基本情况:患者,男,65岁,身高:170cm,体重70kg
主诉:反复鼻腔流液十余年,再发1月伴突发头痛不适6小时
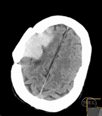
现病史:患者20余年前因蛛网膜囊肿手术后遗留伤口愈合不全,继发感染后治愈。随后多年来一直反复鼻腔流清亮液体,偶有发热,多发热后流液消失。近1个月无明显诱因下出现鼻腔流液,流出无色澄清液体,低头时鼻腔流液明显增多,每日有流液。无头痛不适,无恶心呕吐等症状。6小时前无明显诱因下突发头痛不适,无恶心呕吐,无意识障碍,无四肢活动受限。休息后头痛无明显好转,遂急诊送至我院,行头颅CT检查示右侧额叶出血。
既往史:既往体健,20年前因“蛛网膜囊肿”行开颅手术切除。
体格检查:神志朦胧,呼唤睁眼,简单对答,简单遵嘱动作,GCS评分3+4+6=13分,双侧瞳孔等大等圆,3mm,对光反射灵敏。眼球活动正常。颈强。
额叶因低颅压出血!
患者合并颅内感染,高热,予以病原微生物分析后,精准打击,精准治疗!
治疗后白细胞计数和C反应蛋白迅速恢复至正常水平!全身炎症反应区域稳定。
脑脊液生化及常规计数恢复正常,提示细菌感染迅速控制!
进一步头颅MRI检查查找脑脊液漏原因,可见前颅底筛凹处脑脊液漏出。
进一步三维CT阅片与重建,导航般了解患者病变位置,患者瘘口位于筛前动脉水平——筛板,嗅凹。
动态观察瘘口位置,制定详细的手术计划。
经病人同意,献上满意的笑容。
类似病例并不少见,但是患者多年没有得到有效救治,原因可能有二条:第一,患者本人多年鼻腔漏液习以为常,没有引起足够的重视;第二,患者惧怕开颅手术的风险,从心里本能拒绝手术。
经鼻腔内镜手术难度虽然不大,但是在狭小空间里取得足够的操作空间也并不容易;其次,鼻腔气房结构的复杂性让人望而生畏。无论是手术过程中无法寻找到漏口的焦躁,还是术野出血的紧迫感都会让医生倍感压力,但是如果术前能够准确定位(三维导航般阅片,三维影像的模拟重建),术中按部就班,依照解剖结构按图索骥,必然获得最终手术的成功。
本例患者救治还有一个亮点就是病原学的分析,针对细菌精准打击后,患者体温及全身情况快速好转也促进了医患之间的信任,后期手术方案的提出也就更容易获得患者的理解。




