42岁女性,2年前外院曾经切除右额胶质瘤,病理星形细胞瘤,IDH 突变型,WHO II级。因为属于低危组,所以给于观察。符合指南的推荐。
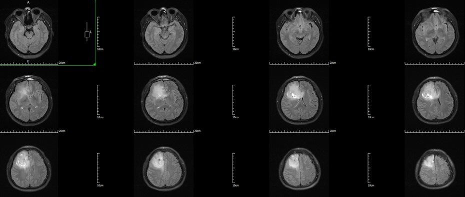
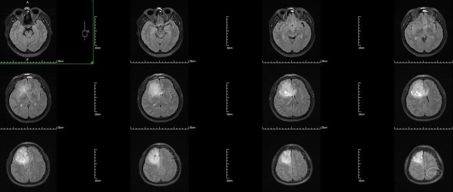
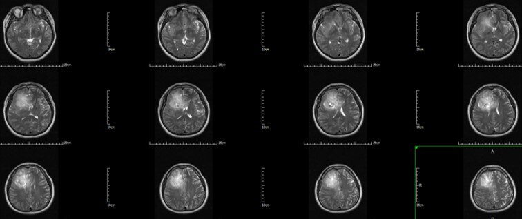
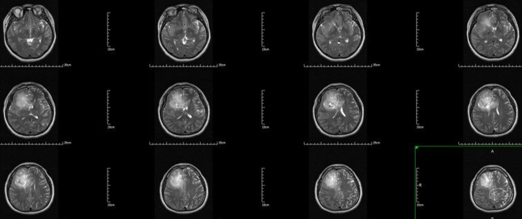
不幸的是,2年后迅速复发,再次手术(此次)。肿瘤出现强化,肿瘤通过胼胝体向左额进展,右侧岛叶也信号异常,膨胀性改变。术前诊断:右额-胼胝体-岛叶胶质瘤
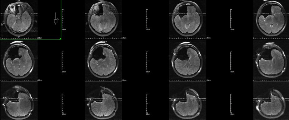
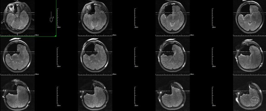
考虑到患者的肿瘤2年时间再次进展,此次可能已经恶性进展为高级别胶质瘤,此次我们以Flair作为边界切除肿瘤,全切除影像学异常部分。按照最新的(2021年)标准,术后病理:星形细胞瘤,IDH 突变型,WHOIV级。建议替莫唑胺同步放化疗。

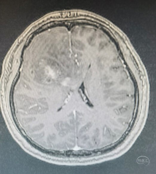
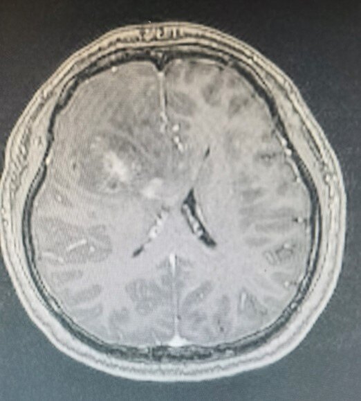
术前增强T1

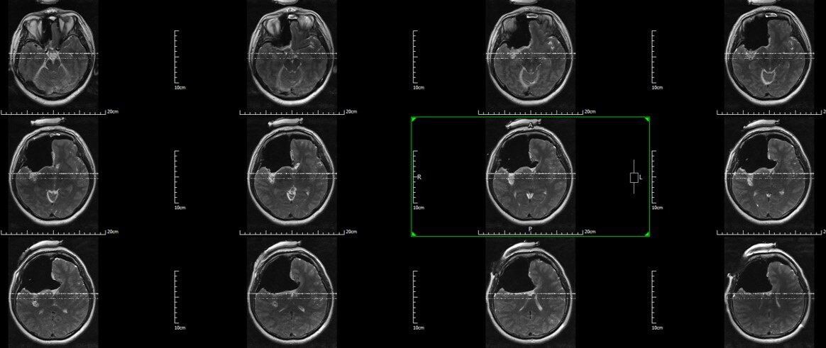
术前T2 Flair:右额-胼胝体-岛叶胶质瘤

术前T2
术中磁共振导航+电生理下右侧额颞岛胼胝体胶质瘤切除术

术中T2 Flair

术中T2

术前 VS 术中
术后认知、运动功能良好
点评:手术切除不能治愈胶质瘤不等于胶质瘤手术不需做到极致。以目前的医疗水平,手术仍然是胶质瘤治疗的最主要的手段。因为不小于3/4的胶质瘤放化疗不敏感。作为神经外科大夫,我们首要的任务就是要把手术做到极致。让手术的作用发挥到最大,理应是神经外科大夫的追求。