SegmentEditorExtraEffects插件可以快速勾画出肿瘤与血肿。

新建两个segment分别paint出种子后点
Initialize 就可以完成。

这是一个肿瘤患者的MRI,新建两个segment用paint勾画肿瘤与周围组织。

运行图中所示插件命令后apply就可以勾画出肿瘤。

这个方法快捷,成像比较圆滑。

应用mask volume新建volume,然后应用 volume rendering,可以3D观察病变部位,制定手术计划。

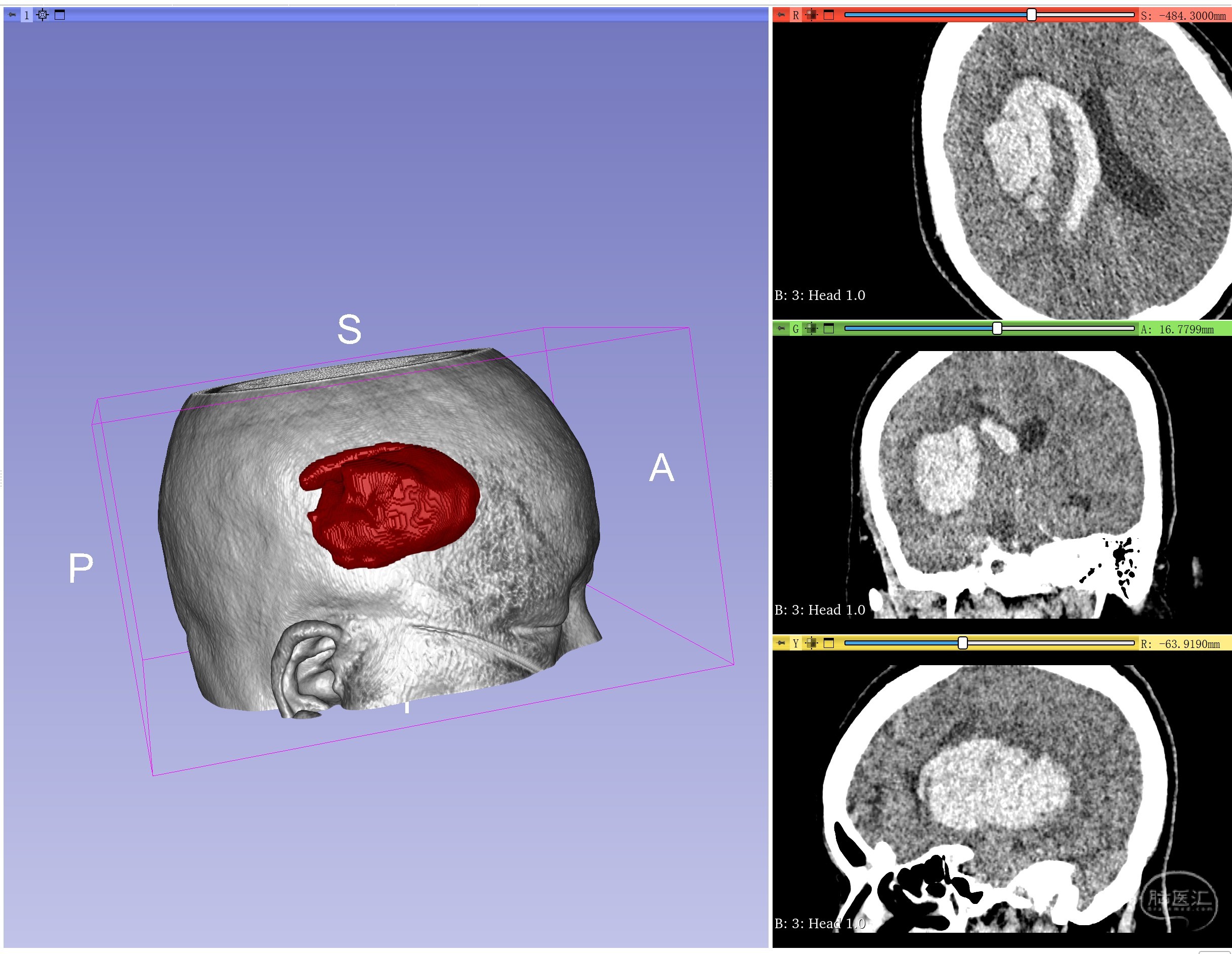
脑出血的病例也可以很快勾画,用时只需数分钟,结合手机sina APP就可以定位了。