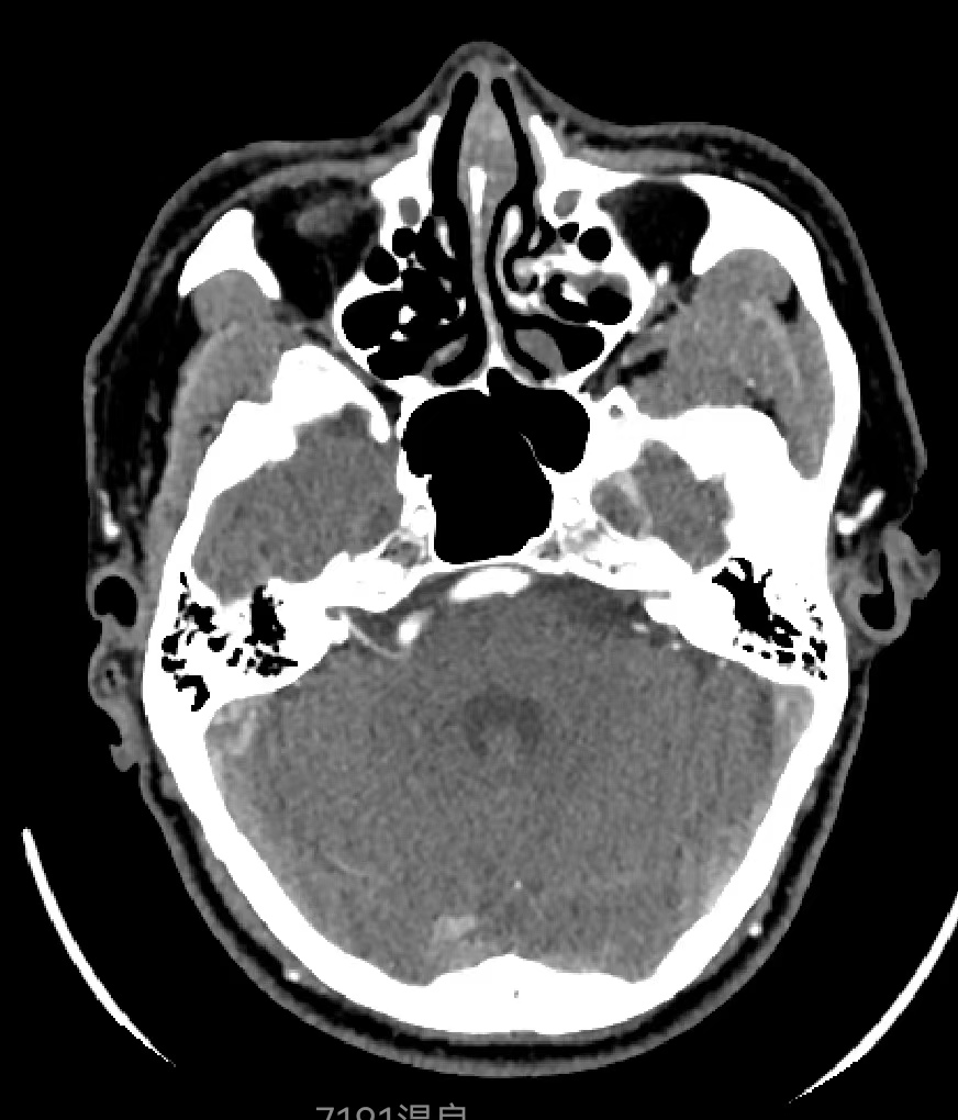
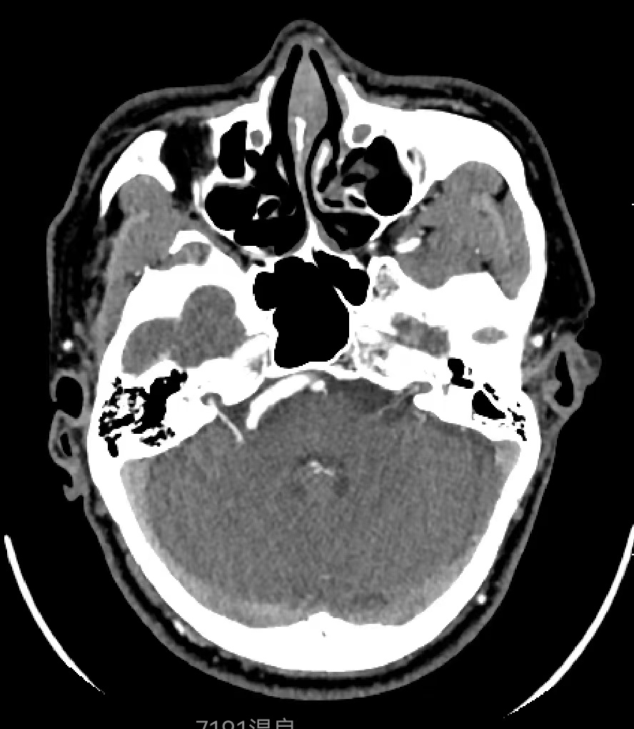
患者,男性,46岁,因“右侧面肌痉挛5年”就诊。查体右侧可见典型的面肌痉挛表现。当地医院MRI可见右侧椎动脉与面神经关系密切,我院行CTA检查可见内听道附近椎动脉扩张、迂曲,与面神经关系密切,与当地医院MRI相符。
完善检查后,行右侧面神经微血管减压术,乙状窦后切口,小脑绒球下入路。术中因椎动脉粗大,若直接在面神经REZ区域垫入涤纶布,将加重椎动脉对面神经压迫,我们通过架桥+悬吊法对椎动脉行充分减压。
术后患者面肌痉挛即刻完全缓解,无其他颅神经影响,围手术期无并发症发生,术后5天出院。随访2年余,症状无复发。
 
 



