2021年10月08日发布 | 977阅读

烟雾病,脑室出血,双侧脑室引流!

程淼

新疆生产建设兵团第一师阿拉尔医院

达人收藏

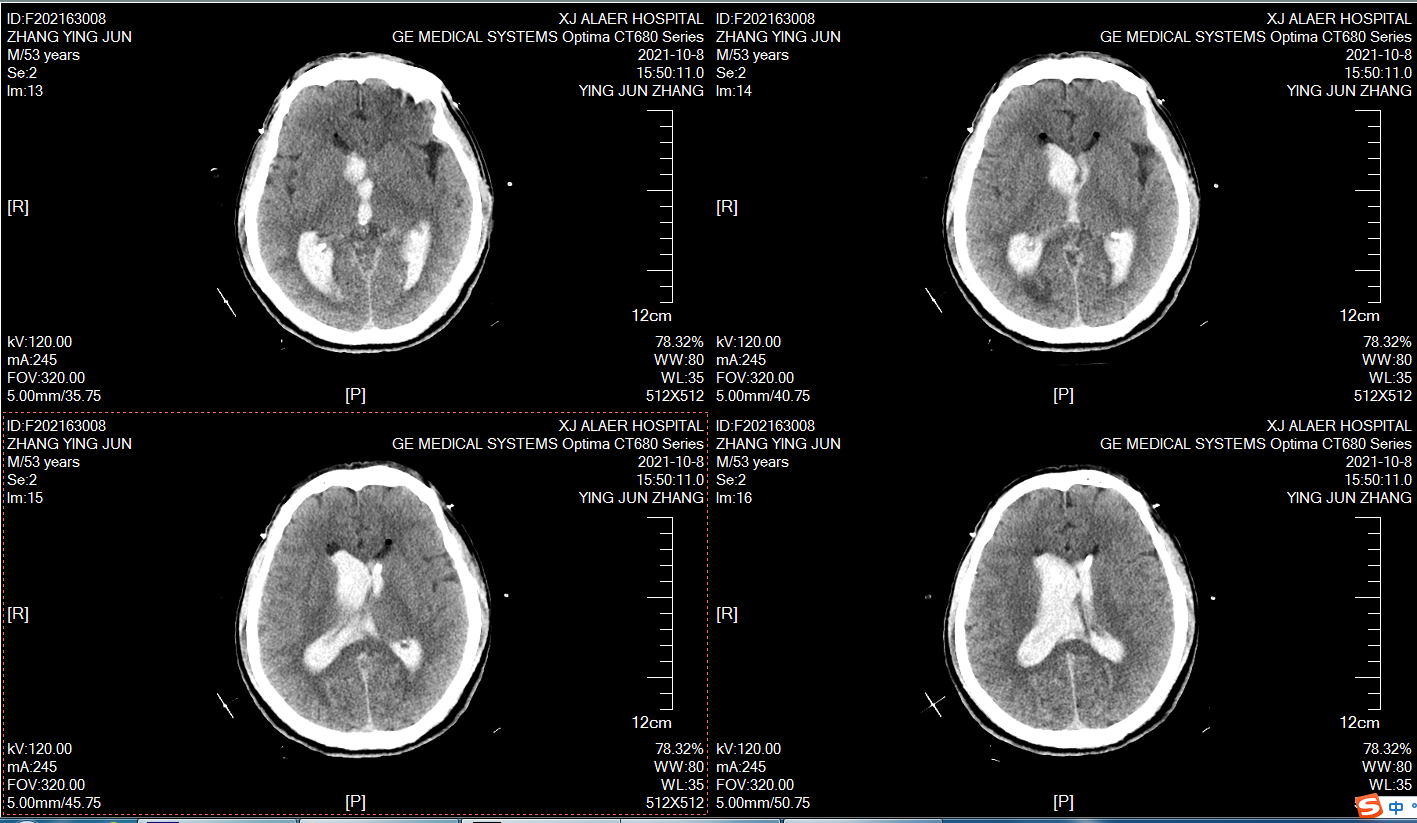
术前颅脑CT,男性,59岁,突发意识不清2小时,目前昏迷,GCS6分,右侧瞳孔4mm,左侧瞳孔2mm,脑室出血,烟雾病!

术前CTA提示烟雾病!

划线定位!

右侧置入6.5cm引流出暗红色血凝块,左侧6.5cm引流出淡红色液体!固定引流管,防止后期脱管!


术后复查,尿激酶冲洗!


术后9天效果,夹闭24小时压力无明显变化,拔引流管!

最新评论
发表你的评论
发表你的评论