好久没有记录科室动态,出去进修神经内镜半年,六月份抽空博士毕了个业,九月份正式回到科室!在科主任及各位上级医生带领下,参与管理本月手术患者33例,脑卒中类11例(6例常规,5例介入治疗),脑外伤类3例,大脑肿瘤类5例,其他手术6例,单纯造影8例。中规中矩的手术量,种类不多但每个都挺有意思,值得回味一下!
还缺一个我们大劳力,钱医生。。。
部分病例图片展示
现科室主任,吴建东教授
病历一,缺血性疾病(搭桥治疗)
缺血性脑卒中患者往往多次反复发作。患者高某某,男性,60岁,因“行走不稳伴言语不清三天”入院。
CTA提示左侧大脑中动脉狭窄闭塞
影像学提示左侧半卵圆区梗塞伴缺血
准备大脑中动脉M4为受体血管
准备颞浅动脉为供血血管
吻合血管
术后CTA提示左侧颞浅动脉与大脑中M4段沟通
术后患者症状明显改善
病历二,出血性疾病(介入治疗)
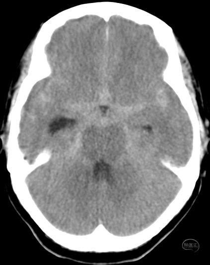
出血性卒中患者病情往往来的更凶险。此患者女性,55岁,“突发头痛伴恶心呕吐一小时”急诊入院。
头颅CT提示前纵裂,鞍上池,双侧外侧裂广泛蛛网膜下腔出血
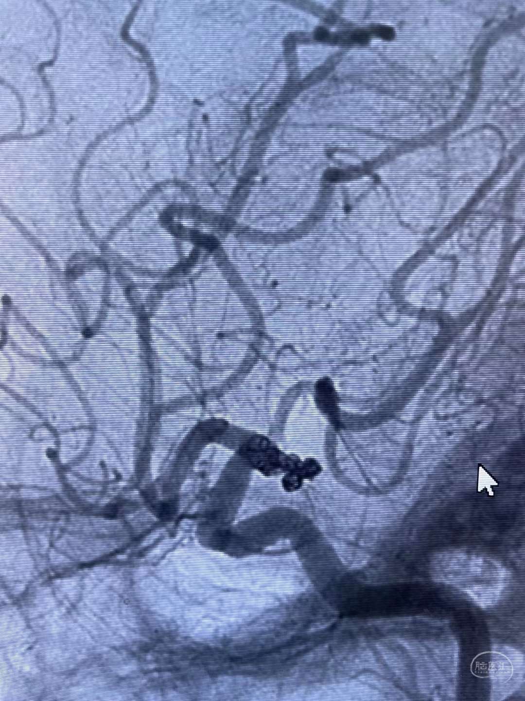
DSA提示右侧后交通分叶状动脉瘤
术中弹簧圈填塞分叶子瘤,为保护后交通动脉,瘤体选择疏松填塞
病历三,颅内肿瘤(开颅治疗)
患者女性,59岁,因“双眼视物模糊三年,加重半年”入院。
MRI提示鞍结节脑膜瘤,大约3.5*3.0*2.5CM。
术后MRI提示肿瘤完整切除。术后视力视野改善,无尿崩症状。
病历四,海绵窦肿瘤(神经内镜)
分享一个高风险的手术病例。患者男性,65岁,因“右额面部麻木伴复视三天”入院。
这个磁共振影像,考虑啥??右侧海绵窦区占位,增强无强化!海绵状血管瘤?侵袭性垂体瘤?三叉神经鞘瘤?影像学不典型。
这个手术的风险主要是因为海绵窦里有颈内动脉以及丰富的神经分布。稍微不慎就可能导致患者术中大出血以及神经的损伤。所以选择神经内镜微创治疗,把肿瘤在神经的内侧掏出来,从而减少神经损伤!
术后病理为海绵状血管瘤
术后患者眼球运动正常,面部麻木以及复视症状消失。




