2021年10月06日发布 | 1032阅读
脑血管-自发性颅内出血

猜血肿,硬膜外还是硬膜下(二)!

胡亚辉

陕西省勉县医院

达人收藏

接上个病例内容,今日抽空和大家分享

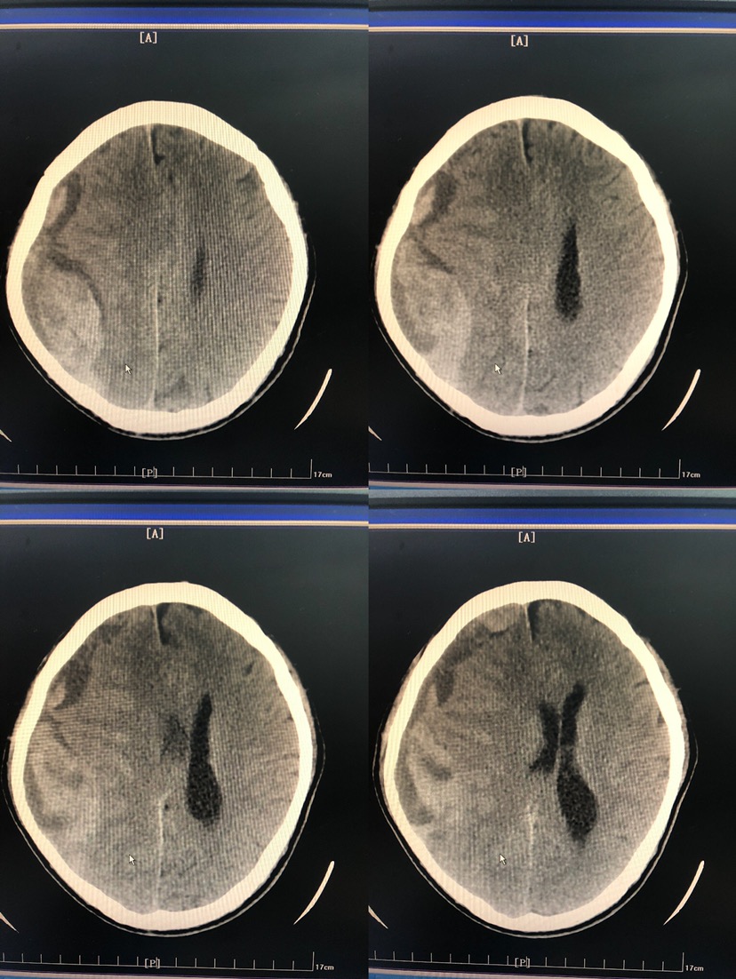
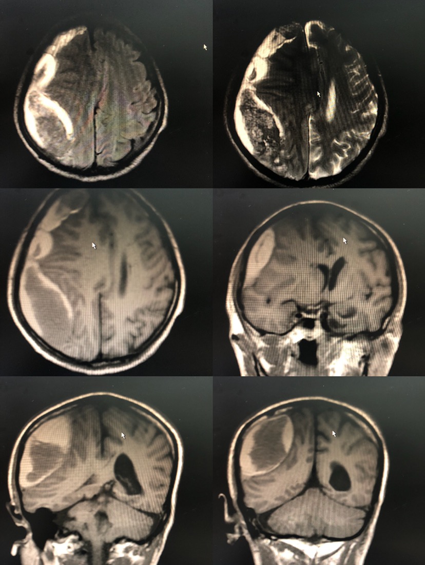
如图所见,CT及MRI提示均为硬膜外血肿。

但根据患者病情及以往所见仍考虑硬膜下可能。

考虑顶枕部血肿密度混杂,钻孔效果可能不佳。选择开颅手术治疗。

术中所见如下:


硬膜下血肿,打开硬脑膜,见明显的包膜。

清除大量“果冻”样血凝块,同时剔除包膜

最后骨瓣回纳。

思考:1、该患者属慢行硬膜下血肿,长期刺激形成包膜,影像学表现呈梭形,易误认为硬膜外。

          2、该患者大部分血肿呈“果冻”样血凝块,单纯钻孔可能效果不佳,开颅应该是正确的选择。

          3、剔除包膜预防复发,脑组织复张会更好。

希望各位老师给出指点!

最新评论
发表你的评论
发表你的评论