2022年03月03日发布 | 550阅读
创伤重症-颅脑创伤
创伤重症-颅脑创伤和脑出血并发症
创伤重症-自定义

3家医院5次住院治半年,反而病情加重至昏迷的外伤性脑积水术后反复“肝区巨大囊肿”,在李小勇脑脊科治好

李小勇

北京中西医结合医院

达人收藏

【李小勇脑脊液科治疗过程和结果】


患者男,47岁,山西省吕梁市人。


一、李小勇脑脊液科入院前病史


1、第1家医院治疗情况:
患者于2018年12月31日因颅脑外伤就诊于当地山西吕梁市某县医院;行头颅CT(片子遗失)检查示双额叶脑挫裂伤,少量出血。

因技术有限急转至山西省会太原市的某三甲医院,到院后出现意识昏迷,复查头颅CT(片子遗失)示出血量明显增加。当日给予急诊的双额血肿清除术+左侧去骨瓣减压术。术后患者仍昏迷,呼吸机辅助通气(图-1)。

图-1:患者昏迷,呼吸机辅助呼吸,左眼周肿胀,右眼周淤青


开颅术后约20天,复查头颅CT(片子遗失)示有右侧硬膜下积液。先给予高压氧治疗,但硬膜下积液反而明显增加,因此又给予钻孔引流术。但术后3天复查头颅CT(片子遗失)示右侧硬膜下积液量并无减少,可是仍将引流管拔除。

引流管拔除后半个月即2019年2月13日(开颅术后34天),再次复查头颅CT(片子遗失)示右侧硬膜下积液仍无减少。于是请北京某三甲医院的专家会诊,听其建议给予腰大池外引流术。腰大池引流3天常规复查头颅CT(片子遗失)示右侧硬膜下积液积液量明显减少;且此时患者意识较前有所好转,但仍呈朦胧状态。

腰大池引流2周即2019年2月27日(开颅术后48天),常规给予拔除腰大池引流管。1周后复查头颅CT(片子遗失)示硬膜下积液基本吸收,但出现脑室系统轻度扩张,并且左额部骨窗处出现鼓包,并逐渐变大,但未予治疗。

为解决脑减压窗“鼓包”问题,再次联系北京某三甲医院的专家,此次专家建议转至该专家所在的北京某三甲医院治疗。

2、第2家医院治疗情况:

2019年3月12日即开颅术后71天,从山西太原转至北京某三甲医院;住院时复查头颅CT(图-2)示双侧侧脑室扩张,右侧硬膜下积液并少量出血,减压窗处脑膜脑膨出。

图-2:2019年3月12日头颅CT


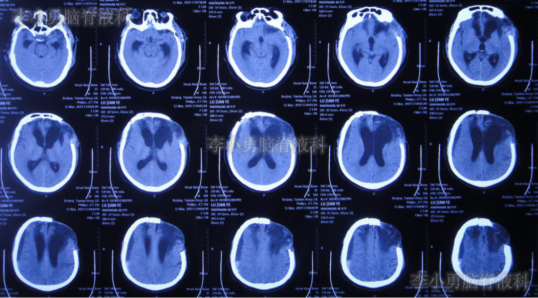
入院1周后即2019年03月19日即开颅术后78天,进行了左侧额部颅骨缺损钛板修补术+脑室腹腔分流术。术后当天复查头颅CT(图-3)示右侧脑室内可见分流管,左侧颅骨修补术后改变,但右侧仍有硬膜下积液合并出血。

图-3:2019年3月19日头颅CT


颅骨修补及脑室-腹腔分流术后第4天,患者意识出现好转,有时可认人并可点头示意。手术1周后“治愈正常”出院。

3、第2次入住第1家医院治疗情况

颅骨修补及脑室腹腔分流术后1周即2019年3月27日即开颅术后86天,从第2家医院直接转回第1次开颅手术的山西省某三甲医院康复科,行康复治疗;但入院当天即出现高热39.2℃,以及恶心、呕吐症状。行胸部CT,抽血化验等检查及头颅CT(图-4)后,认为均无明显异常。

图-4:2019年3月27日头颅CT


给予抗感染,营养神经等治疗,但是高热、恶心、呕吐症状仍持续10余天无好转。第3次咨询北京某三甲医院的专家后,考虑脑积水分流术后颅内感染,建议行腰椎穿刺进行脑脊液检查,结果确实有脑脊液白细胞增高。

4、第2次转回第2家医院治疗情况( 注:第4次住院):

在山西三甲医院治疗13天后,于2019年4月9日即颅骨修补术+脑室-腹腔分流术后21天,再次转回北京某三甲医院。入院当天复查头颅CT(图-5)示脑室引流术后状态。

