【李小勇脑脊液科治疗过程与结果】
患者因间断性头晕、行走不稳,伴双上肢放射痛,麻木,于2020年4月11日入住北京某三级医院的中医骨伤科,当日查颈椎CT示椎管狭窄性颈椎病(图-1)。

图-1:2020年4月11日颈椎CT

图-2:2020年4月12日颈椎MR
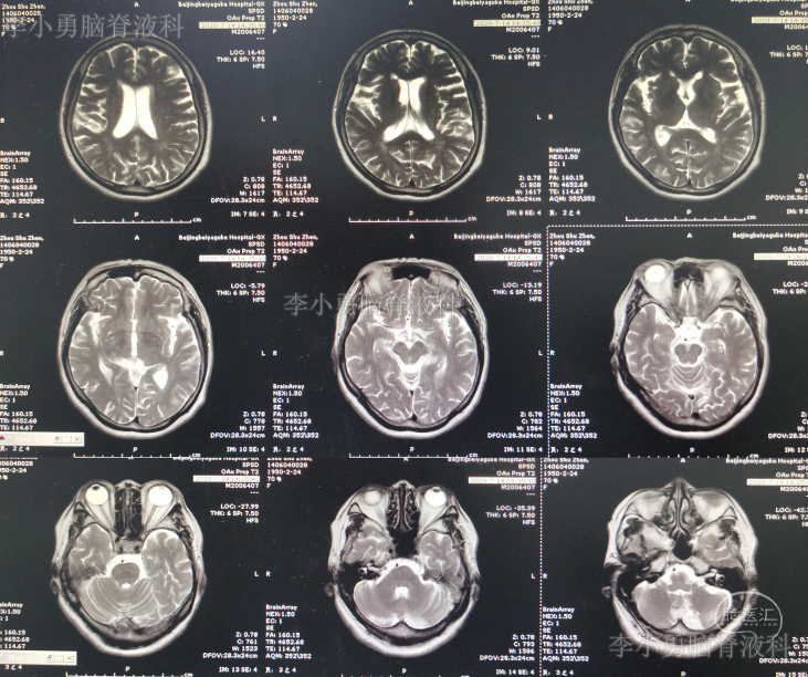
2020年5月10日(即第一次颈椎术后18天)患者洗脸时再次突发头晕,表现为天旋地转,恶心,呕吐视物旋转,行走不稳,经休息症状不缓解,再次就诊入院。查头颅MR显示急性小脑梗塞(图-3),给予改善微循环、降血脂、控制血压及对症治疗后患者头晕好转出院,但行走时仍有摇晃感。

图-3:2020年5月10日头颅MR
2020年7月14日(即第一次颈椎病术后83天)患者又出现头晕加重,尤以低头扭头时明显(注:患者未按照医嘱佩戴颈托),而且双上肢放射痛,麻木再次出现,双下肢无力,行走不稳,门诊复查头颅MR示小脑陈旧性梗塞(图-4)。

图-4:2020年7月14日头颅MR
2020年8月1日(即第一次颈椎病术后第101天)患者复查颈椎MR示颈椎病,椎管狭窄,颈髓受压(图-5)。

图-5:2020年8月1日颈椎MR
2020年8月4日(即第一次行前路颈5-6椎间盘切除椎间植骨融合内固定术后第114天),再次行颈椎前路颈5、颈6锥体次全切、人工锥体钛板螺钉内固定术,2020年8月5日(即第二次颈椎病术后第1天)复查颈椎平片及颈椎CT示椎管狭窄解除,人工椎体位置良好(图-6、图-7)。

图-6:2020年8月5日颈椎平片

图-7:2020年8月5日颈椎CT
2020年8月13日(即第二次颈椎病术后第8天)患者开始出现颈部肿胀,床旁B超检查发现颈部切口深部积液,超声引导下穿刺抽出约87ml淡黄色透明液体,同时积液送细菌培养。2020年8月14日(即第二次颈椎病术后第9天)再次在床旁B超引导下穿刺抽液,抽出约90ml淡黄色透明液体,并加压包扎。复查颈部MR示术区皮下大量包裹性积液,考虑脑脊液漏(图-8)。

图-8:2020年8月14日颈部MR
2020年9月1日(即颈椎脑脊液漏修补术后第5天即第二次颈椎病术后第24天)住入脑脊液科治疗。入院时:可见颈部一长约15cm手术切口,缝线未拆,周围肿胀,挤压可见渗液,皮缘浸泡泛白。
2020年9月2日(入脑脊液科次日,即颈椎脑脊液漏修补术后第6天,即第二次颈椎病术后第25天)复查颈部MR示术区皮下深部仍有包裹性积液(图-10)。

