2021年05月13日发布 | 1328阅读
脑肿瘤-胶质瘤

一例误诊为脑膜瘤的左额叶胶质瘤病变切除术

木医生

凉山州第二人民医院

达人收藏

42岁男性,反复头痛2月入院。查体:神清,对答可,双瞳3mm,形圆,对光可,右侧肌力5-级,较左侧稍差,余无特殊。

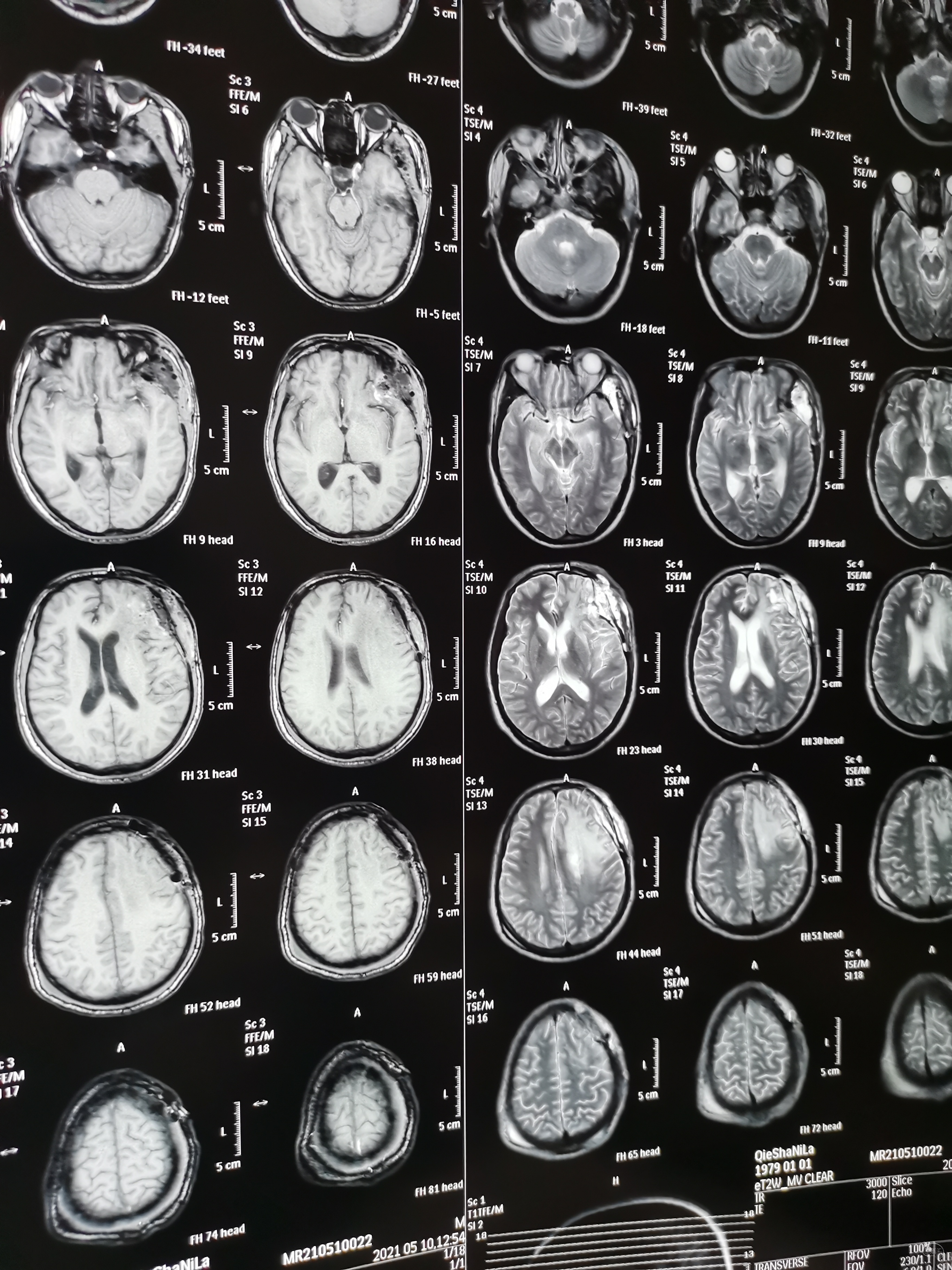
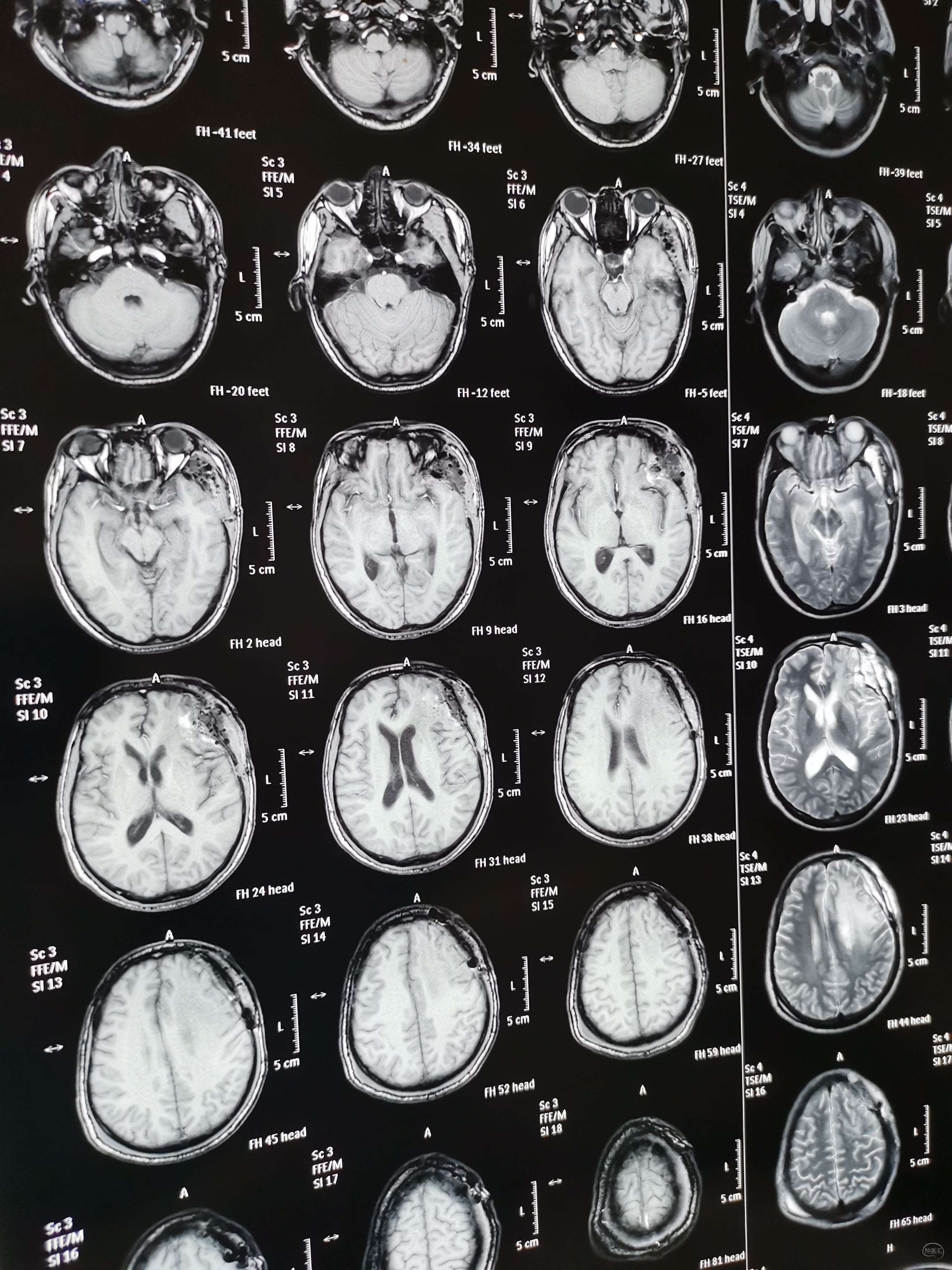
术前头颅MRI检查提示为左侧额叶占位性病变,增强强化均匀,似有脑膜征。考虑为脑膜瘤,蝶骨棘外侧型。

术中肿瘤质地硬脑,与脑组织边界清楚,沿边界全切肿瘤。

改镜下操作,严格界限操作,全切肿瘤。

术后病检为胶质瘤,两结果一致,拟进一步完善免疫组化,分级分型。

术后头颅MRI检查切除满意

通过这一病例体会,脑膜瘤在影响学上的典型症状并不完全可靠,对位于脑膜瘤好发部位的占位,不能单凭某一典型表现为来确诊。而应全面综合分析判断,从而提高胶质瘤的术前诊断率。本病例也更在于术中清楚的界限误导,增加术中的迷惑性。值得宽慰的是,即使术前术中迷惑性,未能明确诊断,胶质瘤全切,预后较好。免疫组化随访定级可。

最新评论
发表你的评论
发表你的评论