【李小勇脑脊液中心治疗过程与结果】
3年前(2017年,分流术后14年)患者再次出现头痛头晕,伴恶心呕吐。第3次就诊于山东省某三甲医院,行CT检查后(此片丢失),医生认为头部CT无异常,未进一步治疗,嘱患者回家观察。回家后患者头痛头晕仍间断出现,且出现越来越频繁,从开始的约半年出现一次头痛头晕到几乎每天都出现头痛头晕,且头痛程度越来越剧烈、无法忍受,于2020年5月11日(分流术后17年)第4次就诊于山东省某三甲医院住院,入院后行头部CT检查后,仍认为CT无异常(图-1)。

图-1:2020年5月12日头CT
给予患者行腰穿检查提示“颅压增高”,但具体“原因不详”,给予甘露醇降颅压治疗,但症状无好转。于2020年5月16日给予行头部MR检查:仍未见异常(图-2)。

图-2:2020年5月16日头部MR
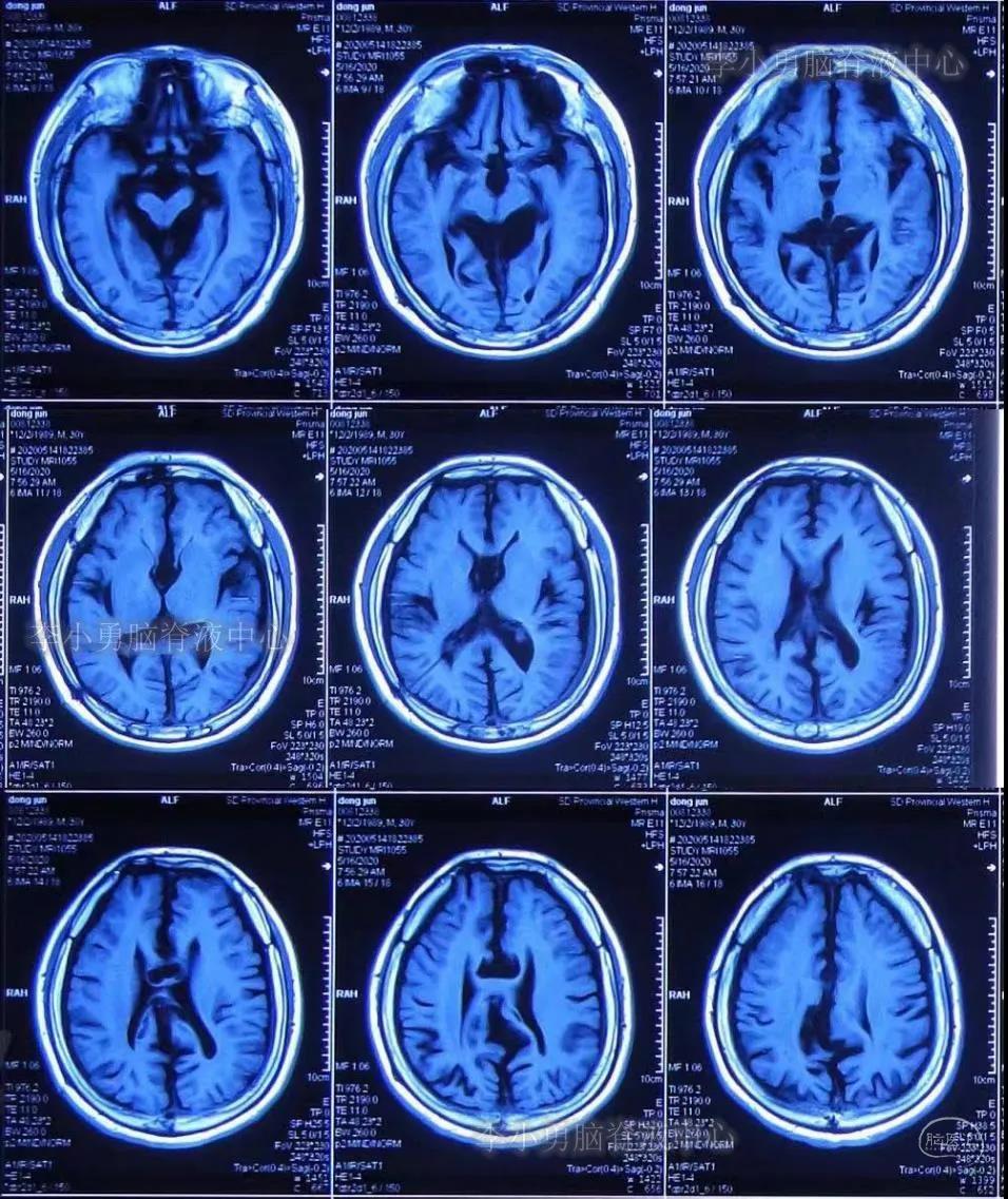
2020年5月28日入院时:扶入病房,表情痛苦,脾气暴躁,仍头痛头晕(图-3),入院当天查头部CT检查:脑积水分流术后状态(图-4)。

