记得不久前我们自己的军民脑血管病会介入会场里,常规的支架常规的急诊已经无法吸引大家的眼球了,病例汇报都是以有争议的治疗为主,关于原位狭窄的急诊处理方案,不同于以往的强迫症和积极,大家达成一致意见总结为:先球扩,动脉内使用抗板药物过程术中观察局部情况,能维持血流这就不用一期支架。朋友还感叹到:感觉同行们慢慢静下了心来,不再像曾经那么狂热的追求百分百的影像学完美了……
那么,这里给大家分享一个不一样的:
病史:
王某,男,64岁。
主诉:突发左侧肢体无力2小时。
既往:高血压、糖尿病10+年,中药治疗😪
查体:嗜睡,左上肢1级,下肢4级……nihss:10分。
术前治疗:阿替普酶0.9mg/kg溶栓桥接上台
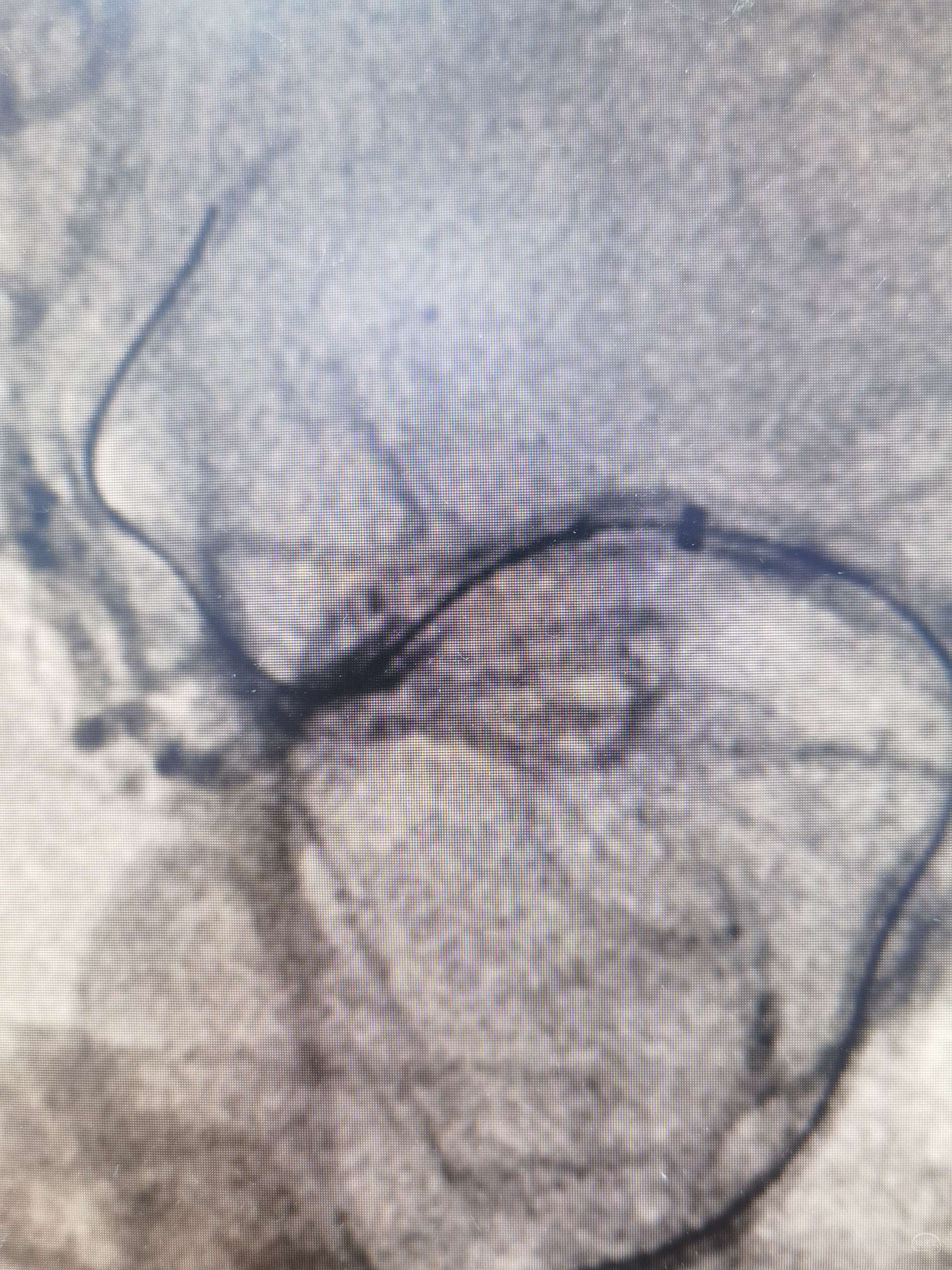
右侧颈内动脉正位:m1段闭塞(看看形态,不太像栓塞的表现)

