病史资料
1、患者,男性,50岁。
2、病史:因突发头痛2小时就诊我院门诊,急诊头颅CT提示:蛛网膜下腔出血,收住我院神经内科保守治疗,经我科会诊后,高度怀疑动脉瘤破裂出血转入我科进一步治疗。
3、查体:嗜睡,查体合作,双侧瞳孔直径2mm,光反射敏感,GCS(E3V5M6):14分,Hunt-Hess:1分,Fisher分级:1级。颈稍亢,脑膜刺激征弱阳性,双侧巴氏征阴性,四肢肌力5级,肌张力正常。
4、无高血压、糖尿病等病史。
5、急诊查CTA提示:右侧大脑中动脉M1段巨大动脉瘤,和患者家人沟通后送导管室急诊造影。
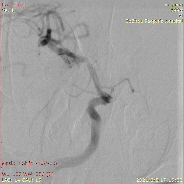
右侧颈内动脉正位造影
右侧颈内动脉侧位造影
三维重建提示:右侧大脑中动脉M1段巨大动脉瘤,15.4mm*13.3mm大小,瘤颈7.1mm,近似球形,瘤顶指向下方。
治疗策略
大脑中动脉M1段动脉瘤可选择介入和夹闭两种手术方式,分析该动脉瘤解剖学特点,同时考虑未形成明显颅内血肿,无占位效应,故选择介入治疗术中较易操作,手术过程较简单,且创伤极小。当然如果考虑经济因素,夹闭则是更好的选择。患者家人也同意介入治疗方案。
介入治疗方案
单微导管或双微导管单纯栓塞,备用支架。
介入材料
1、考虑患者颈总动脉及颈内动脉近端血管扭曲,选用6F Envoy DA 一根。
2、SL-10微导管2根。
3、syn2导丝。
4、各种规格弹簧圈若干。
5、Atlas支架3.0mm*15cm一根(备用)。
工作位造影
先将第一根SL-10微导管塑形成“猪尾”后,顺利送入动脉瘤体内中心位置。我们打算先用一根微导管进行填圈,如果填圈顺利就不使用双导管技术。
选用Target 15/30作为成篮圈,经过小心、缓慢推送弹簧圈,使第一个圈的成篮形态和位置非常完美,弹簧圈瘤内完美贴壁,也基本覆盖瘤颈。
成篮圈的即刻造影和蒙片
依次填入14/30、13/30、11/30、10/20*2弹簧圈后,发现第一根微导管已经基本固定在瘤颈上方,而瘤体中心及下方仍显影明显。这时我们暂不撤回第一根微导管,然后将第二根SL-10微导管塑形后送入瘤内下方继续填圈。
用两根微导管依次缓慢、小心填入9/30,8/30,7/20,6/20,5/10,3/8等圈,即刻造影,动脉瘤不显影,最终达到完全栓塞。
观察15分钟后再次造影,正位片。
观察15分钟后再次造影,侧位片。
载瘤动脉通畅,手术结束。
术后患者带气管插管回病房,次日病人神志清楚,四肢活动自如。
术后讨论:
对于该例病人,考虑是破裂急性期动脉瘤,我们首选单/双微导管技术进行致密栓塞,尽量避免使用支架带来的术后并发症。但术后需要严密随访,因为动脉瘤体积巨大,后期可能因为血流动力学的原因造成弹簧圈移位,导致动脉瘤复发,所以我们建议患者一个月后复查造影,必要时二期置入支架,加固瘤颈,减少复发的概率。
【术 者 简 介】
王磊,主任医师,教授,研究生学历,中共党员,毕业于安徽医科大学。安徽医师协会神经外科分会青年委员、亳州市医学会神经外科分会委员。曾在北京天坛医院、北京301医院进修学习;率先在亳州市地区开展颅内动脉瘤和脑血管畸形的微创介入栓塞治疗。
安徽省神经外科优秀医师、亳州市人民医院杰出青年、亳州市团委青年岗位能手、亳州市人民医院优秀亚专业组组长、亳州市人民医院先进个人。以第一作者发表北大核心期刊2篇,中国统计源核心期刊3篇,主持三新项目1项,参与省级科研课题1项。
擅长:颅内动脉瘤、脑血管畸形、脑出血、烟雾病、脑血管狭窄、静脉窦血栓等疑难脑血管病的神经介入微创手术和显微外科手术治疗。




