2019年01月14日发布 | 357阅读
神经介入-动脉瘤
神经内科-神经内科

大脑中分叉部动脉瘤一例

程美雄

四川省人民医院

65岁女性,两次破裂出血,运气很好,术前还是清醒的

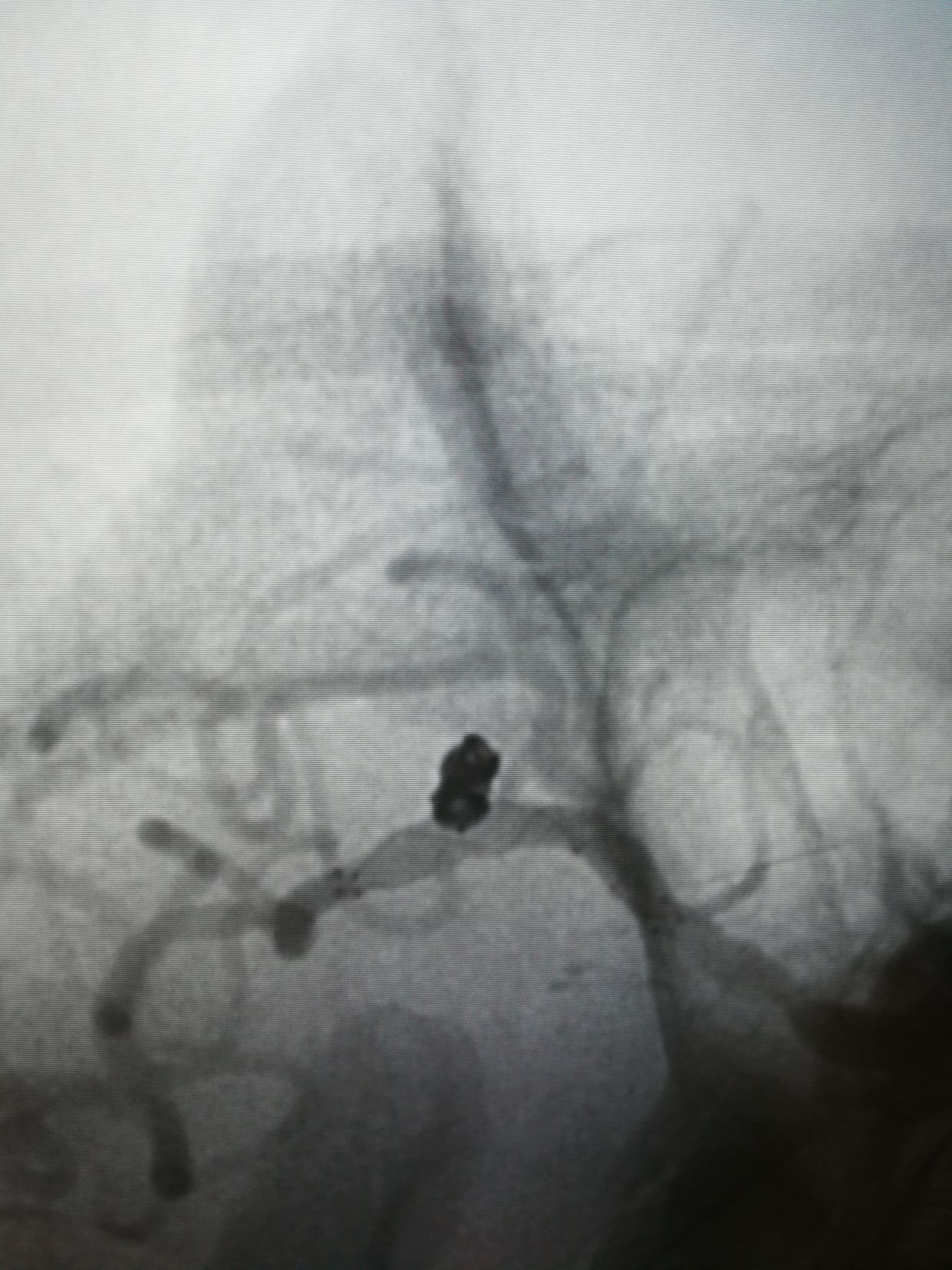
CTA示右侧大脑中分叉部动脉瘤,瘤子小,颈宽,主要累及下干,颈内动脉预期

术前3d和工作位

6f90cm长鞘,105navien到位。

comos 3-6,hypersoft 1.5-3填塞后,成篮还不错,下干几个袢,支架后释放很放心

lvis25-17,支架打开很好,术后动脉瘤完全不显影。1个半小时结束战斗,收工回家。

最新评论
发表你的评论
发表你的评论