图-10:2020年9月2日颈部MR
于2020年9月3日(入脑脊液科第3天,即颈椎脑脊液漏修补术后第7天即第二次颈椎病术后第25天)行脑室外引流术。术后复查头颅CT:引流管位置良好(图-11)。

图-11:2020年9月3日头颅CT
2020年9月8日(入脑脊液科第8天,即脑室外引流术后第5天,颈椎脑脊液漏修补术后第12天,即第二次颈椎病术后第25天)患者颈部肿胀完全缓解,切口周缘变干燥,漏液消失,全部拆线(图-12)。2020年9月14日(入脑脊液科第14天,即脑室外引流术后第11天,即颈椎脑脊液漏修补术后第18天,即第二次颈椎病术后第31天)复查颈部MR示皮下积液已基本消失(图-13)。

图-13:2020年9月14日

图-14:2020年9月21日

图-15:2020年9月26日头颅CT
2020年9月28日(入脑脊液科第28天,即脑室外引流术后第25天,即颈椎脑脊液漏修补术后第32天,即第二次颈椎病术后第45天)复查颈部MR:术区皮下积液消失(图-16),于是当日拔除脑室引流管。

图-16:2020年9月28日颈部MR
2020年10月11日(入脑脊液科第41天,拔除脑室引流管后第14天,即第二次颈椎病术后第59天)颈部伤口愈合良好,复查头颅CT:未见异常(图-17),于是转回中医骨伤科继续康复锻炼及治疗。

图-17:2020年10月11日头颅CT
2020年10月20日(入脑脊液科第50天,拔除脑室引流管后第23天,即第二次颈椎病术后第68天)患者颈部伤口愈合良好,但仍有头晕无法独立下地行走,好转出院(图-18)。

图-18:2020年10月20日
出院后近5月即2021年3月17日,来院复查:已基本可以独立行走,但仍间断轻度头晕(图-19)。

图-19:2021年3月17日
〔本典型病例所涉及的图片和视频均经患者本人或家属同意,如有异议,请联系该内容发布方〕
*****************************
李小勇
主任医师
中国博士/美国博士后
李小勇脑脊液中心创始人
开设“脑脊液神经外科学”学科
提出“脑脊液神经外科学”理念和理论
建立脑脊液病专科病房(原航空总医院脑脊液科)
中国神经外科专家、中国工程院院士王忠诚教授早期博士
美国神经外科显微手术专家Rhoton教授博士后学者
原北京天坛医院神经外科专家
原北京市神经外科研究所神经内分泌实验室主任
原北京市神经外科研究所神经解剖研究室主任
原中华医学会神经外科分会会员和北京神经外科分会委员
中国抗癌协会胶质瘤专委会全国委员
擅长领域:
从事脑脊液神经外科学临床研究30多年,总结提出了脑脊液科综合治疗法,擅长各种脑积水、脑积水手术并发症、术后脑膨出和颅骨修补、颅内感染等各类脑脊液病的治疗。常见脑脊液疾病:
1.脑积水分流失败:分流感染,分流管(反复)堵塞。
2.脑积水内镜“微创”“不放管”术失败:脑室仍大,术后又分流/引流, 颅内感染,婴儿脑积水术后头仍大(注:为“内镜术”的失败!)。
3.脑脊液引流性颅内感染:腰大池/脑室引流管堵塞,腰大池/脑室引流所致颅内感染。
4.原发和继发脑积水,开颅区脑膨出/头皮溃疡/刀口脑脊液漏,术后刀口区积液,脑外积液。
5.婴儿脑积水或“大头娃娃”早期型:(注:不要盲目“首选内镜术!)。
6.经鼻经蝶垂体瘤等显微或内镜术后颅内感染/脑脊液漏。
7.脑脊液鼻漏修补术“反复”失败:创伤后型/手术后型/自发型。
8.脊髓空洞/小脑扁桃体下疝(Chiari畸形)/脑积水:(随机单一症/随机二联症/三联症)。
9.引起以上“医源并发症性”的一般神经外科性疾病:脑外伤、脑出血、脑动脉瘤、脑血管畸形、颅脑和颅底以及脊髓肿瘤、颅内感染、脑脊液漏、小脑扁桃体下疝畸形、脊髓空洞、面肌痉挛、三叉神经痛、舌咽神经痛等。
10.神经内科型脑膜炎(化脑/结脑/真菌/病脑)及其脑积水或顽固高颅压并发症。
出诊地点一:北京北亚骨科医院李小勇脑脊液中心
出诊时间:周一、三、四、五全天,周二上午
出诊地点二:北京清华长庚医院
出诊时间:周二下午
交流咨询:13651375487(微信同号)