咽升动脉虽然管径细小,但是可以与颅内外动脉形成广泛的吻合。其一般起源于颈外动脉后内壁,向上走形在咽旁间隙,根据供血范围主要分为四个分支。首先,向前内分出咽支,主要向鼻咽、口咽、下咽部及咽鼓管供血,上咽支在破裂孔处可发出分支而与颅内血管吻合;其次,向后外分出神经脑膜支,神经脑膜支又分为舌下支和颈静脉孔支,分别经舌下神经管和颈静脉孔入颅,主要向IX、X、XI及XII颅神经及后颅窝硬脑膜供血;另外,咽升动脉还可发出鼓室下支和肌脊髓支,分别供应中耳鼓室和椎前肌肉组织。
咽升动脉变异常见,主干或分支可共同或分别起源于颈外动脉、枕动脉或颈内动脉。咽升动脉侧枝循环丰富,无论颅内血管还是颅外血管,无论前循环还是后循环,无论颈外动脉还是颈内动脉,都可以与咽升动脉形成吻合。另外,咽升动脉是硬脑膜动静脉瘘、颈静脉球瘤等疾病的重要供血动脉,准确的理解其解剖和DSA影像至关重要。
1 咽升动脉解剖
图1 咽升动脉一般情况下是颈外动脉发出的第一或第二个分支,侧位示其在颈外动脉和颈内动脉之间向上走形于咽部后外侧。
图2 前后位示咽升动脉在颈内动脉和咽部之间向上走形,向前内分出咽支并向鼻咽、口咽及下咽部供血。
关于咽升动脉的介绍有相当一部分来自于2002年发表于American Journal of Neuroradiology杂志的“The Ascending Pharyngeal Artery: Branches, Anastomoses, and Clinical Significance”,里面有一句话这样描述咽升动脉“the neuromeningeal trunk, which is intracranial and enters the posterior fossa through the foramen magnum”,该作者认为神经脑膜支是经过枕骨大孔进入后颅窝的,并且图中配图显示神经脑膜支经枕骨大孔进入后颅窝然后发出舌下支和颈静脉孔支等。通过对咽升动脉解剖以及影像资料的复习发现以上观点是不符合实际情况的。解剖和影像资料显示神经脑膜支的分支舌下支和静脉孔支分别经舌下神经管和颈静脉孔进入后颅窝。
图3 “The Ascending Pharyngeal Artery: Branches, Anastomoses, and Clinical Significance”文献中描述的咽升动脉神经脑膜支经枕骨大孔进入后颅窝并进一步分为舌下支、颈静脉孔支、内听道支和斜坡支,这与解剖和影像所见不符。
图4 Rhoton解剖中可见咽升动脉在枕骨大孔水平位于寰枕关节前外侧,神经脑膜支的分支分别经舌下神经管和颈静脉孔(而非经枕骨大孔)进入后颅窝。
图5 核磁TOF轴位图像,图中红色箭头显示双侧神经脑膜支位于颈内动脉后内侧,蓝色箭头显示双侧舌下支分别经舌下神经管进入后颅窝。
图6 咽升动脉起源变异常见,主干或分支可共同或分别起源于颈外动脉、枕动脉或颈内动脉。