图-3:2020年5月28日入院时

图-4:2020年5月28日头CT脑室腹腔分流术后状态
入院后第4天即2020年6月1日,行原脑室腹腔分流管拔除术+脑室外引流术,术后当日复查头部CT(图-5)。

图-5:2020年6月1日术后头CT
术后脑室外引流引出黄色脑脊液(图-6)。

图-6:脑室外引流引出黄色脑脊液
脑室外引流术后第3天即2020年6月4日,复查头部CT(图-7)见脑室系统较前缩小。

图-7:2020年6月4日头CT脑室系统较前缩小
脑室外引流术后5天内,虽然还有疼痛发作,发作起来疼痛难忍(图-8),但头痛头晕频率较术前减少,从术前的每天出现到现在每2-3天出现一次。

图-8:2020年6月5日患者再次出现剧烈头痛
脑室外引流术后第10天即2020年6月11日,连续5天未再出现头痛头晕症状(图-9)。

图-9:2020年6月11日
脑室外引流术后第23天即2020年6月24日,复查头部CT见脑室系统较前无明显变化(图-10),但从2020年6月5日-2020年6月24日18天内仅出现过3次头痛(注:术后5天时曾每2-3天头痛发作一次),且头痛程度较前明显减轻。

图-10:2020年6月24日头CT
脑室外引流术后第28天即2020年6月29日,脑脊液颜色较前明显变淡(图-11)。

图-11:2020年6月29日

图-12:2020年7月29日头CT
脑室外引流术后65天即2020年8月5日,头痛消失后再未发作(图-13)。

图-13:因头痛消失情绪变好露出笑容
脑室外引流术后95天即2020年9月4日,进行了脑室腹腔分流术(图-14)。

图-14:患者脑室腹腔分流术后状态
脑室腹腔分流术后第12天即2020年9月16日(李小勇脑脊液科治疗3个半月),出院前3个月内再未出现头痛头晕症状,患者满意的出院回家(图-15)。

图-15:2020年9月16日患者出院时状态
2020年12月4日即出院后79天(2个半月),患者家属发来视频:已恢复正常劳动能力(图-16);并告知出院后再未出现头痛头晕症状,并表示诚挚的感谢(注:图中文字是家属所加)。

图-16:2020年12月4日已能正常的干活
(完)
〔本典型病例所涉及的图片和视频均经患者本人或家属同意,如有异议,请联系该内容发布方〕
*****************************
李小勇
主任医师
中国博士/美国博士后
李小勇脑脊液中心创始人
开设“脑脊液神经外科学”学科
提出“脑脊液神经外科学”理念和理论
建立脑脊液病专科病房(原航空总医院脑脊液科)
中国神经外科专家、中国工程院院士王忠诚教授早期博士
美国神经外科显微手术专家Rhoton教授博士后学者
原北京天坛医院神经外科专家
原北京市神经外科研究所神经内分泌实验室主任
原北京市神经外科研究所神经解剖研究室主任
原中华医学会神经外科分会会员和北京神经外科分会委员
中国抗癌协会胶质瘤专委会全国委员
擅长领域:
从事脑脊液神经外科学临床研究30多年,总结提出了脑脊液科综合治疗法,擅长各种脑积水、脑积水手术并发症、术后脑膨出和颅骨修补、颅内感染等各类脑脊液病的治疗。常见脑脊液疾病:
1.脑积水分流失败:分流感染,分流管(反复)堵塞。
2.脑积水内镜“微创”“不放管”术失败:脑室仍大,术后又分流/引流, 颅内感染,婴儿脑积水术后头仍大(注:为“内镜术”的失败!)。
3.脑脊液引流性颅内感染:腰大池/脑室引流管堵塞,腰大池/脑室引流所致颅内感染。
4.原发和继发脑积水,开颅区脑膨出/头皮溃疡/刀口脑脊液漏,术后刀口区积液,脑外积液。
5.婴儿脑积水或“大头娃娃”早期型:(注:不要盲目“首选内镜术!)。
6.经鼻经蝶垂体瘤等显微或内镜术后颅内感染/脑脊液漏。
7.脑脊液鼻漏修补术“反复”失败:创伤后型/手术后型/自发型。
8.脊髓空洞/小脑扁桃体下疝(Chiari畸形)/脑积水:(随机单一症/随机二联症/三联症)。
9.引起以上“医源并发症性”的一般神经外科性疾病:脑外伤、脑出血、脑动脉瘤、脑血管畸形、颅脑和颅底以及脊髓肿瘤、颅内感染、脑脊液漏、小脑扁桃体下疝畸形、脊髓空洞、面肌痉挛、三叉神经痛、舌咽神经痛等。
10.神经内科型脑膜炎(化脑/结脑/真菌/病脑)及其脑积水或顽固高颅压并发症。
出诊地点一:北京北亚骨科医院李小勇脑脊液中心
出诊时间:周一、三、四、五全天,周二上午
出诊地点二:北京清华长庚医院
出诊时间:周二下午
交流咨询:13651375487(微信同号)