脑积水是医学界公认的顽症,其症状复杂,病程缠绵。大部分脑积水伴发高颅压,少数为正常压,仅有极少数患者会表现为低颅压。低颅压性脑积水(LPH)(low pressure hydrocephalus)的常见原因为蛛网膜下腔出血、高血压脑出血破入脑室以及外伤型脑内出血等。LPH可致较原发病更严重的神经功能损害甚至长期卧床。因临床表现无特异性,临床上常易误诊或漏诊,而错过最佳治疗时机。
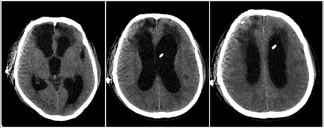
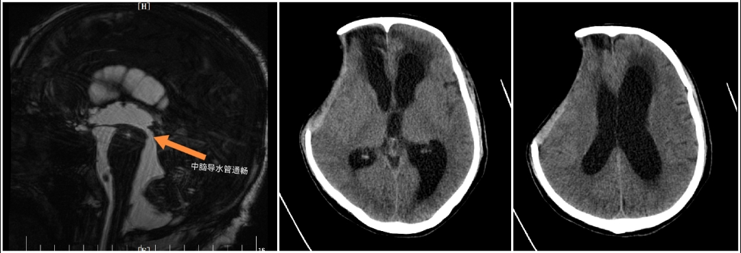
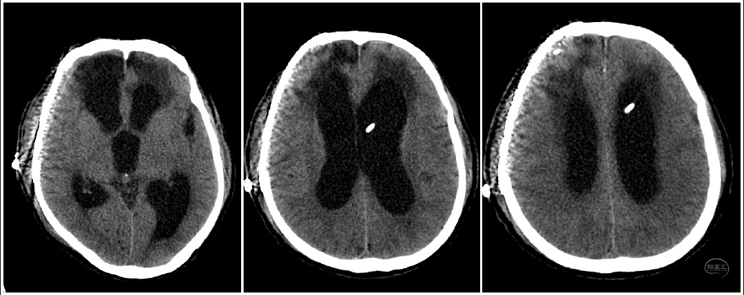
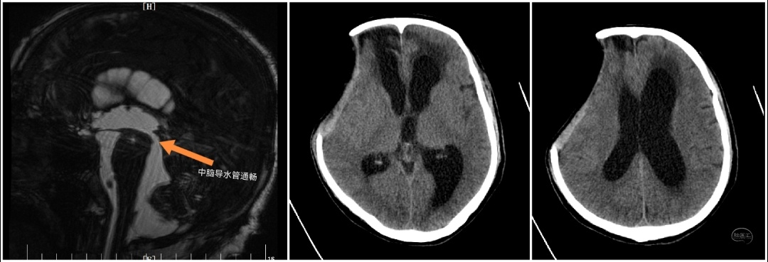
近期陕西省核工业二一五医院神外监护室完成西北首例低颅压性脑积水ProSA+ProGAV系统分流手术。患者老年男性,半年前因重型颅脑损伤在本院行开颅手术治疗,术后意识清楚,好转出院。本次因智力减退步态迟缓10天入院。入院头颅CT及核磁提示(脑室系统扩大,周围可见间质水肿;中脑导水管通畅)。
患者临床症状表现为痴呆、步态不稳、记忆力减退、大小便失禁症状。既往有颅内感染病史,腰穿测压力为70mmH2O,脑脊液蛋白含量高。在颅骨修补手术后,患者意识障碍较前加重。术后头颅CT(脑室系统较前扩大)。采取侧脑室额角穿刺安置Ommaya囊,通过侧脑室穿刺管内水柱高度判断侧脑室内压力,测患者脑室内压力为60mmH2O。诊断为低颅压性脑积水。
目前低颅压性脑积水的病理生理机制仍未明确,有学者提出黏弹性原理,在脑积水形成初始,脑室内脑脊液积聚使脑室内压力增大,使脑组织这个黏弹性体受力逐渐变形,脑室形态不断扩大,当扩大到一定程度后脑室内压力下降,类似施加在黏弹体上的压力被卸载,因黏弹体变形恢复存在滞后延迟效应,此时脑室内虽然已呈低压状态,但扩大变形的脑室未能同步恢复正常。目前研究主要倾向于LPH与脑顺应性的改变有关。对于确诊LPH的患者,除积极处理病因外,还可采用持续的脑室低压或负压外引流,其目的在于降低直至消除侧脑室-蛛网膜下腔的压力梯度差,逐渐恢复脑组织弹性,促进脑室形态和脑组织顺应性恢复正常。住院期间对该患者间断Ommaya囊抽取脑脊液1次/日,60-70ml/次,患者智力减退、步态不稳等症状无明显改善。后期调整Ommaya囊抽取脑脊液次数,改为2次/日,80-90ml/次。在增加脑脊液抽吸量及频次后,患者意识及智力减退症状逐渐好转,可逐步经口进食。
术前视频
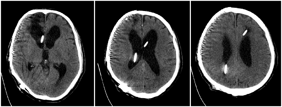
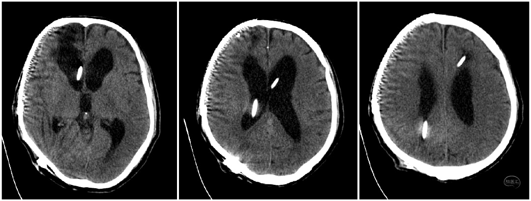
针对低颅压脑积水最常用的治疗方法为脑室-腹腔分流术。进行治疗过程中分流管的选择对于患者的预后质量具有重要影响,分流不足与分流过度均会造成严重并发症,不仅影响治疗效果,甚至会导致患者死亡。谢国强主任组织科室研究讨论制定治疗方案。患者脑脊液指标正常后,计划行脑室腹腔分流术。本次选用ProSA+ProGAV系统可调压式分流管为是西北地区首例。proSA是首个允许在直立位,以及在直立位与仰卧位见的任何角度进行开启压力调节的脑积水阀门,其开启压力随患者体位变化而改变。当处于水平体位时,重力装置无阻力,仅压差装置决定整个分流系统的开启压力。处于直立体位时,完整分流系统的开启压力为压差装置开启压力和重力装置开启压力之和。应根据患者身高、体重和年龄选择重力装置的开启压力。它为各种类型的脑积水提供了更多的治疗选项和可能性,大大超越了传统可调压分流管的局限。抗虹吸(抗静水压压力)大小设置可以从0—40cmH2O,适应每位患者的个性化需要。proGAV 因其使用了重力智控阀,其在仰卧位时处于未激活状态,站立位时重力智控阀与可调压阀协同工作,阀门整体开启压力增加,有效的保护了患者避免受到过度引流的影响。proSA可以与不同类型的压差阀组合使用,21级抗虹吸档位可选,与proGAV联合使用可提供高达21*21=441种压力组合。根据患者体位自适应所需开启压力。钛合金的外壳确保高可靠性,避免了外界压力及皮下压力对阀门的影响。手术在脑室镜及腹腔镜辅助下进行,有助于准确定位相应解剖结构,将分流管置于比较理想的位置,从而降低管道被堵塞的机会。术后复查头颅CT可见(脑室较前缩小,间质水肿减轻明显)。




