提到脉络膜前动脉很多人都会想到“三偏征”,即对侧偏瘫、偏深感觉障碍和对侧同向性偏盲。为什么DSA上这个“不起眼”的血管会导致这么严重的后果?DSA上有什么可识别的危险标志点么?脉络膜前动脉的解剖可以告诉我们原因,将DSA图像与解剖结合起来可以更好识别及理解关键标志点(脉络点和最外侧点)。
1.脉络膜前动脉解剖
脉络膜前动脉自颈内动脉床突上段后壁发出,发出位置位于后交通动脉发出点与颈内动脉分叉部之间,以脉络点(Plexal point)为界分为脑池段和脉络丛段。脉络点为脉络膜前动脉进入脉络裂的部位,在Rhoton解剖中又称为下脉络点(inferior choroidal point)。如何理解和识别脉络点呢?且看以下分解。

图1 脉络膜前动脉侧位示意图 脉络膜前动脉以脉络点(Plexal point)为界分为脑池段和脉络丛段,其中脑池段在侧位上为S形。

图2 上面观(示意图)脉络膜前动脉以脉络点为界分为脑池段和脉络丛段。脑池段以最内侧点又可分为视束前段和视束后段。视束前段自颈内动脉后壁发出后沿沟回前段于颈内动脉池向后内走形至视束下方,到达最内侧点(膝部,与沟回尖段对应)后延续为视束后段。视束后段沿沟回后段于脚池内向后外走形至脉络点并进入侧脑室颞角。

图3 下面观 右侧脉络膜前动脉于脉络点进入脉络裂后继续向外侧走形,达到最外侧点后向后上呈“C”形沿脉络丛走形。

图4 内侧面观 脉络膜前动脉自颈内动脉后壁发出,沿沟回前段上行至沟尖上方,然后向后并略向下行至脉络点,脑池段在侧位上表现为S形。脑池段后部位于大脑脚池顶端,大脑脚池上壁为大脑半球核心区(主要为苍白球内侧部和内囊后肢)。大脑后动脉走形在脉络膜前动脉下方。

图5 内侧面观 脑池段呈S形,其后部在沟回后段向后并略向下进入脉络点,然后向外并略向上进入颞角,形成一典型的转折,这是DSA上识别脉络点的典型标志。脉络丛段在颞角内沿脉络丛向后内上走形。

图6 外侧观。离断颞干并牵开颞叶后从外侧显露脉络膜前动脉,可见脉络膜前动脉环池段向前穿质、视束、大脑脚、外侧膝状体和颞叶内侧发出供血分支。

图7 前上观。脉络膜前动脉脑池段后部走形在大脑脚池顶端,大脑脚池上壁可见丘脑、内囊后支和苍白球。脉络膜前动脉发出穿支供应丘脑外侧部、内囊后支和苍白球内侧部。

图8 前联合层面断层解剖图,图中点片状红染为脉络膜前动脉供血区域。1 尾状核头;2 壳核;3 苍白球外侧部;4苍白球内侧部;5 前联合; 6外侧膝状体;7 内囊后支;8 丘脑。

图9 右侧脉络膜前动脉下面观 脑池段主要发出供应颞叶内侧结构的分支和供应脑深部结构的穿支。图中星号为最内侧点,脑池段以此分为视束前段和视束后段。视束前段发出分支供应沟回前段和沟回尖端,发出穿支供应视束(上方黑箭)和经前穿质供应脑深部结构(黑色实箭头)。视束后段发出分支供应沟回后段,发出穿支供应视束(下方黑箭)、大脑脚、
外侧膝状体和内囊(黑色空箭头)。
根据以上解剖知识可以很容易理解脉络膜前动脉闭塞引起的“三偏征”:偏瘫(内囊后支缺血)、偏身感觉障碍(丘脑外侧部缺血)和对侧同向性偏盲(视束、外侧膝状体缺血)。另外,苍白球内侧部的梗死可引起肌张力下降。供应这些重要结构的分支和穿支主要是发自脉络膜前动脉脑池段,脉络丛段走形在脉络裂内的节段有时也可发出穿支供应这些重要结构。因此,经脉络膜前动脉的血管内操作应在脉络点(最好是最外侧点)以远,以免重要穿支发生闭塞。
既然脉络前动脉这么重要,那么临床上为什么会经常见到脉络膜前动脉闭塞后不出现症状呢?这与脉络膜前动脉丰富的吻合密切相关。脉络膜前动脉可以与豆纹动脉、后交通动脉、大脑后动脉之间形成丰富的吻合。脉络膜前动脉闭塞时,如果这些吻合血管能够很好的代偿脉络膜前动脉供血区域,那么是可以完全没有症状的。

