【李小勇脑脊液科治疗过程和结果】
患者男,65岁,河北省邯郸市临漳县人。
一、李小勇脑脊液科入院前病史
2019年10月20日患者骑电动车在马路上行驶时被大货车撞倒,当时意识清楚,只感到有些头晕,未在意就自行回家,但回家后约3-4小时出现头晕加重,并伴有恶心呕吐的症状,家人急送到当地的河北省邯郸市某医院,查头颅CT示脑出血(图-1);既往病史2015年曾因头部外伤致硬膜下血肿,进行了钻孔引流术。
图-1:2019年10月20日头颅CT
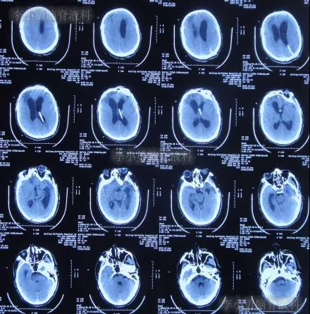
急诊进行了开颅去骨瓣血肿清除术,术后次日查头颅CT示去骨瓣术后(图-2)。
图-2:2019年10月21日头颅CT
图-3:2019年10月22日头颅CT
开颅术后第4天即2019年10月24日,查头颅CT示积血仍未明显减少(图-4)。
图-4:2019年10月24日头颅CT
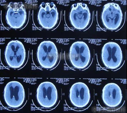
继续治疗1周时间内,曾3次复查头颅CT(图-5、图-6、图-7)均示脑膨出逐渐加重的趋势,仍有积血;期间给予腰大池引流。
图-5:2019年10月26日头颅CT
图-6:2019年10月29日头颅CT
图-7:2019年10月31日头颅CT
图-8:2019年11月3日头颅CT
开颅术后18天即2019年11月7日,脑膨出进一步好转(图-9)。
图-9:2019年11月7日头颅CT
图-10:2019年11月15日头颅CT
图-11:2019年11月19日腰椎核磁
开颅术后33天即2019年11月21日,查头颅CT(图-12)后认为无明显异常随后出院。
图-12:2019年11月21日头颅CT
但第1家医院出院后13天即2019年12月4日,出现尿失禁,到当地的邯郸市临漳县某医院查头颅CT(图-13)后,转给给予开颅手术的医院医生,医生认为与出院时无明显变化,但之后的6天时间内出现走路不稳,大小便失禁加重的症状。
图-13:2019年12月4日头颅CT
为求进一步有效治疗,于第1家医院出院后19天即2019年12月10日,住入第2家的北京某解放军的三甲医院,入院次日查头颅CT(图-14)后认为是脑积水。
图-14:2019年12月11日头颅CT
图-15:2019年12月16日头颅CT
颅骨修补术+脑室腹腔分流术后第6天即2019年12月19日,复查头颅CT示引流管周围少量出血(图-16),给予拔除头部引流,换做腰大池引流。
图-16:2019年12月19日头颅CT
腰大池引流术后5天即2019年12月24日(颅骨修补术后11天即拔除脑室引流管后5天),查头颅CT示脑室仍扩张(图-17)。
图-17:2019年12月24日头颅CT
图-18:2019年12月27日头颅CT
图-19:2019年12月30日头颅CT
腰大池引流后13天即2020年1月1日,复查头颅CT(图-20)示认为积血基本吸收;给予拔除腰大池引流管。
图-20:2020年1月1日头颅CT
图-21:2020年1月14日头颅CT
图-22:2020年1月15日头颅CT
图-23:2020年1月17日头颅CT
图-24:2020年1月22日头颅核磁
图-25:2020年1月29日头颅CT
图-26:2020年2月10日头颅CT
图-27:2020年2月19日头颅CT
在第4家医院治疗26天,仍间断性发热、大小便失禁加重,住院期间曾2次查头颅CT(2020年2月27日(图-28)、2020年3月12日(图-29))示脑室仍扩张。
图-28:2020年2月27日头颅CT
图-29:2020年3月12日头颅CT
二、李小勇脑脊液科治疗过程和结果
2020年3月18日(颅脑外伤开颅术后149天即颅骨修补术后95天即第2次脑室腹腔分流术后62天,先后经4家医院治疗后仍意识模糊,大小便失禁,脑积水,间断发热近2月)转住入李小勇脑脊液科。入院时:意识模糊,大小便失禁,体重较前明显减轻,体温高38度左右;头部可见引流管走向;右侧肢体活动差些;鼻饲流食(图-30);入院时头颅CT示颅骨修补术后、脑室引流术后仍脑积水,有水肿(图-31)。
图-30:2020年3月18日入院时
图-31:2020年3月18日头颅CT
入院次日拔除了原脑室腹腔分流管+脑室外引流术(图-32)。
图-32:2020年3月19日头颅CT
图-33:2020年3月30日头颅CT
图-34:2020年4月6日头颅CT
入院治疗21天即2020年4月8日,引流出黄色脑脊液,管壁内呈淡红色(图-35)。
图-35:2020年4月8日
入院治疗36天即2020年4月23日,意识变好,体温已正常20余天,饮食变得正常但需喂食,自己手部力量弱(图-36)。
图-36:2020年4月23日
入院治疗50天即2020年5月7日,病情进一步好转为:意识变清楚,能遵嘱做动作,变得能坐轮椅活动(图-37)。
图-37:2020年5月7日
入院治疗53天即2020年5月10日,复查头颅CT示脑室缩小(图-38)。
图-38:2020年5月10日头颅CT
入院治疗64天即2020年5月21日,自己吃饭已变基本正常(图-39)。
图-39:2020年5月21日
入院治疗85天即2020年6月11日(脑外伤开颅术后经外院4家医院149天治后病情仍反复,但李小勇脑脊液科治85天康复出院);出院时:意识清楚,饮食变完全正常,体重较入院时明显增加,在俩人的搀扶下能缓慢的行走(图-40)。
图-40:2020年6月11日出院时
三、出院后随访
出院后1年零7个月即2022年1月,家属发来视频:身体已变正常,肢体活动灵活,走路正常(图-41)。
图-41:2022年1月
(完)
〔本典型病例所涉及的图片和视频均经患者本人或家属同意,如有异议,请联系该内容发布方〕
李小勇
出诊地点一:北京北亚骨科医院李小勇脑脊液科
出诊时间:周一、三、四、五全天,周二上午
出诊地点二:北京清华长庚医院
出诊时间:周二下午
交流咨询(中华脑脊液科医生群):13651375487(微信同号)