图-5:2019年4月9日头颅CT


可是住入院后,患者发热及呕吐症状突然消失。入院第2天,行腰椎穿刺,但脑脊液化验不支持颅内感染。入院第4、7、18天均行腰椎穿刺,脑脊液常规化验及培养,结果均为阴性,结果仍不支持颅内感染。且住院期间,亦无发热及恶心、呕吐等症状,建议出院,因此转住入河北省廊坊市某医院,进行康复治疗。

5、入住第3家医院治疗情况(第5次住院):

2019年4月22日即脑室-腹腔分流术后34天,第3家医院住院第2天再次出现发热38.6℃,并行头颅CT(图-6)检查示仍为脑室引流术后状态;但胸部CT(图-7)检查示肺炎。

图-6:2019年4月23日头颅CT

图-7:2019年4月23日胸部CT


虽然已显示出脑积水加重的表现,但医生仍考虑发热为肺部感染引起,因此给予抗菌素治疗2月余。但发热仍难以控制,并且患者意识也逐渐恶化至昏迷的状态,肢体活动亦明显减少。2019年7月2日(颅骨修补术+脑室-腹腔分流术后105天)复查头颅CT(图-8)示脑室进一步扩大。无奈此时再次给予腰椎穿刺,但脑脊液化验仍不支持“颅内感染”。


图-8:2019年7月2日头颅CT


患者状态逐渐继续变差,家属甚是着急,多次咨询第2家医院的某专家,均无良好处理措施。最后经一位好心的人介绍,抱着最后的希望,来到李小勇脑脊液科。


二、李小勇脑脊液科治疗经过和结果


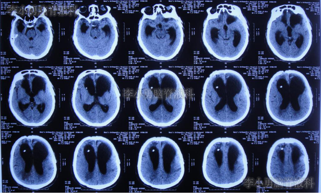
颅骨修补术+脑室腹腔分流术后105天即2019年7月12日(脑外伤术后194天),转至李小勇脑脊液科。入院时:患者呈昏迷状态,体温高,留置胃管、气管切开套管(图-9)。入院当天行头颅CT(图-10)示脑室扩张、腹部CT检查(图-11)可见肝区巨大的囊肿,其内可见引流管,考虑囊肿内为脑脊液。


图-9:2019年7月12日入院时


图-10:2019年7月12日入院时头颅CT

图-11:2019年7月12日上腹部CT巨大的囊肿其内可见引流管


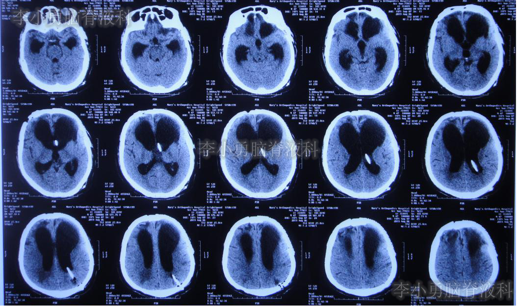
由于患者脑室明显扩大,且肝区巨大水囊(引流管包裹形成),考虑分流管已发生堵塞,故入院当天紧急行脑室外引流术+原分流管拔除术。术后次日复查头颅CT(图-12)示引流管位置良好,无出血。


图-12:2019年7月13日头颅CT


脑室外引流术后3天,患者症状明显好转:由浅昏迷转为清醒,能遵嘱抬起(图-13)。


图-13:患者变清醒


脑室外引流术后第11天即2019年7月23日,复查腹部CT(图-14)显示肝区巨大水囊有明显缩小。


图-14:2019年7月23日腹部CT肝区水囊明显变小


术中留取的脑脊液标本培养5天后回报为表皮葡萄球菌,给予抗感染治疗。经过20天的治疗,患者脑脊液中细菌消失,且发热症状消失。于2019年8月6日常规复查头颅CT(图-15)示脑室略缩小,当日改行脑室长程引流术。


