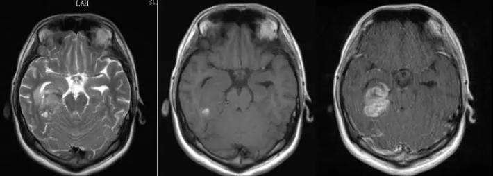
病史简介 患者男,18岁,因“久站后双小腿不自主颤动10余天”于2018.6.22入院。 患者十余天前无明显诱因下出现久站后双小腿不自主颤动,呈无力状。休息后可缓解。自觉体育运动能力较前有下降(患者为体校生)。无四肢抽动、无意识丧失、无二便困难。无明确外伤史。 查体: 神清,精神软,四肢肌力V级,深浅感觉无殊。 术前检查: 入院后头颅MRI增强显示:右侧海马占位伴出血,胶质瘤考虑(图1)。MRS:右侧海马病变部位NAA峰明显降低,Cho明显升高,Cho与NAA的比值明显加大。右侧海马病变以肿瘤可能性大。ASL灌注提示右侧海马占位明显高灌注(图2)。

图1.患者术前头颅MRI增强:右侧海马占位伴出血,胶质瘤考虑。

图2. 患者术前ASL灌注提示右侧海马占位明显高灌注。 结合病史和影像学资料,诊断首先考虑:左海马颞叶高级别胶质瘤 诊疗经过 第一次MDT讨论: 参加科室: 神经外科、放射科、放疗科。术前诊断:右颞叶高级别胶质瘤可能性大,有手术指征。可行的手术方案包括:开颅肿瘤切除和病灶立体定向活检。考虑肿瘤位于可切除部位,拟行开颅肿瘤切除术。 术中所见: 右颞叶皮层下3cm见肿瘤,色灰红,质软,血供丰富,紧贴侧脑室三角部,下缘临近小脑幕。切除肉眼可见肿瘤。冰冻病理提示:胶质瘤可能。切除标本送病理常规及分子病理检查。术后CT复查示术区肿瘤切除,无明显出血、梗死表现(图3)。

图3. 术后CT复查示术区肿瘤切除,无明显出血、梗死表现。
病理结果
病理回报:
(右颞部)胶质母细胞瘤,IDH野生型。MGMT启动子无甲基化。分子病理结果如下:


患者术后淡漠,少语,行走及二便困难逐渐加重。术后十余天开始右臀部及下肢疼痛。查腰椎MRI平扫见L5-S1椎间盘稍突出,并未见到明显椎管内肿瘤(图5)。

图5. 术后腰椎MRI平扫仅L5-S1椎间盘稍突出。
术后2周余复查头颅CT:
脑室系统扩大及,侧脑室旁白质间质性水肿(图6)。
图6.术后2周头颅CT:脑室系统积水及颅内高压进行性发展。 术后1月余,进行性右侧肢体偏瘫失语伴意识不清。查体:昏迷,GCS 1+1+5,右侧瞳孔5mm,对光反射迟钝,左侧4mm,对光反射灵敏。双侧肌力查体不配合,肌张力高。 复查头颅CT:右内叶侧脑室旁见结节状等高密度。脑积水伴间质性水肿。急诊行侧脑室外引流,术中测压>400mmH2O。留取脑脊液标本行脱落细胞检查提示:可见异性细胞,胞体大,胞浆比例增高,胞浆染色深,核仁可见。 外引流术后症状稍改善。外引流术后3天复查头颅 MRI: 1. 右侧海马异常强化影,部分软脑膜播散转移可能。 2. 幕上脑积水伴间质性水肿。 3. 左侧额顶枕叶、右侧丘脑及侧脑室旁新发梗塞灶考虑(图7)。

图7. 头颅 MRI:1. 右侧海马异常强化影,部分软脑膜播散转移可能。 2.幕上脑积水伴间质性水肿。 3.左侧额顶枕叶、右侧丘脑及侧脑室旁新发梗塞灶考虑。 第二次MDT讨论: 结合最近的MRI报告、脑脊液脱落细胞结果,证实患者胶质瘤经脑脊液及软脑膜播散。同时回顾病史及患者第一次术前MRI表现,右侧海马病灶无法解释双下肢的症状(排除癫痫),而脑干软脑膜上可见部分点状增强病灶(图8),因此考虑患者术前已存在肿瘤播散。目前治疗首先考虑通过脑室-腹腔分流解除颅内高压。待一般条件允许时考虑行进一步放、化疗。

图8.术前增强头颅MRI。红色箭头示脑干周围点状增强病灶为可能的播散病灶。
外引流术后12天拔除外引流,放置脑室腹腔分流管,分流泵压力15cmH2O。术后症状无持续改善。分流术后20天意识障碍突发进一步下降,GCS:2+1+3,右瞳4mm,对光迟钝,左侧4mm,对光灵敏。脑室腹腔分流泵回弹差,堵塞可能。家属放弃治疗,自动出院。