2022年04月26日发布 | 175阅读
脑血管-颈动脉狭窄
脑血管-自定义
其他-自定义

颈椎病行颈椎管狭窄减压术后颅内感染、脑积水致意识模糊、间断发热、不能遵命活动,经李小勇脑脊液科治好

李小勇

北京中西医结合医院

【李小勇脑脊液科治疗过程和结果】


患者男,58岁,山东省曲阜市人。


一、李小勇脑脊液科入院前病史


患者于2021年4月初出现左上肢头疼痛并麻木,精细动作难以完成,症状无自行改善且持续加重,于发病1周后即2021年4月13日,就诊于当地的第1家的山东省济宁市曲阜市某医院,查颈椎DR(片子丢失)和颈椎MR(图-1)后诊断为颈椎病;给予药物保守治疗。既往史病史:听力下降2年余。

图-1:2021年4月13日颈部核磁


但药物治疗半月余症状并无改善,于2021年5月2日(药物治疗19天后)就诊于第2家的上级的山东省某省级三甲医院,入院后给予完善相关检查后诊断为耳聋,前列腺增生。

入院后第5天即2021年5月7日,进行了颈椎后路单开门椎管扩大成型术。术后症状改善,于2021年5月11日(入院治疗第9天)出院。

但出院后近1周就出现头痛及发热,体温最高可达38度,吃退烧药后当时能退热但次日下午会再次发热,发热反复多日,因头痛无法忍受,于2021年6月1日(第2家医院出院后22天),第2次就诊于当地的第1家医院山东省曲阜市某医院,通过检查后医生考虑泌尿系感染,给予抗感染治疗。

但抗感染治疗20余天仍无改善,于2021年6月22日(第1家医院第2次治疗22天后),第2次就诊于给予手术的医院,入院后给予腰椎穿刺检查脑脊液示潘氏试验:3+,给予持续腰大池引流。

2021年7月19日(腰大池持续引流27天),引流期间有更换引流管,但脑脊液培养结果:烟曲霉菌生长,给予抗真菌治疗后情况好转,体温头痛变正常,于2021年8月12日(第2家医院第2次治疗51天)出院。

但出院后4天即2021年8月16日,出现呕吐,呕吐物伴咖啡色血性物,第3次就诊于第1家的曲阜市某医院,诊断为急性上消化道出血,给予对症治疗4天后,但情况无好转。

2021年8月21日(第1家医院第3次治疗5天后),出现尿失禁,第3次就诊第2家给予手术的山东省某三甲医院,但治疗后效果仍不见好转。

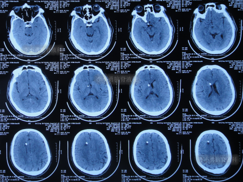
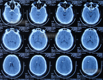
2021年8月28日(第1家医院第3次治疗12天后),出现脑积水(图-2)。

图-2:2021年8月28日头颅CT


因仍尿失禁且意识变得模糊,为了进一步有效治疗,经一位医生介绍当即转至北京北亚骨科医院的李小勇脑脊液科。


二、在李小勇脑脊液科治疗过程和结果


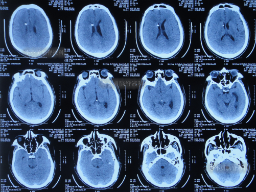
2021年8月28日(颈椎病术后3个月零21天并发颅内感染、脑积水),入院时:体温高,意识模糊,精神差,小便失禁,不能遵命活动,颈后有手术疤痕(图-3);入院时头颅CT示脑积水(图-4)。

