山东大学第二医院神经外科 孟庆虎
病例一:女,63岁,主诉:发作性头痛伴言语不能10余年,发作性左侧肢体麻木无力3年。“头痛伴言语不能”与“左侧肢体麻木无力”,是两类症状,病人说得很清楚,这两类症状都容易在受凉以后发作,但是彼此没有时间上的关系,都是单独发作。我理解,分别是双侧大脑半球的缺血症状。
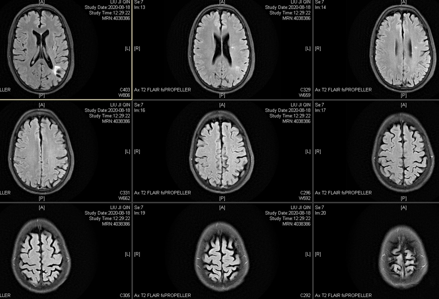
磁共振压水显示左侧多发的脑梗塞:

DSA显示右侧大脑中动脉分支减少:

左侧大脑中动脉闭塞:


磁共振灌注也显示左侧大脑半球血供差,但是有一个问题,就是左侧的颞浅动脉额支很细,顶支闭塞了,倒是脑膜中动脉形成了多处向脑内的代偿。



这种情况下,就选择了左侧的颅骨多处钻孔血流重建术。


病例二:男,41岁,主诉:头晕、视物成双、文字不能辨认5天。
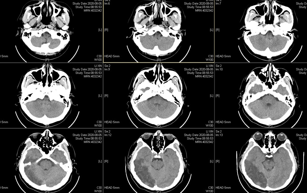
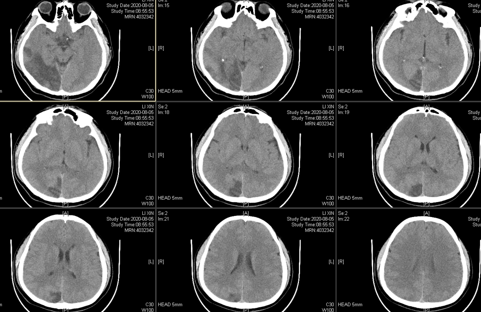
CT显示为右侧颞枕叶脑梗塞,同时累及了大脑中动脉和大脑后动脉分布区。


DSA显示右侧颈内动脉末端闭塞:

但是左侧是大脑中动脉闭塞:

所以,第一考虑不是烟雾病。
做右侧颞浅动脉-大脑中动脉搭桥+硬膜翻转颞肌贴敷术,手术过程没什么,受体血管约1mm。



病例三:男,36岁,右侧额颞叶脑出血5月,当地医院做血肿清除+去骨瓣减压,来我院做了颅骨修补,修补后1月来做左侧脑血流重建。
出血时CT:

造影显示右侧大脑前明显变细,大脑中只有很少的分支:


左侧大脑中分支更少,虽然正位看还有一些分支,但是侧位看,大脑半球上外侧面大面积的区域没有血液供应,尤其功能区:



做的左侧颞浅动脉-大脑中动脉搭桥+硬膜翻转颞肌贴敷。
打开硬膜以后,发现脑皮层动脉萎缩变细:

基本都达不到1mm。

最后在脑沟里翻出一根稍粗点的血管,但是一端扎入更深处,一端马上分叉,能利用的范围很小:

缝合空间有限:

缝完血流通畅:

荧光造影显示血流通畅。挑起来看深入脑沟内的另一端(紧挨着的是根静脉):

一般来说,脑血流重建手术没有很大的变异,但是每个患者也有细微的差别,也要具体分析,差别对待。