图-15:2019年8月6日头颅CT术前复查


术后常规复查头颅CT(图-16)示引流管位置良好。

图-16:2019年8月6日头颅CT术后复查


经过一个多月治疗,2019年9月9日,患者病情明显好转:可经口进食,并可用手机看视频(图-17),家属也露出了满意的笑容。


图-17:2019年9月9日患者病情明显好转


经过2个月治疗,即2019年9月30日即脑室引流术后55天时,行脑室-腹腔分流术。

分流术后10天,即2019年10月9日,饮食变正常,神志完全清楚(图-18),常规给予复查头颅CT(图-19)示脑室进一步缩小。

图-18:2019年10月8日

图-19:2019年10月9日头颅CT脑室进一步缩小


分流术后16天即2019年10月15日患者出院:神志清楚,能正常进食,可在搀扶下行走。


三、第1次出院后随访


出院后54天即2019年12月9日,复查头颅CT示脑室进一步缩小。患者智力、走路变得基本正常,但存在情感(喜怒哀乐不能表达)缺失,言语少(图-20)。


图-20:头颅CT脑室再次进一步缩小

图-21:2019年12月9日


出院后84天即2020年1月8日,患者的女儿特意从山西赶到北京来到李小勇脑脊液科当面表示感谢(图-22),说:“我父亲目前恢复很好,可正常生活和简单交流;是你们给了我父亲第二次生命,若是没有来这,可能早就没有了生命;是你们让我们重建了家庭幸福”。

图-22:家属赠送锦旗


出院后4月余即2020年2月21日,肢体活动恢复正常,回老家看望患者年迈的父母(图-23)。


图-23:回家看望父母


四、第2次在李小勇脑脊液科治疗过程和结果

2020年8月初(第1次出院后10个月),因精神变差,走路更不稳,大小便失禁,查头颅CT(片子丢失)考虑可能是分流管堵塞,因此2020年8月6日第2次住入李小勇脑脊液科。

住院治疗51天即2020年9月26日出院,出院时:精神变好,走路变稳,大小便变完全正常,之前因颅脑外伤遗留的情感缺失也有进一步好转。

五、第2次出院后随访


出院后1年零4个月即2022年1月,患者的女儿通过微信发来视频,女儿叙述说:“其父亲的身体、情感缺失均变得完全正常(图-24);在她结婚那天父亲忙着迎宾,招呼亲朋,忙着敬酒,在台上发言时因舍不得女儿,父亲哭成泪人(图-25)。


图-24:微信截图


(完)


〔本典型病例所涉及的图片和视频均经患者本人或家属同意,如有异议,请联系该内容发布方〕

李小勇

主任医师
中国博士/美国博士后
李小勇脑脊液科(中心)创始人
开设“脑脊液神经外科学”学科
提出“脑脊液神经外科学”理念和理论
建立脑脊液病专科病房(原航空总医院脑脊液科)
中国神经外科专家、中国工程院院士王忠诚教授早期博士
美国神经外科显微手术专家Rhoton教授博士后学者
原北京天坛医院神经外科专家
原北京市神经外科研究所神经内分泌实验室主任
原北京市神经外科研究所神经解剖研究室主任
原中华医学会神经外科分会会员和北京神经外科分会委员
中国抗癌协会胶质瘤专委会全国委员

擅长领域:
从事脑脊液神经外科学临床研究30多年,总结提出了脑脊液科综合治疗法,擅长各种脑积水、脑积水手术并发症、术后脑膨出和颅骨修补、颅内感染等各类脑脊液病的治疗。常见脑脊液疾病:
1.脑积水分流失败:分流感染,分流管(反复)堵塞。
2.脑积水内镜“微创”“不放管”术失败:脑室仍大,术后又分流/引流, 颅内感染,婴儿脑积水术后头仍大(注:为“内镜术”的失败!)。
3.脑脊液引流性颅内感染:腰大池/脑室引流管堵塞,腰大池/脑室引流所致颅内感染。
4.原发和继发脑积水,开颅区脑膨出/头皮溃疡/刀口脑脊液漏,术后刀口区积液,脑外积液。
5.婴儿脑积水或“大头娃娃”早期型:(注:不要盲目“首选内镜术!)。
6.经鼻经蝶垂体瘤等显微或内镜术后颅内感染/脑脊液漏。
7.脑脊液鼻漏修补术“反复”失败:创伤后型/手术后型/自发型。
8.脊髓空洞/小脑扁桃体下疝(Chiari畸形)/脑积水:(随机单一症/随机二联症/三联症)。
9.引起以上“医源并发症性”的一般神经外科性疾病:脑外伤、脑出血、脑动脉瘤、脑血管畸形、颅脑和颅底以及脊髓肿瘤、颅内感染、脑脊液漏、小脑扁桃体下疝畸形、脊髓空洞、面肌痉挛、三叉神经痛、舌咽神经痛等。
10.神经内科型脑膜炎(化脑/结脑/真菌/病脑)及其脑积水或顽固高颅压并发症。

出诊地点一:北京北亚骨科医院李小勇脑脊液科

出诊时间:周一、三、四、五全天,周二上午


出诊地点二:北京清华长庚医院

出诊时间:周二下午

交流咨询(中华脑脊液科医生群):13651375487(微信同号)

最新评论
发表你的评论
发表你的评论