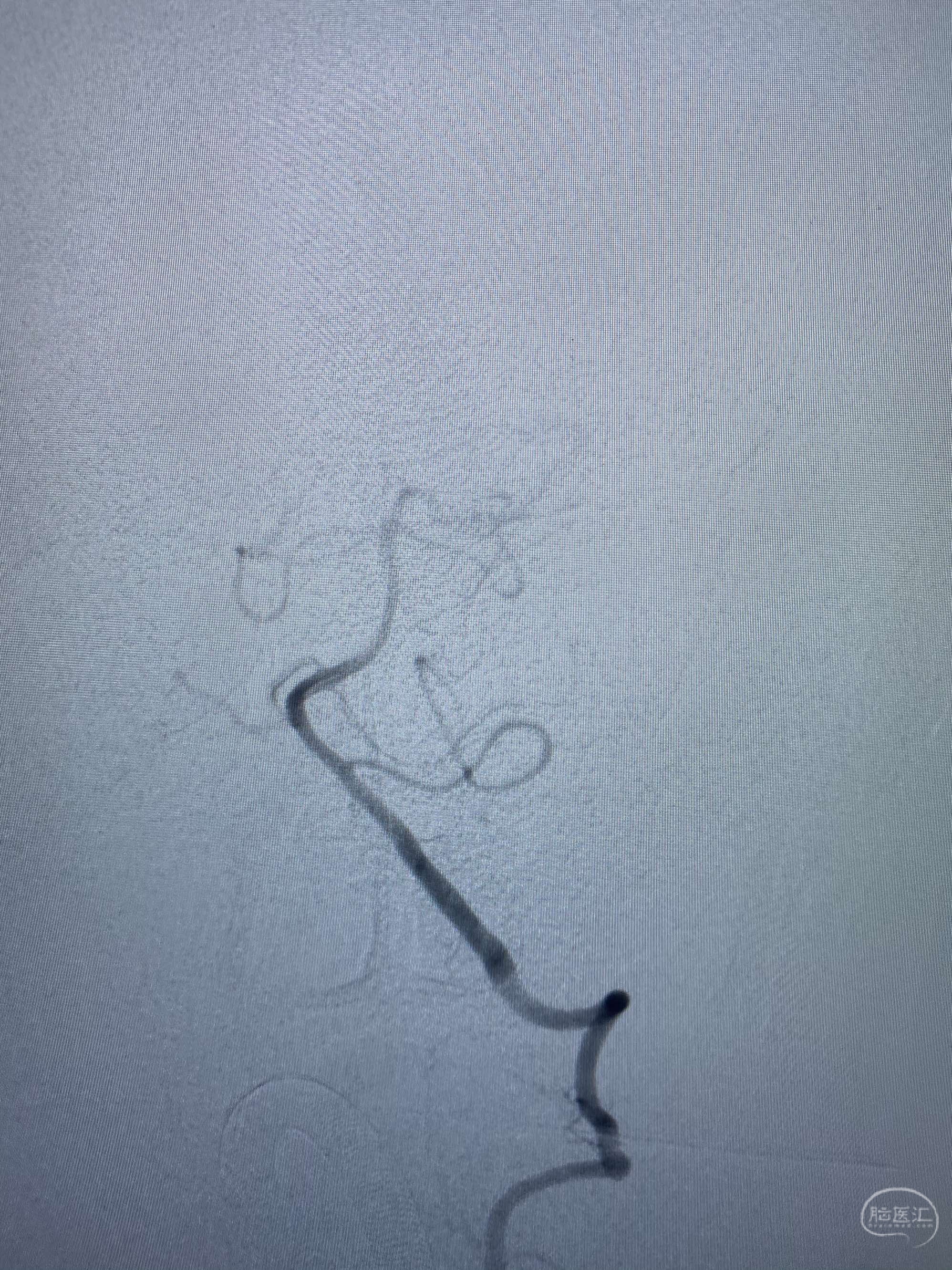
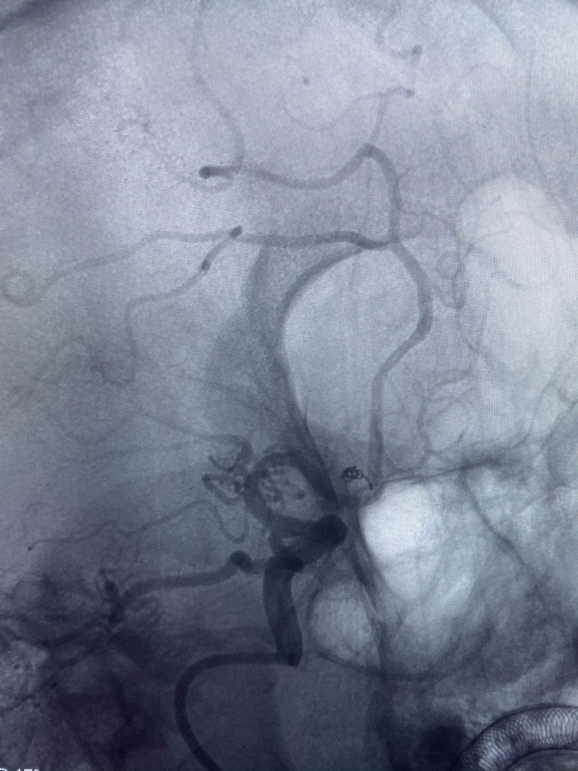
MLS,M79Y,sah,双侧MCA烟雾病,Heubner返动脉瘤,前交通段开窗,细支发出Heubner返动脉,瘤颈细长,瘤颈口比微导管细,弹簧圈2mmx3cm“隔山打牛”填塞治愈,Heubner返动脉保留。