图10 右侧大脑半球下面观,通过对脉络膜前动脉的染色显示其与周围血管的侧支吻合。侧支吻合1显示与豆纹动脉的吻合,侧支吻合2显示与后交通动脉的吻合,侧枝吻合3显示与大脑后动脉沟回支的吻合。
在胚胎发育早期,脉络膜前动脉是大脑主要的供血来源之一。随着发育,椎基底动脉系统形成大脑后动脉并逐步替代脉络膜前动脉的部分供血区域,与此同时,脉络膜前动脉供血区域减少。因此,如果发育期发生变异,脉络膜前动脉可向大脑后动脉供血区域供血,此时增粗的脉络膜前动脉有可能被误认为后交通动脉-大脑后动脉或胚胎型大脑后动脉。

图11 脉络膜前动脉(AChA)变异类型示意图。
D、4型:异常颞顶枕动脉。大脑后动脉P2段近端由脉络膜前动脉发出。
2.DSA影像解读
2.1正常脉络膜前动脉DSA影像

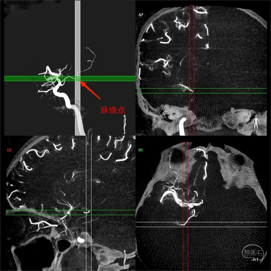
图12 右侧颈内动脉正位(A)及侧位(B)造影,由于大脑中动脉M1段狭窄,其对脉络膜前动脉的阻挡减少,从而使此例管径相对较粗的脉络膜前动脉显示更清晰。最外侧点易于在正位识别,脉络点易于在侧位识别。

图13 同一例患者右侧颈内动脉3D成像(图中为侧位),经过Xper CT冠状位、矢状位及轴位MIP图像证实脉络点的位置。
2.2脉络膜前动脉变异合并动脉瘤

图14 脉络膜前动脉(AChA)变异类型2-异常颞下动脉合并动脉瘤。A左侧颈内动脉侧位造影,可见脉络膜前动脉(黑箭)增粗并发出颞下中支(空箭)和颞下后支(虚黑箭),同时可见主干发出多个穿支(白箭),颈内动脉末端发出穿支(虚箭)进入前穿质而非脉络膜前动脉。B左侧颈内动脉正位造影见左侧大脑后动脉未显影;C 左侧椎动脉正位造影,与右侧大脑后动脉对比可见左侧大脑后动脉颞下支未显影。该例左侧脉络膜前动脉动脉瘤很容易被认为是后交通动脉动脉瘤,如果结合左侧大脑后动脉P1段存在想当然的认为栓塞动脉瘤可闭塞该血管,那么可能造成严重的并发症。
2.3 脉络膜前动脉供血的丘脑动静脉畸形

图15 左侧丘脑动静脉畸形伴出血患者。术前核磁T2像(A)显示左侧脉络膜前动脉增粗,左侧颈内动脉斜位造影(B)显示动静脉畸形由左侧脉络膜前动脉及脉络膜后外侧动脉供血,脉络点如图中所示。C显示术中微导管在微导丝支撑下越过脉络点并接近畸形团。D为术中XperCT证实微导管头端位于出血动静脉畸形团后外侧。
2.4 脉络膜前动脉是烟雾病中“烟雾状”血管的重要来源

图16 烟雾病患者右侧颈内动脉正位造影早(A)、中(B)、晚(C)期,显示颈内动脉末端纤细,大脑前动脉及大脑中动脉闭塞,脉络膜前动脉经表面丰富的穿支血管网向豆纹动脉代偿供血,然后豆纹动脉经侧支吻合向大脑中动脉代偿供血。

图17 烟雾病患者右侧颈内动脉侧位造影早(D)、中(E)、晚(F)期,显示颈内动脉末端纤细,大脑前动脉及大脑中动脉闭塞,脉络膜前动脉经表面丰富的穿支血管网向豆纹动脉代偿供血,然后豆纹动脉经侧支吻合向大脑中动脉代偿供血。
参考文献:
2.病例资料2.1、2.3、2.4来自于首都医科大学三博脑科医院。