图7 咽升动脉咽支可与颈内动脉(下外侧干、脑膜垂体干、翼管动脉)、脑膜中动脉(岩支)、脑膜副动脉、颌内动脉(圆孔动脉、翼管动脉)形成吻合。
图8 咽升动脉神经脑膜支可与颈内动脉(脑膜垂体干、下外侧干)、脑膜中动脉(岩支)以及枕动脉(骨穿支)形成吻合。咽升动脉鼓室下支(H)可与颈内动脉(颈鼓室支 N)形成吻合。
图9 右侧咽升动脉舌下支超选造影显示“齿状突拱廊”(双侧椎动脉和咽升动脉分支吻合形成)显影,由此可见咽升动脉和椎动脉之间形成的吻合。
图10 舌下神经管在颈静脉孔的内下方,舌下支经舌下神经管进入颅内,颈静脉孔支经颈静脉孔进入颅内,这有助于理解DSA图像上舌下支及颈静脉孔支的关系,即舌下支在颈静脉孔支的内下方。
2.DSA影像解读
在DSA上准确识别咽升动脉以及明确其分支情况需遵循三个原则:首先,变异是常态(variation is the rule),吻合无处不在(Connections are everywhere),咽升动脉起源有多种变异,和前后循环有丰富的吻合,按照常规解剖(咽升动脉起于颈外动脉等)有时很难识别和理解;其次,DSA血管的识别依赖于神经血管解剖,血管的命名和定义是依据血管的解剖位置和供血范围确定,因此,在咽升动脉的DSA解读中需紧密结合血管的解剖位置,比如咽升动脉的舌下支走形在舌下神经管中;最后,结合病变可加深对血管的理解,正常情况下咽升动脉细小,主干尚可识别,而细小分支识别较困难,然而在发生颈静脉孔区肿瘤、侧窦区硬脑膜动静脉瘘等病变时,咽升动脉因参与供血而变得粗大,从而更容易在DSA图像上识别,这非常有助于理解其解剖位置、供血范围以及与其它血管的吻合。
图11 咽升动脉超选造影经典DSA图像。血管某支可以是一支也可以是数支或一丛,是根据解剖位置和供血区域而定。例如下咽支不是指仅仅一支血管,而是位于此区域内的一支或一丛血管均为下咽支。
2.1 DSA解读影像1
右侧颈内动脉闭塞患者,右侧咽升动脉自颈外动脉发出,左侧咽升动脉咽支自颈内动脉发出,神经脑膜支自枕动脉发出。
图12 右侧颈总动脉正位(A)及侧位(B)造影。由于颈内动脉闭塞,咽升动脉没有被颈内动脉遮挡而显示清晰,可见咽升动脉自颈外动脉发出,咽支走形在神经脑膜支的内前方。
图13 左侧颈总动脉正位(C)及侧位(D)造影。由于颈内动脉遮挡,咽升动脉在侧位显示不清。正位可见咽升动脉咽支自颈内动脉发出,神经脑膜支在枕动脉发出(详见下图3D及Xper CT)。
图14 左侧颈总动脉3D(E)及Xper CT重建(F)图像。可见咽升动脉咽支自颈内动脉发出,供血至咽部。
图15 左侧颈总动脉3D(G)及Xper CT(H)图像。可见咽升动脉神经脑膜支自枕动脉发出,向上走形进入舌下神经管。
2.2 DSA解读影像2
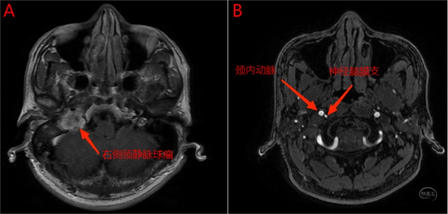
右侧颈静脉球瘤患者进行术前造影及栓塞,咽升动脉神经脑膜支(颈静脉孔支)为主要供血动脉。
图16 A图为轴位增强MRI,显示右侧颈静脉孔内病变强化明显;B图为TOF轴位图像,右侧咽升动脉神经脑膜支位于右侧颈内动脉后内侧,管径明显增粗(左侧显示不清)。