图-3:2021年8月28日入院时

图-4:入院时头颅CT


2021年8月30日(入院第2天),术前查颈椎影像示未见明显异常(图-5);进行了脑室外引流术(图-6)。


图-5:2021年8月30日颈椎影像

图-6:2021年8月30日术后头颅CT


2021年8月31日(入院第3天),意识模糊好转,变得能遵嘱抬起上肢,能简单问答(图-7)。

图-7:2021年8月31日


2021年9月2日(入院第5天),意识变清楚,体温变正常,能遵嘱跟医生握手,小便失禁好转(图-8)。


图-8:2021年9月2日


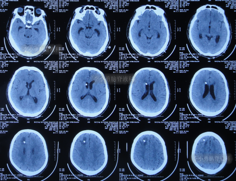
2021年9月4日(入院第7天),头颅CT示脑室明显缩小(图-9)。

图-9:2021年9月4日头颅CT


2021年9月15日(入院第5天),进行了脑室腹壁外引流术(图-10)。

图-10:2021年9月15日头颅CT


2021年10月8日(入院第40天),精神变好,小便失禁完全消失,能下床走路但需搀扶(图-11)。


图-11:2021年10月8日


2021年10月17日(入院治疗第49天),躺下后能自己起来下床,走路变正常(图-12)。

图-12:2021年10月17日


2021年10月27日(入院治疗第59天),精神很好,走路变得完全正常,体重较入院时增加(图-13)。


图-13:2021年10月27日


因脑脊液化验一直不正常,家属要求继续治疗,2月后脑脊液变正常,于2021年1月10日,进行了脑室腹腔分流术(图-14)。


图-14:2022年1月10日头颅CT


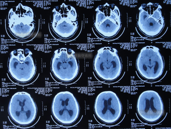
2022年1月25日(脑室腹腔分流术后15天)治好出院,出院时:神清气爽,走路完全正常(图-15);出院时头颅CT无异常(图-16)。


图-15:2022年1月25日

图-16:出院时头颅CT


(完)


〔本典型病例所涉及的图片和视频均经患者本人或家属同意,如有异议,请联系该内容发布方〕

李小勇

主任医师
中国博士/美国博士后
李小勇脑脊液科(中心)创始人
开设“脑脊液神经外科学”学科
提出“脑脊液神经外科学”理念和理论
建立脑脊液病专科病房(原航空总医院脑脊液科)
中国神经外科专家、中国工程院院士王忠诚教授早期博士
美国神经外科显微手术专家Rhoton教授博士后学者
原北京天坛医院神经外科专家
原北京市神经外科研究所神经内分泌实验室主任
原北京市神经外科研究所神经解剖研究室主任
原中华医学会神经外科分会会员和北京神经外科分会委员
中国抗癌协会胶质瘤专委会全国委员

擅长领域:
从事脑脊液神经外科学临床研究30多年,总结提出了脑脊液科综合治疗法,擅长各种脑积水、脑积水手术并发症、术后脑膨出和颅骨修补、颅内感染等各类脑脊液病的治疗。常见脑脊液疾病:
1.脑积水分流失败:分流感染,分流管(反复)堵塞。
2.脑积水内镜“微创”“不放管”术失败:脑室仍大,术后又分流/引流, 颅内感染,婴儿脑积水术后头仍大(注:为“内镜术”的失败!)。
3.脑脊液引流性颅内感染:腰大池/脑室引流管堵塞,腰大池/脑室引流所致颅内感染。
4.原发和继发脑积水,开颅区脑膨出/头皮溃疡/刀口脑脊液漏,术后刀口区积液,脑外积液。
5.婴儿脑积水或“大头娃娃”早期型:(注:不要盲目“首选内镜术!)。
6.经鼻经蝶垂体瘤等显微或内镜术后颅内感染/脑脊液漏。
7.脑脊液鼻漏修补术“反复”失败:创伤后型/手术后型/自发型。
8.脊髓空洞/小脑扁桃体下疝(Chiari畸形)/脑积水:(随机单一症/随机二联症/三联症)。

9.引起以上“医源并发症性”的一般神经外科性疾病:脑外伤、脑出血、脑动脉瘤、脑血管畸形、颅脑和颅底以及脊髓肿瘤、颅内感染、脑脊液漏、小脑扁桃体下疝畸形、脊髓空洞、面肌痉挛、三叉神经痛、舌咽神经痛等。

10.神经内科型脑膜炎(化脑/结脑/真菌/病脑)及其脑积水或顽固高颅压并发症。


出诊地点一:北京北亚骨科医院李小勇脑脊液科
出诊时间:周一、三、四、五全天,周二上午
出诊地点二:北京清华长庚医院

出诊时间:周二下午

交流咨询(中华脑脊液科医生群):13651375487(微信同号)

最新评论
发表你的评论
发表你的评论