2021年10月09日发布 | 426阅读

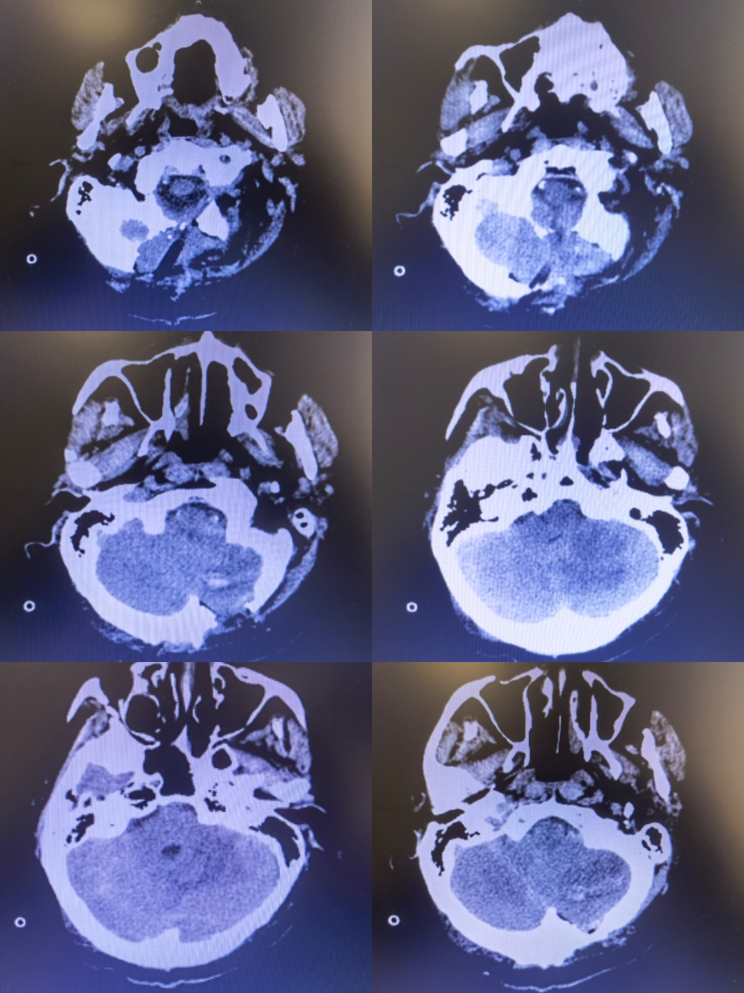
小脑挫裂伤压迫延髓

神外二 朱旭

邯郸市中心医院

患者神智嗜睡,给与甘露醇后意识好转,四脑室受压,脑干受压,后期迟发性挫伤和继发性脑肿胀会进一步压迫延髓,给与急诊手术

行脑室外穿刺后行后颅窝去骨瓣减压,术中剪开硬膜后血肿经小脑皮层破出,术后病人意识清楚

思考:小脑挫裂伤后压迫延髓随时可能危及患者生命,早期积极行手术治疗利于患者恢复

最新评论
发表你的评论
发表你的评论