双微通过病变部位

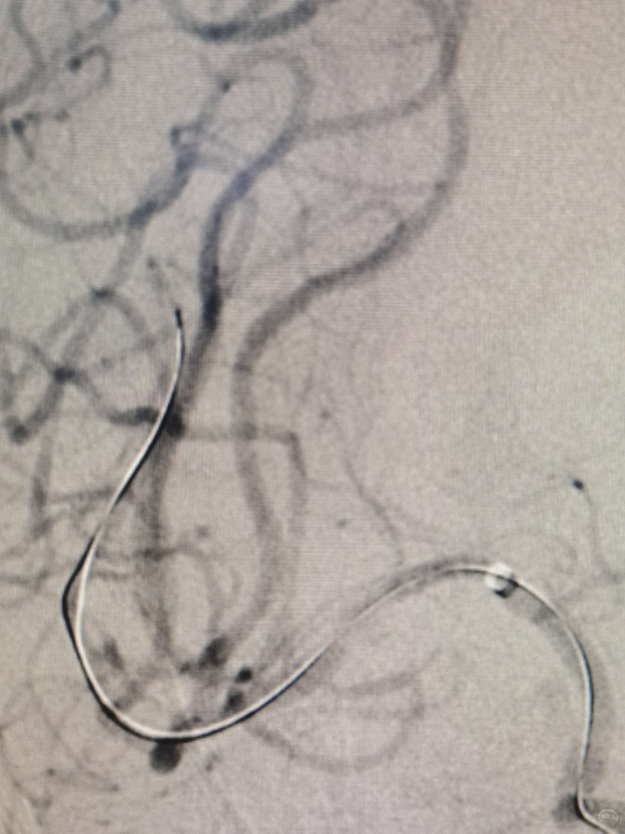
4*20取栓支架释放后极轻手推造影

支架也放了还是取一把,取出小栓子1枚,再次造影:m1远端重度狭窄,微导丝再次通过后即可见远端血流差


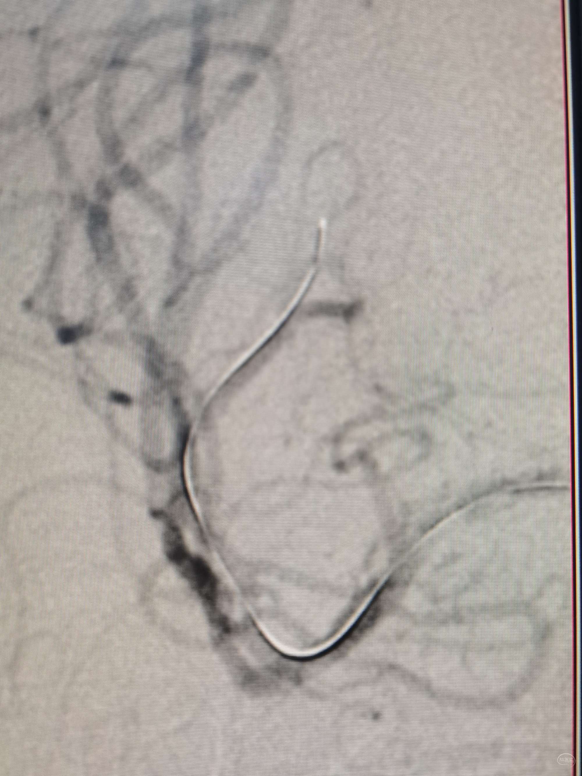
1.5*15颅内球囊命名压缓慢扩张,缓慢泄

扩张后观察5min血流及局部情况

不行,替罗非班5ml经中间导管缓推后,持续静脉泵入

替罗非班后再看:


按照开会时候大家商量的办法,至少这例患者不适合啊,在抗板的过程中都肉眼可见的血栓形成。故下一步处置:再上刚才的取栓支架,释放后手推冒烟:

解脱后再次观察10min

术中继续观察10min,远端血流tici3a级。结束手术。
此处,因单位新旧系统更换,缺术后的核磁影像分享给大家,报告中提示右侧皮层、散在新发病灶。
出院时上下肢肌力4级。MRS1分
术后小结:
1.当判断原位血栓的时候,有老师有观点为直接球扩支架到位释放
2.我们这样手术过程是源于大家最近的讨论共识,不过,似乎对于这例患者不太适合
3.本例患者取出小栓子后血流2级,术者也是在反思是否需要后面的球扩过程,分享也是学习,希望各位老师给出宝贵意见🙏🏿
520啦,祝各位同道生活幸福,时时有虐狗的资本🌹🌹🌹