图17 C为右侧颈总动脉侧位造影动脉早期,显示咽升动脉增粗,颈静脉球瘤血供丰富;D图为右侧颈总动脉侧位造影静脉期,颈静脉球瘤血流引流入颈内静脉和经髁后静脉引流入枕下静脉。
图18 E为3D成像,显示咽升动脉及神经脑膜支管径增粗,同时可见咽支及肌脊髓支。F为Xper-CT矢状位重建,显示咽升动脉、咽支、神经脑膜支、颈静脉球瘤和髁后静脉。
2.3 DSA解读影像3
右侧颈内动脉闭塞患者,咽升动脉(鼓室下支)与颈内动脉(颈鼓室支)形成侧枝吻合并向颈内动脉岩段水平部及以远代偿供血。
图19 A为右侧颈总动脉右前斜位造影,显示右侧颈内动脉近端闭塞残端,咽升动脉鼓室下支经侧枝吻合向右侧颈内动脉远端供血。右侧颈总动脉正位造影动脉早期(B)和中期(C)显示咽升动脉鼓室下支经侧枝吻合向右侧颈内动脉远端供血,右侧大脑前动脉显影,右侧大脑中动脉未显影(闭塞)。
视频中TOF轴位像可见咽升动脉及颈内动脉在岩骨颈动脉管处吻合。
2.4 DSA解读影像4
左侧后颅窝软膜肉瘤患者进行术前造影及栓塞,咽升动脉神经脑膜支(颈静脉孔支)为主要供血动脉。
图20 颅脑CT轴位平扫(A)及强化(B)显示左侧后颅窝病变呈稍高密度影伴多发散在钙化,强化明显,术后病理结果显示为软骨肉瘤。
图 21 左侧颈外动脉造影正位(A)、侧位动脉早期(B)及侧位静脉期(C)显示左侧后颅窝病变血供丰富,由左侧咽升动脉神经脑膜支的舌下支和颈静脉孔支供血,引流入颈内静脉和经髁后静脉引流入椎旁静脉丛。同时可见上、中、下咽支显影。
图22 左侧咽升动脉神经脑膜支微导管超选侧位造影(D)显示供血动脉舌下支和颈静脉孔支,颗粒栓塞后经左侧咽升动脉神经脑膜支微导管超选侧位造影(E)显示病变血供明显减少,造影剂返流进入咽升动脉主干和咽支。
2.5 DSA解读影像5
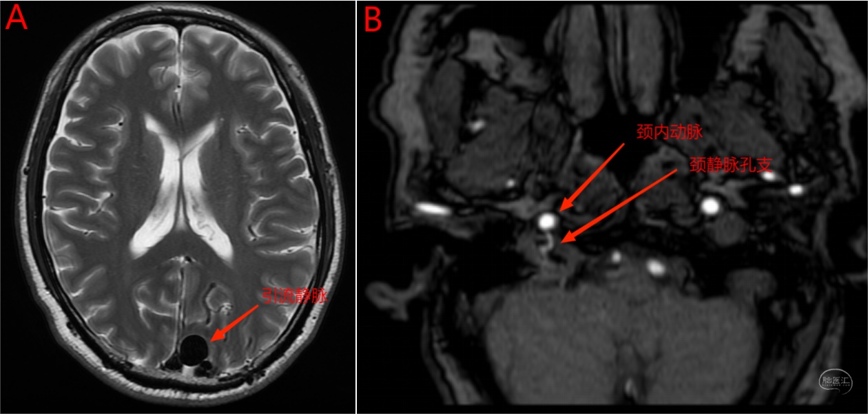
左侧枕部硬脑膜动静脉瘘(Cognard IV级),咽升动脉神经脑膜支(颈静脉孔支)及脑膜中动脉为主要供血动脉,经枕叶皮层静脉引流伴局部瘤样扩张。
图23 颅脑MRI轴位T2像(A)显示左枕叶多发血管流空影伴瘤样扩张,TOF MRA显示颈静脉孔支位于颈内动脉后方并进入颈静脉孔。
图24 右侧颈外动脉正位造影动脉早期(A)、中期(B)和晚期(C)显示左侧枕叶硬脑膜动静脉瘘,主要由右侧咽升动脉颈静脉孔支和右侧脑膜中动脉供血,经皮层静脉引流伴引流静脉瘤样扩张。
图25 右侧颈外动脉侧位造影动脉早期(A)、中期(B)和晚期(C)显示左侧枕叶硬脑膜动静脉瘘,主要由右侧咽升动脉颈静脉孔支和右侧脑膜中动脉供血,经皮层静脉引流伴引流静脉瘤样扩张。
注:
1.文中部分图片来自于www.neurosurgicalatlas.com http://neuroangio.org和www.kenhub.com。
2.病例资料来自于首都医科大学三博脑科医院神经介入科。




