2022年01月25日发布 | 323阅读
创伤重症-颅脑创伤
创伤重症-颅脑创伤和脑出血并发症
创伤重症-自定义
其他-自定义

脑外伤治1年半仍无效,脑积水脑膨出先后行脑室腹腔分流术、电子脑室镜术、颅骨修补术后加重颅内感染

李小勇

北京中西医结合医院

【李小勇脑脊液科治疗过程和结果】


患者男,48岁,新疆吐鲁番市鄯善县人。


第1家医院治疗过程

患者于2018年7月11日,因被摩托车撞倒致头部受伤,意识不清,急诊送往当地的第1家的新疆鄯善县某医院,查头颅CT示颅内出血(片子丢失),急诊进行了开颅血肿清除术+去骨瓣减压术+气管切开术+脑室外引流管。

第2家医院治疗过程

术后第7天意识变清楚,但术后第10天即2018年7月21日,因意识变差,转入上级的第2家新疆某三甲医院神经外科ICU,给予更换脑室外引流管持续引流7天后拔除。

2018年8月1日(开颅术后21天,拔除脑室外引流管后4天),出现发热,最高温度达38度,给予行腰大池置管外引流术治疗7天,拔除原腰大池外引流管。

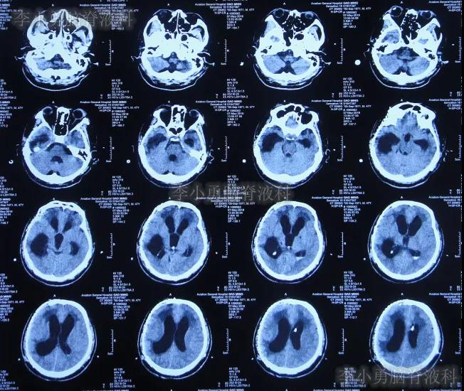
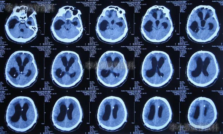
2018年8月17日(开颅术后37天),意识仍不清,查头颅CT示脑室扩张,脑膨出,有钙化(图-1);再次给予腰大池持续引流7天后拔除。

图-1:2018年8月17日头颅CT


2018年8月28日(开颅术后48天),查头颅CT示脑室进一步扩张,脑膨出加重(图-2);但意识还可以,未给予继续治疗。

图-2:2018年8月28日头颅CT


第3家医院治疗过程

2018年8月30日(开颅术后50天),转入第3家的新疆某中医医院继续治疗,2018年9月9日(开颅术后60天),因脑积水、脑膨出更重了,出现意识变差,给予了脑室腹腔分流术。


2018年9月20日(开颅术后71天,即脑室腹腔分流术后11天),进行了高压氧治疗,“意识状态好转,能遵嘱活动”,但2018年9月29日(开颅术后80,即脑室分流术后20天),再出现发热,体温38.8—39度,意识加深,转监护室治疗7天,挑出脑室腹腔端引流管,给予腰大池外引流10天后拔除,医生建议转院。


第4家医院治疗经过

2018年10月8日(开颅术后89天,即脑室腹腔分流术后29天)转住入第4家的北京某三级医院(李小勇主任曾工作的原单位),2018年10月10日(入院2天后),拔除脑室腹腔引流管+电子内镜下脑室清洗术+脑室外引流术,入院治疗14天(2018年10月24日)进行了脑室腹壁外引流术,每日80ml氯化钠注射液冲洗+20ml万古霉素冲管,虽意识有所好转,能简单遵嘱活动,但仍时有发热。

2019年4月2日(第4家医院治疗192天即脑室腹壁外引流术后176天),按计划进行钛网颅骨修补术,术后当天查头颅CT示颅骨修补术后(图-3)。

图-3:2019年4月2日头颅CT


颅骨修补术后7天即2019年4月9日,查头颅CT头颅示颅骨修补术后,仍脑积水(图-4)。

图-4:2019年4月9日头颅CT


颅骨修补术后35天即2019年5月7日(第4家医院治疗227天即脑室腹壁外引流术后211天)),查头颅CT仍脑室扩张(图-5),且引流出的脑脊液有絮状物。

图-5:2019年5月7日头颅CT


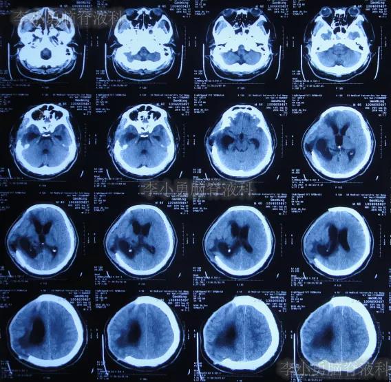
第4家医院治疗257天(8个半月),治疗期间患者曾发作癫痫数次,给予药物控制,引流管也曾更换,虽无发热但意识改善不明显,2019年6月6日查头颅CT示脑室仍大(图-6)。


图-6:2019年6月6日头颅CT


第4家医院治疗312天(10个月),意识仍无明显改善,查头颅CT(图-7)后仍脑室扩张,患者出院转回当地的新疆鄯善县某医院。


图-7:2019年7月31日头颅CT


第1家医院第2次治疗过程

转回当地的第1家医院后继续每日80ml氯化钠注射液冲洗+20ml万古霉素冲管10天左右,引流出的脑脊液絮状物基本消失,能遵嘱活动,但第4家医院出院后17天即2019年8月17日,患者再次出现发热,意识加深,脑脊液变浑浊,有絮状物,化验脑脊液蛋白高达2000mg,白细胞也很高,当地医生继续冲洗,静脉输注万古霉素+美罗培南。

第4家医院出院后21天2019年8月21日,虽体温降至正常,化验脑脊液蛋白下降,细胞数变正常,但仍持续意识不清,继续给予冲洗至2019年12月18日,病情加重致持续发热,最高体温38.8度,意识加深,合并肺炎,且脑脊液蛋白又变得很高。家属看着病情没有任何改善,实在没有办法通过网络和多方打听找到了北京的李小勇脑脊液科,做最后的尝试。

二、李小勇脑脊液科治疗过程和结果


2020年1月18日(脑外伤后1年零6个月(颅骨修补术后260天)时间内:经外院4家医院治后意识仍模糊,持续脑积水,颅内感染)转住入北京北亚骨科医院的李小勇脑脊液科。入院时:意识模糊,舌后坠,气切,体型消瘦,只有右上肢能缓慢遵嘱抬起,下肢刺痛无反应,携带外院腹壁外引流袋(图-8)。

图-8:2020年1月18日入院时


入院次日查头颅CT示颅骨修补术后,脑室引流后仍脑积水(图-9)。

图-9:2020年1月19日头颅CT


当天给予了拔除原脑室腹壁外引流管+脑室外引流术(图-10)。

图-10:2020年1月19日术后头颅CT


入院第2天即2020年1月20日,引流出的脑脊液管壁内淡血色(图-11)。


图-11:2020年1月20日


入院治疗24天即2020年2月11日,进行了脑室腹壁外引流术,术后当天查头颅CT(图-12)。


图-12:2020年2月11日头颅CT


入院治疗34天即2020年2月21日,查头颅CT示脑室进一步有缩小(图-13)。

图-13:2020年2月21日头颅CT


入院治疗69天即2020年3月27日,进行了脑室腹腔分流术(图-14)。

图-14:2020年3月27日脑室腹腔分流术后


入院治疗88天即2020年4月15日出院,出院时:病情好转为,意识变清,肢体能遵嘱活动,变得能坐轮椅活动,比入院时体重明显增加(图-15);出院时头颅CT示未见异常(图-16)。

图-15:2020年4月15日出院时

图-16:头颅CT出院时


三、出院后随访


出院后4个月即2020年8月,家属发来视频,病情进一步好转为:饮食变正常,坐着轮椅能自己活动,在两个家人的搀扶下能缓慢的迈步(图-17)。

图-17:2020年8月


出院后1年零5个月即2021年9月,身体又有很大改善:已能自己爬楼梯,能独自走路但不稳,生活基本可以自理(图-18)。

图-18:2021年9月


(完)


〔本典型病例所涉及的图片和视频均经患者本人或家属同意,如有异议,请联系该微信公众号方〕





李小勇
主任医师
中国博士/美国博士后
李小勇脑脊液科(中心)创始人

开设“脑脊液神经外科学”学科
提出“脑脊液神经外科学”理念和理论
建立脑脊液病专科病房(原航空总医院脑脊液科)
中国神经外科专家、中国工程院院士王忠诚教授早期博士
美国神经外科显微手术专家Rhoton教授博士后学者
原北京天坛医院神经外科专家
原北京市神经外科研究所神经内分泌实验室主任
原北京市神经外科研究所神经解剖研究室主任
原中华医学会神经外科分会会员和北京神经外科分会委员
中国抗癌协会胶质瘤专委会全国委员

擅长领域:

从事脑脊液神经外科学临床研究30多年,总结提出了脑脊液科综合治疗法,擅长各种脑积水、脑积水手术并发症、术后脑膨出和颅骨修补、颅内感染等各类脑脊液病的治疗。常见脑脊液疾病:

1.脑积水分流失败:分流感染,分流管(反复)堵塞。
2.脑积水内镜“微创”“不放管”术失败:脑室仍大,术后又分流/引流, 颅内感染,婴儿脑积水术后头仍大(注:为“内镜术”的失败!)。
3.脑脊液引流性颅内感染:腰大池/脑室引流管堵塞,腰大池/脑室引流所致颅内感染。
4.原发和继发脑积水,开颅区脑膨出/头皮溃疡/刀口脑脊液漏,术后刀口区积液,脑外积液。
5.婴儿脑积水或“大头娃娃”早期型:(注:不要盲目“首选内镜术!)。
6.经鼻经蝶垂体瘤等显微或内镜术后颅内感染/脑脊液漏。
7.脑脊液鼻漏修补术“反复”失败:创伤后型/手术后型/自发型。
8.脊髓空洞/小脑扁桃体下疝(Chiari畸形)/脑积水:(随机单一症/随机二联症/三联症)。

9.引起以上“医源并发症性”的一般神经外科性疾病:脑外伤、脑出血、脑动脉瘤、脑血管畸形、颅脑和颅底以及脊髓肿瘤、颅内感染、脑脊液漏、小脑扁桃体下疝畸形、脊髓空洞、面肌痉挛、三叉神经痛、舌咽神经痛等。

10.神经内科型脑膜炎(化脑/结脑/真菌/病脑)及其脑积水或顽固高颅压并发症。

出诊地点一:北京北亚骨科医院李小勇脑脊液科
出诊时间:周一、三、四、五全天,周二上午

出诊地点二:北京清华长庚医院
出诊时间:周二下午

交流咨询:13651375487(微信同号)

最新评论
发表你的评论
发表你的评论