本文介绍由解放军第960医院(原济南军区总医院)神经外科朱伟杰主任团队完成的磁共振检查“正常”的颈静脉孔区肿瘤切除病例。
看点儿:磁共振检查报告为正常;主体位于颈静脉孔内肿瘤;小肿瘤大症状;纯内镜手术;国产4K内镜;精准影像分析。

1 病例介绍
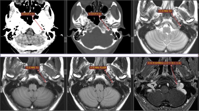
患者青年女性,因“发音嘶哑7年,左颈肩部肌肉萎缩4年”入院。既往体健,查体显示声音嘶哑,左侧胸锁乳突肌和斜方肌明显萎缩。肌电图示左侧胸锁乳突肌、斜方肌、冈上肌和菱形肌神经源性受损。头颅磁共振平+增强检查提示“脑内多发缺血灶;松果体小囊肿;颈静脉孔区未见明显占位性病变”。
根据患者症状和体征,排除肺部病变,考虑病变定位于左侧颈静脉孔区导致左侧第Ⅹ和第Ⅺ颅神经同时受累。尽管磁共振报告“阴性”,但我们从术前CT和磁共振影像上仔细观察,还是能发现一些蛛丝马迹:CT显示左侧颈静脉孔较对侧略扩大,磁共振增强扫描显示左侧岩下窦汇入颈静脉孔处有不均匀增强信号。

2 术前计划
经过科室专家反复讨论,与患者及家属充分沟通,制定周密术前计划,决定对患者实施开颅探查术。术前3D打印出整个后颅凹骨性形态。

为防止术中损伤颈静脉球和岩下窦导致大出血,3D打印出病变和周围血管形态。可见病变紧贴岩下窦汇入颈静脉球部。

3手术切除
手术采用左侧远外侧入路,使用纯内镜手术,内镜采用国产德龙4K纯高清内镜摄像系统,发现左侧第Ⅸ、第Ⅹ和第Ⅺ颅神经穿过颈静脉孔处肿瘤。

术中显示肿瘤质地较硬,直径约1cm,包绕左侧第Ⅸ、第Ⅹ和第Ⅺ颅神经并与硬脑膜粘连紧密。使用精细磨钻磨除颈静脉孔区部分骨质,充分暴露肿瘤。在电生理监测和德龙4K超高清内镜系统显示下完全切除肿瘤,保留神经,未出现大出血。

4术后随访
术后患者声音嘶哑较术前有所好转,病理结果显示颈静脉孔区砂粒型脑膜瘤。

采用3D Slicer对术后复查头颅CT与术前配准,对比显示开颅骨瓣和磨除的颈静脉孔区部分骨质。

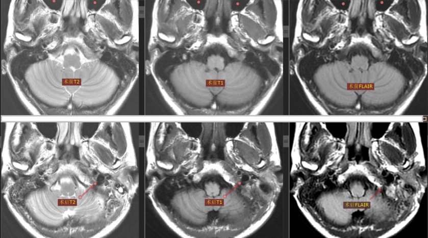
术后磁共振平扫与术前对比显示左侧颈静脉孔区形态。

采用3D Slicer对术后增强磁共振与术前配准,对比显示切除肿瘤的区域。
患者目前仍在随访中。
颈静脉孔区最常见的肿瘤是颈静脉球体瘤,其次是脑膜瘤和神经鞘瘤。肿瘤较小时容易漏诊。它生长比较缓慢,症状逐渐加重。因为它紧贴颈静脉孔部的重要的神经血管结构,所以在临床治疗上较困难,切除的时尤其在传统显微镜视野受限情况下很可能会诱发大血管的破裂出血、神经损伤以及脑脊液漏。伽马刀和射波刀等放射治疗颈静脉孔肿瘤虽然不会导致大出血,但会导致声音嘶哑,喝水呛咳的加重。
我们采取周密的术前计划、超高清内镜显示系统和精密的开颅器械,对颈静脉孔区肿瘤切除时脑膜切开约1元钱硬币大小,能够做到微创开颅、不留死角、全切肿瘤、快速康复。

专家简介
朱伟杰,解放军第960医院(原济南军区总医院)神经外科主任,医学博士。山东省医学会神经外科分会副主任委员,山东省优秀医师,第42届中日笹川奖学金高级研究学者。参加首批联合国赴苏丹国际维和部队,在战地医院主刀为外军士兵成功实施开颅手术,获联合国个人突出贡献奖。擅长颅脑和脊髓疾病的微创治疗和神经外科疑难、复杂病变的外科治疗。
