2021年11月10日发布 | 144阅读
小儿-脑积水
小儿-自定义
其他-自定义

5岁儿童因电子耳蜗安装术所致交叉性偏瘫和严重颅内感染,经李小勇脑脊液科治疗出院后已9年一直身体正常

李小勇

北京中西医结合医院

达人收藏

【李小勇脑脊液科治疗过程和结果】


儿童男性,5岁,内蒙古人(常住北京)。

一、李小勇脑脊液科入院前病史

患儿先天性聋哑,在3岁时即在2010年8月17日,于第1家北京某著名三甲医院进行了颅底耳蜗周结构的CT检查(图-1)。

图-1:2010年8月17日耳蜗周颅底CT


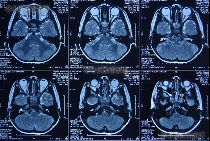
在5岁时2012年,为了进行人工耳蜗植入术,再次住入第1家的北京某著名三甲医院;在住院后的2012年1月4日,进行了术前必须的脑和颅底的核磁检查(图-2)。


图-2:2012年1月4日颅底和脑的核磁检查


脑核磁检查8天后即2012年1月12日,进行了右侧的人工耳蜗植入术;手术顺利,按时出院。

但是在人工耳蜗植入术后约4个月时,即2012年5月14日,上午开始出现了呕吐、厌食、肢体无力和发热高达39度以上的症状,立即在第2家的著名的三甲综合医院就诊,住入感染科。

住院后当天,先给予止吐、退热等口服药物治疗;但是当日下午,出现了因频繁呕吐不能口服药物的症状加重表现,因此改为给予静脉抗炎、止吐及补液等治疗。住院次日,患儿的呕吐和发热症状减弱,但仍厌食,肢体无力和不能行走。

住院第2天即在5月16日,又出现了左眼闭合不能的左侧面瘫表现,再度发热高达39度,意识开始不清恶化,心率增高至170次/分,因此急诊转至第3家的著名的北京某三甲儿童医院。

一到第3家医院,就开展了急诊气管插管和之后呼吸机辅助呼吸的抢救。住院次日,即2012年5月17日,脑CT检查并未发现明显异常(图-3)。

图-3:2012年5月17日耳蜗植入术后状态脑CT


住院3天根据腰椎穿刺脑脊液化验结果,确诊为肺炎链球菌脑膜炎,之后针对此细菌性脑膜炎的给以抗生素调整性治疗。

住院1周后,因呼吸改善而拔除气管插管。因发现患儿有右侧鼻孔流水怀疑脑脊液漏,所以请耳蜗植入术医院专家会诊,诊断为人工耳蜗植入术后脑脊液漏并发症(注:实际上是“术后脑脊液漏性颅内感染并发症”)。

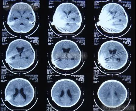
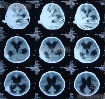
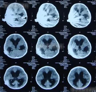
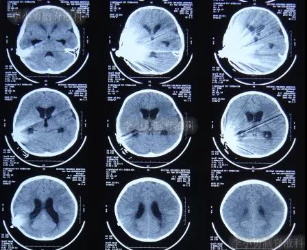
在利奈唑胺、头孢吡肟、利福平等药物抗炎治疗2周后,发热症状逐渐得到控制,意识也开始转清醒,但患儿自己示意有头痛症状;因腰穿未能抽出脑脊液,所以给予甘露醇处理,之后头痛可有缓解。在住院11天时即2012年5月27日(图-4)和住院14天时即2012年6月1日(图-5),分别进行过脑CT的检查,显示脑室有逐渐扩大的表现,但因为病情有所缓解,所以给以继续密切观察的处理。

图-4:2012年5月27日脑CT脑室稍扩大

图-5:2012年6月1日脑CT脑室稍扩大


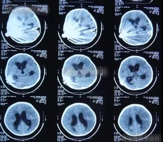
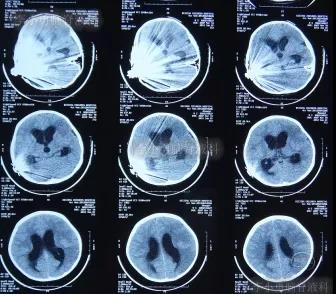
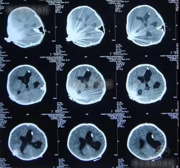
但是在住院第19天即在2012年6月6日时(注:即在人工耳蜗植入术颅内感染并发症21天时),患儿出现了左眼闭合和右侧肢体瘫痪即交叉性偏瘫,以及进食无力和不能交流的病情加重的表现,立即脑CT检查发现了脑积水的表现(图-6)。