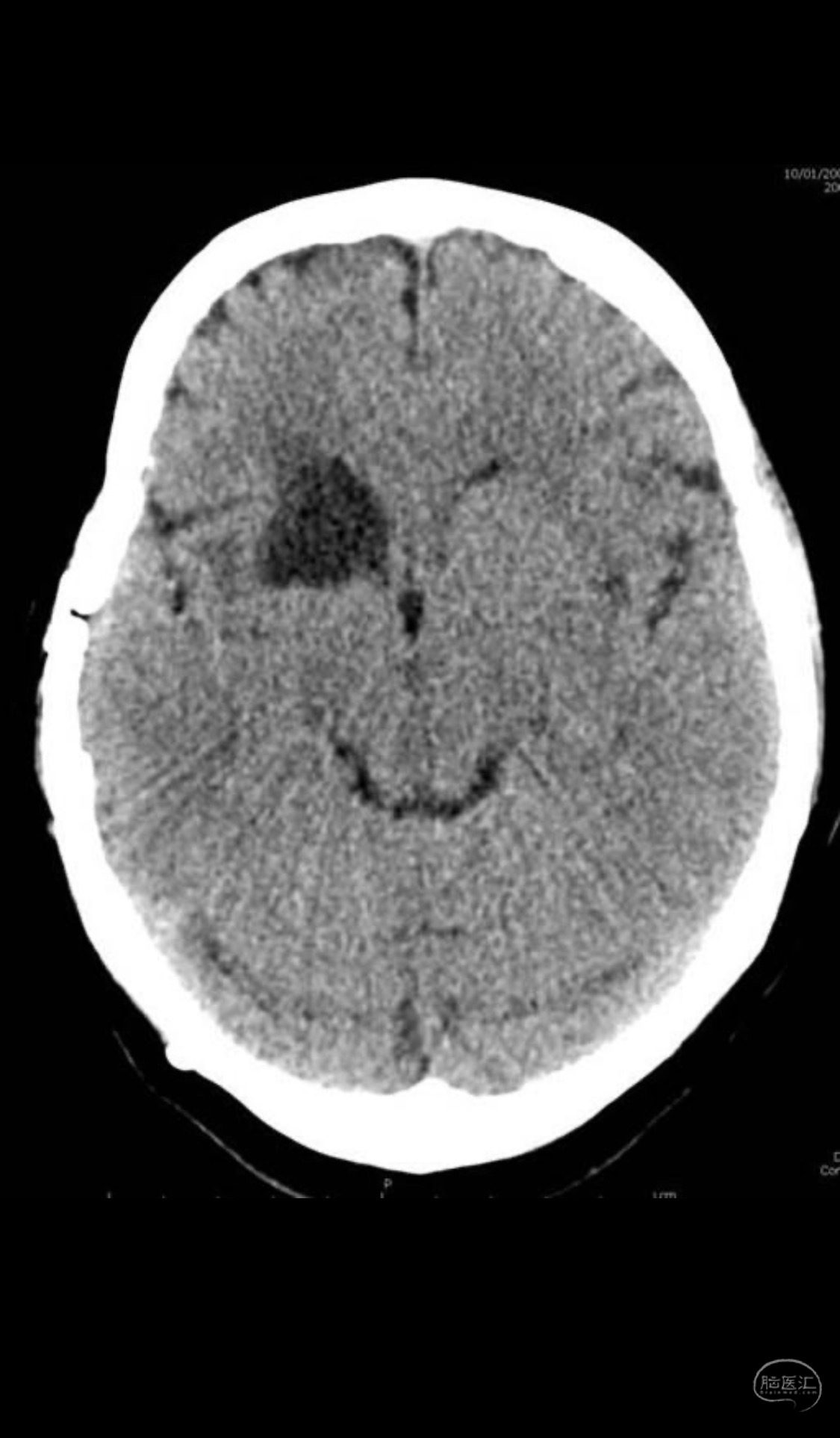
该患者术后2天观察神志清楚,四肢活动正常。
Heubner返动脉是由大脑前动脉A1末端发出的豆纹动脉,由于走形和A1段相反,故称Heubner返动脉,该动脉梗塞可能引起尾状核头梗塞,引起偏瘫和面瘫,便身震颤等症状。




