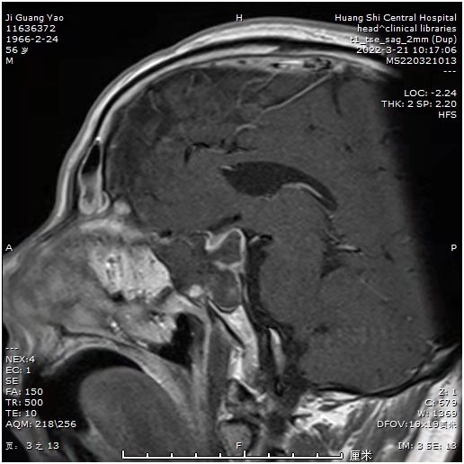
患者近期视力明显下降,一侧视力只有0.1,而且感觉眼部肿胀不适。MRI:发现鞍区占位。常规CTA,发现鞍区小动脉瘤!如果先处理动脉瘤,介入需支架辅助,术后需口服抗凝药物,近期3个月内,不能手术。患者必将失明!怎么办?和患者及科室血管介入组沟通后,患者意愿强烈,先行垂体瘤手术,做好术中动脉瘤破裂可能,带上动脉瘤夹,备用。
可见动脉瘤和垂体瘤很近
术中打开蝶窦,磨开鞍底。其实鼻子很小的。三个器械在里面,器械直接会打架的。更不要提二维的显示屏,去剪肿瘤。因为你看不到剪刀的另一边。一不小心,都不知道剪到啥东西了。
术中的情况。可见肿瘤藏在各个条索状分隔里,分离分隔。吸除肿瘤,尽量清除条索样物。可见鞍膈下降。术后患者诉视力明显改善。眼睛暴胀感消失。
今天取纱条,看有无脑脊液漏,并清理鼻腔。适当丁卡因使用,避免患者有火辣辣的感觉。
术后显示肿瘤切除满意,正常垂体及垂体后叶后叶保留,术后患者诉视力明显改善。眼睛暴胀感消失。视力基本正常范围。
术中视频:




