
先上图 一封来信
female 66y
以突发头痛呕吐2小时入院
入院时昏迷状态
GCS评分:E1M3V1
瞳孔 左2 右5mm
脑疝发生

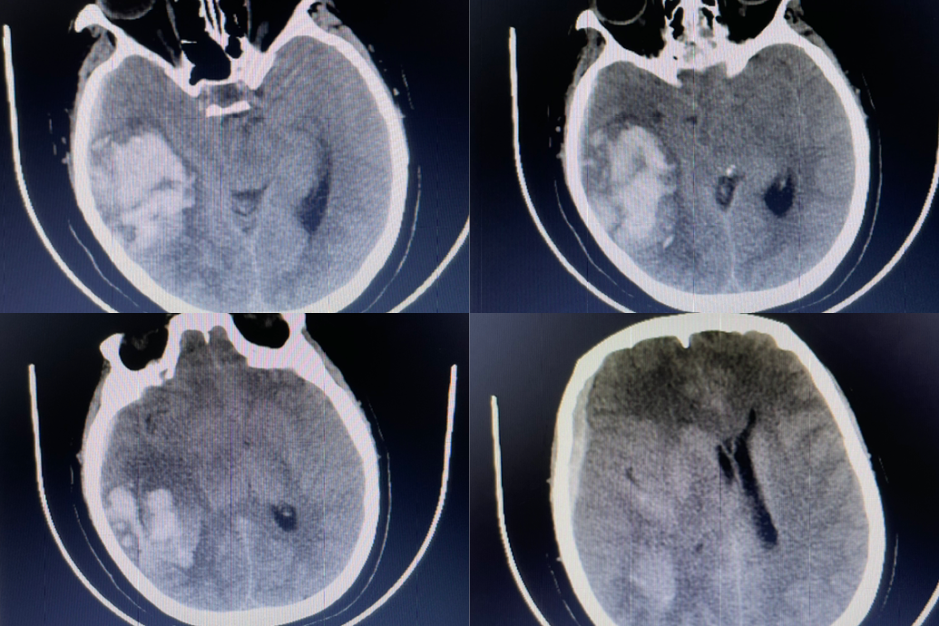
入院ct提示:右侧颞叶大量脑出血
颞叶血肿破溃形成硬脑膜下血肿
进一步增加脑出血颅内占位效应 颅内高压
患者入院时昏迷状态,脑疝


及时的手术清除血肿,减轻对正常脑组织的压迫就是治疗的重心
术后第一天复查

术后一月复查
患者逐渐康复后
步行出院
生活自理

术后半年来院行颅骨缺损修补


钛网颅骨修补
是目前最常用的修补材料

2021病例回顾一:一个患者家属的来信 自发脑出血昏迷脑疝去骨瓣到清醒生活自理颅骨修补