桥脑/延髓上部病变的活检临床上应用较少。近期湘雅二医院神经外科使用新型激光定位技术进行该部位病变活检一例,效果满意,汇报如下。
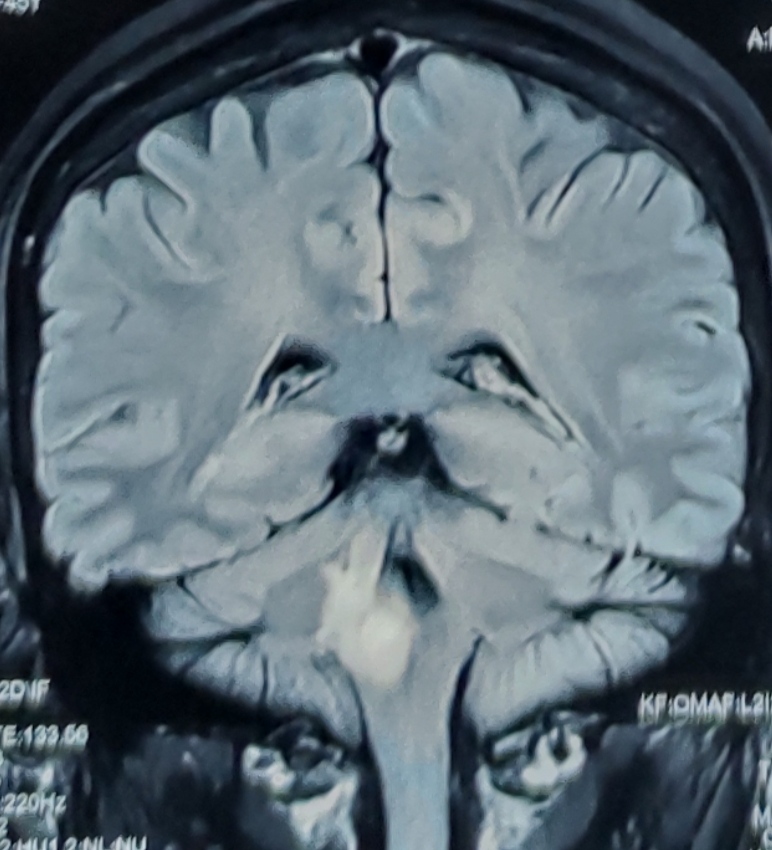
患者女,45岁,因头晕视物模糊伴左侧肢体肌力乏力一月入院。核磁共振报告延髓右侧-桥小脑臂病变,考虑肿瘤可能性大,炎性病变待删。患者及家属强烈要求活检明确病情,科室讨论决定采用立体定向技术活检,因为延髓病变位置过低,Leksell立体定向头架安装及操作有难度,决定采用度若飞新型激光定位技术进行活检。
手术日期:2022年2月16日
术者:张明铭副主任、谭志刚博士、马文佳博士
指导:喻孟强主任
术前磁共振
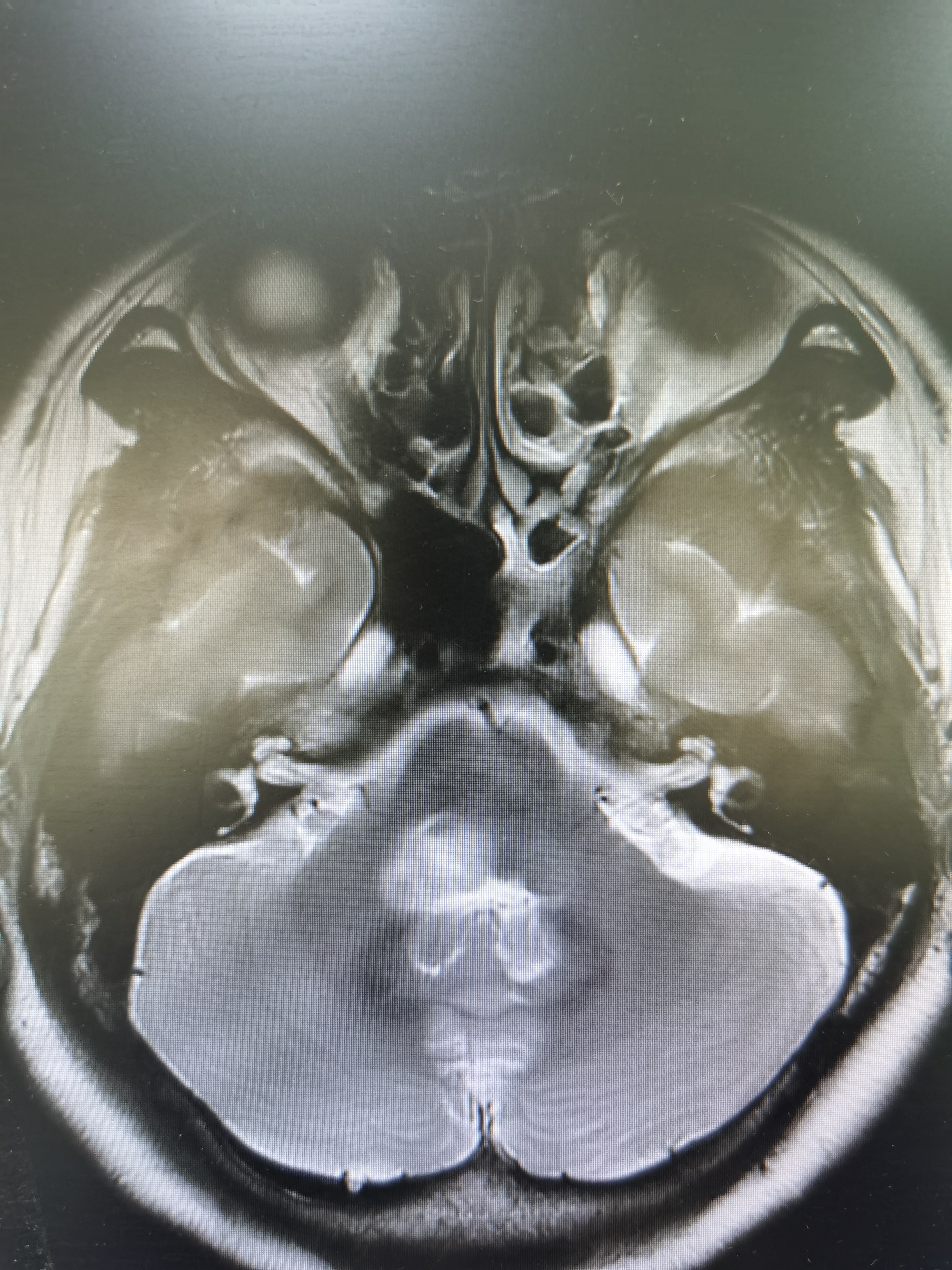
术前定位规划测量
靶点侧位投影点
俯卧位安装激光框架,笔提示枕下穿刺点到靶点方向
电钻在激光指引下锥颅
电凝止血
深度板测深
立体定向活检针沿激光指引方向到达靶点,软管接负压抽吸旋切取标本
因为脑干的重要性取材量受限,活检三次不同深度取材,浅部以神经组织为主,中部及深部为鱼肉状松软病变组织。
术中快速病检回报未见肿瘤组织,发现局灶坏死。予结束手术,复查CT回监护室。
术后CT复查未见出血,箭头所指位置少量气体考虑为穿刺位置。患者术后清醒,无病情加重。观察两天后出院等待病理结果。
石蜡切片见多量淋巴细胞浸润,因组织量有限,不能确诊淋巴瘤,先予以抗炎治疗,3月后复查。