图-6:2012年6月6日脑CT脑室扩大显著


此时,患儿的父亲感到了问题严重性,认为儿子病情已经超出了感染科的范围,所以当晚在网上查找治疗脑积水和颅内感染的相关内容,查找到了李小勇脑脊液科,经咨询后次日下午转住入李小勇脑脊液科。

二、李小勇脑脊液科治疗过程和结果

2012年6月7日(人工耳蜗植入术后经3家医院治疗近4个月时间内:脑积水颅内感染仍持续加重)住入李小勇脑脊液科,入院时:神志清醒;理解语言能力下降(聋哑);左侧眼睛不能自动睁开与闭合;左侧鼻唇沟消失(即左侧面瘫症状);但是右侧肢体偏瘫无自主活动,疼痛刺激时:右下肢有3级肌力反应;右上肢有1级肌力反应(图-7)。


图-7:2012年6月7日入院时


入院当天脑CT检查发现,脑积水又有加重表现(图-8)。

图-8:2012年6月7日脑CT脑积水加重


入院第3天即2012年6月7日,进行了脑室外引流术。

入院治疗13天即2012年6月20日,病情好转为:入院时右侧肢体偏瘫无自主活动好转为右侧肢体能遵嘱活动,能自己拿东西(图-9)。


图-9:2012年6月20日


入院治疗18天即2012年6月25日,查脑CT示脑室有缩小(图-10)。

图-10:2012年6月25日脑CT


入院治疗55天即2012年8月1日,进行了脑室腹腔分流术,术后当天查脑CT示未见异常(图-11)。


图-11:2012年8月1日脑CT


入院治疗67天即2012年8月13日,自己能坐在床上画画(图-12)。

图-12:2012年8月13日


2012年8月15日(外院人工耳蜗植入术后近4个月时间内:经3家三甲医院治疗后但脑积水和颅内感染仍持续加重,但李小勇脑脊液科治69天康复出院);出院时:病情好转为:开始恢复走路能力,面瘫消失(图-13);脑CT示未见异常,人工耳蜗被保留(图-14)。

图-13:2012年8月15日

图-14:2012年8月15日脑CT


三、出院后随访

出院后4个月即2012年12月4日,来院复查。复查时:四肢肢体全面恢复至正常人水平(图-15);人工耳蜗再“调节”后,可听到声音并开始学说话。


图-15:2012年12月4日走路完全正常


出院后5年即2017年10月18日,复查时:10岁,身体完全正常,借人工耳蜗可以正常言语交流;与正常孩子同班上学(图-16)。

图-16:2017年10月18日


出院后9年即2021年9月2日,来院复查:14岁,学习、日常生活和言语交流一切正常(图-17)。

-17:2021年9月2日


四、脑脊液科讨论


1、人工耳蜗植入术引起的脑脊液漏性脑膜炎性脑积水并发症,目前在脑脊液科是罕见,但是如果在耳科估计会更多,因为耳科及感染科或ICU科或一般神经外科医生还不知道脑脊液科才是治疗这种并发症的更对口的专业。


2、人工耳蜗植入术包括在内的开颅术后脑脊液漏性“颅内感染”,是一个十分严重而危险的手术并发症。本患儿的颅内感染已经达到的十分危险而严重的程度,因为已经出现了左侧面瘫和右侧肢体瘫痪的症状,假如没有获得及时而正确的治疗,之后发生永久残废或致命的可能性极大。

3、人工耳蜗植入术包括在内的开颅术后脑脊液漏性颅内感染再引起的“脑积水”,因为是继发性脑积水,所以其分流术后具有极高的分流失败并发症发生率,常常发生分流感染和分流管的(反复性)堵管,之后反复“调整”的腰大池和脑室的穿刺引流常常造成更为严重的颅内感染,尤其造成脑室粘连十分可怕;还常常看到内镜微创术的直接失败或再引起或反而加重的颅内感染,即使其菌斑冲洗术也会造成更加严重的脑室粘连并发症,使这些病例最后转至脑脊液科也变成了脑脊液科也十分难治或不治的状况。如果在一旦发生脑积水的时候就就诊于脑脊液科,就可以获得最大几率(95%)地避免分流并发症和内镜手术失败的一次性治愈性治疗。

本患儿家属就是这个及时将患儿转至脑脊液科的实例,能够最终获得完全的满意效果,首先应该归功于患儿父亲属于不盲目信任“大医院里大专家”的知识型就医行为。

4、应该注意到:感染科对颅内感染的治疗能力限度:一般国内医生都会“理所当然”地认为:脑膜炎等颅内感染,应该是属于神经内科的疾病。但是脑脊液科人调查发现,美国神经内科医生都将这类脑膜炎等颅内感染患者“推给了”感染科;近来也发现国内大医院也是如此,甚至也将神经外科术后的各种颅内感染如脑脊液分流或内镜术后的颅内感染并发症也都推给了感染科,但是感染科的实际治疗结果却十分恶劣。脑脊液科的实际治疗优质结果,证明了自己是治疗各种颅内感染的优质科室,尤其在脑膜炎出现脑积水并发症时或神经外科手术引起的颅内感染方面,本例就是支持脑脊液科优于感染科治疗颅内感染观点的一个实例。

5、脑脊液科对人工耳蜗植入术后脑脊液漏引起颅内感染再又引起脑积水并发症的优质治疗,达到了既治好脑脊液漏性脑膜炎和脑积水的目的,又达到了保留人工耳蜗的目的,没有采用“常规的”取出致感染性异物即人工耳蜗的处理方法,避免了此患儿先天性耳聋的永久失治或延迟性再植入,及早地让患儿具有了正常语言的交流能力和在正常环境下上学的能力。

可见脑脊液科,已经成为了耳科在这方面后续服务的新角色,可为人工耳蜗植入术的水平再提高发挥积极“补救”性贡献。

〔本典型病例所涉及的图片和视频均经患者本人或家属同意,如有异议,请联系该微信公众号方〕



李小勇

主任医师
中国博士/美国博士后
李小勇脑脊液科(中心)创始人

开设“脑脊液神经外科学”学科
提出“脑脊液神经外科学”理念和理论
建立脑脊液病专科病房(原航空总医院脑脊液科)
中国神经外科专家、中国工程院院士王忠诚教授早期博士
美国神经外科显微手术专家Rhoton教授博士后学者
原北京天坛医院神经外科专家
原北京市神经外科研究所神经内分泌实验室主任
原北京市神经外科研究所神经解剖研究室主任
原中华医学会神经外科分会会员和北京神经外科分会委员
中国抗癌协会胶质瘤专委会全国委员

擅长领域:


从事脑脊液神经外科学临床研究30多年,总结提出了脑脊液科综合治疗法,擅长各种脑积水、脑积水手术并发症、术后脑膨出和颅骨修补、颅内感染等各类脑脊液病的治疗。常见脑脊液疾病:

1.脑积水分流失败:分流感染,分流管(反复)堵塞。

2.脑积水内镜“微创”“不放管”术失败:脑室仍大,术后又分流/引流, 颅内感染,婴儿脑积水术后头仍大(注:为“内镜术”的失败!)。

3.脑脊液引流性颅内感染:腰大池/脑室引流管堵塞,腰大池/脑室引流所致颅内感染。

4.原发和继发脑积水,开颅区脑膨出/头皮溃疡/刀口脑脊液漏,术后刀口区积液,脑外积液。

5.婴儿脑积水或“大头娃娃”早期型:(注:不要盲目“首选内镜术!)。

6.经鼻经蝶垂体瘤等显微或内镜术后颅内感染/脑脊液漏。

7.脑脊液鼻漏修补术“反复”失败:创伤后型/手术后型/自发型。

8.脊髓空洞/小脑扁桃体下疝(Chiari畸形)/脑积水:(随机单一症/随机二联症/三联症)。


9.引起以上“医源并发症性”的一般神经外科性疾病:脑外伤、脑出血、脑动脉瘤、脑血管畸形、颅脑和颅底以及脊髓肿瘤、颅内感染、脑脊液漏、小脑扁桃体下疝畸形、脊髓空洞、面肌痉挛、三叉神经痛、舌咽神经痛等。

10.神经内科型脑膜炎(化脑/结脑/真菌/病脑)及其脑积水或顽固高颅压并发症。


出诊地点一:北京北亚骨科医院李小勇脑脊液科

出诊时间:周一、三、四、五全天,周二上午

出诊地点二:北京清华长庚医院

出诊时间:周二下午


交流咨询:13651375487(微信同号)

最新评论
发表你的评论
发表你的评论