2022年03月18日发布 | 5416阅读
脑血管-自定义

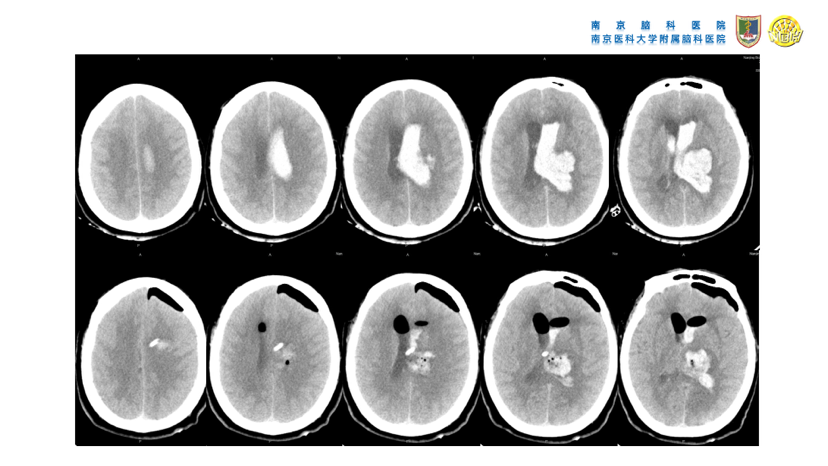
高血压性脑出血的微创手术治疗(高血压性脑出血的血压管理、镇静镇痛处理、手术指征、手术方法等重要问题)

杨坤

东南大学附属中大医院

达人收藏

录像稍后放在短视频栏目

最新评论
发表你的评论
发表你的评论