后交通动脉瘤多导管系统(支架辅助+双微导管)栓塞治疗
1、患者,年龄: 65岁 性别: 女 族别: 哈萨克族
2、以“发现颅内动脉瘤10天”入院。入院查体:体温36.5 ℃ 脉搏 78次/分 呼吸18 次/分 血压110/75mmHg。神志清,精神可,对答正确,查体合作,双侧瞳孔等大等圆,对光反射灵敏,直径约2.5mm,双侧眼睑正常,眼球运动正常,无颈部抵抗感,四肢肌力、肌张力正常,生理反射存在,双侧病理征阴性。
3、辅助检查:我院2020-12-20CTA示:1.右侧颈内动脉C7段动脉瘤; 2.双侧颈内动脉虹吸段可疑少许软斑,管壁毛糙,管腔略窄; 3.右侧大脑后动脉及椎动脉颅内段纤细,同侧后交通动脉优势供血。
4、入院诊断: 1.右侧颈内动脉后交通段动脉瘤 2.高血压3级 3.2型糖尿病 。
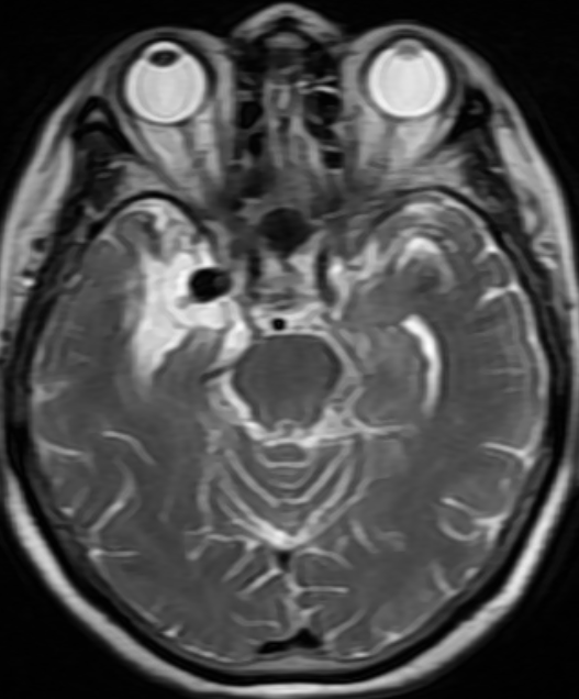
外院头颅MR示:右侧颞叶内侧血管流空影,考虑:颅内动脉瘤
入院后完善头颅CTA:右侧颈内动脉后交通动脉瘤。
后交通动脉瘤大小约22mm*12mm。
左侧颈内动脉正侧位造影:未见明显异常!
左侧颈动脉正侧位造影:未见明显异常!
右侧颈动脉正侧位造影:右椎动脉发育纤细!
右侧颈内动脉正侧位造影:后交通动脉瘤,后交通动脉发育粗大!
右颈内动脉三维重建:粗大的后交通动脉自近心端瘤颈发出!闭塞后交通动脉可能会出现临床症状,似乎可以通过支架的推“灯笼”保护,但瘤体较大,尽可能栓塞完全,故考虑瘤腔内双微导管分区填塞!
通过7F长鞘+6F Navien同轴输送至颈内动脉岩段
选择Lvis3.5mm*20mm支架半释放保护下经瘤腔深部栓塞微导管送入第一枚16mm*52cm弹簧圈后,经另一根栓塞微导管交替分区填塞动脉瘤瘤体!
完全释放支架后,处理瘤颈部!共送入9枚栓塞弹簧圈!
术后即刻正位造影:动脉瘤栓塞满意!
术后即刻侧位造影:动脉瘤栓塞满意!
术后三维重建:动脉瘤栓塞满意,后交通动脉保留!
朮后第二天复查头颅CT:颅内未见明显异常!
此例病例的特点:
1、动脉瘤瘤腔较大,通过双微导管分区栓塞可充分实现瘤腔的均匀致密填塞!
2、双微导管分区填塞也可更好的实现后交通动脉开口处弹簧圈的分布,刻意保护后交通!
3、通过7F长鞘+6F Navien中间导管可提供更充分的微导管支撑,6F Navien内可轻松同时置入Headway-21支架微导管、两根Echelon-10微导管,避免双侧股动脉穿刺!
4、选择编织型支架可实现推“灯笼”使支架局部膨隆,增加边支血管的保护,也可通过支架的推、拉动作,使支架在瘤颈处重新排列支架网丝,增强瘤颈局部的“金属覆盖率”,促进血管内膜的修复!
手术团队:吴红星 帕尔哈提 冯冠军 孙连杰
麻醉团队:新疆自治区人民医院麻醉科团队
手术室护理团队:马晓婷 薛若凌 宋钰微 王姣姣 陈韵菥
图像处理:朱贺智(技师)




