2021年03月29日发布 | 1580阅读
神经介入-动脉瘤
神经内科-神经内科

血泡动脉瘤完整版

任军

兰州大学第二医院

达人收藏

男性,33岁,儿童节突发头疼

CT蛛网膜下腔出血

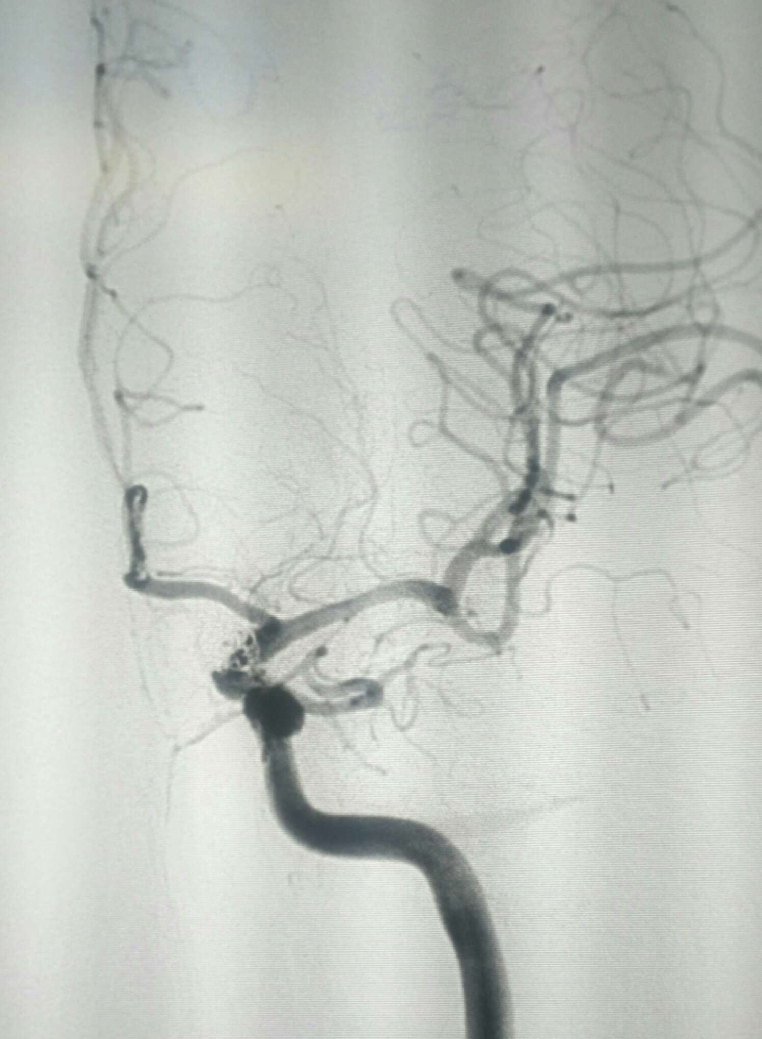
DSA左侧ICA“血泡”样动脉瘤

动脉瘤大小5.5*8mm

  “血泡样”动脉瘤近期破裂率更高,二次破裂死亡率90%以上。开刀夹闭难度太大,介入栓塞复发率高,医生皱眉头只摇!肿么办?

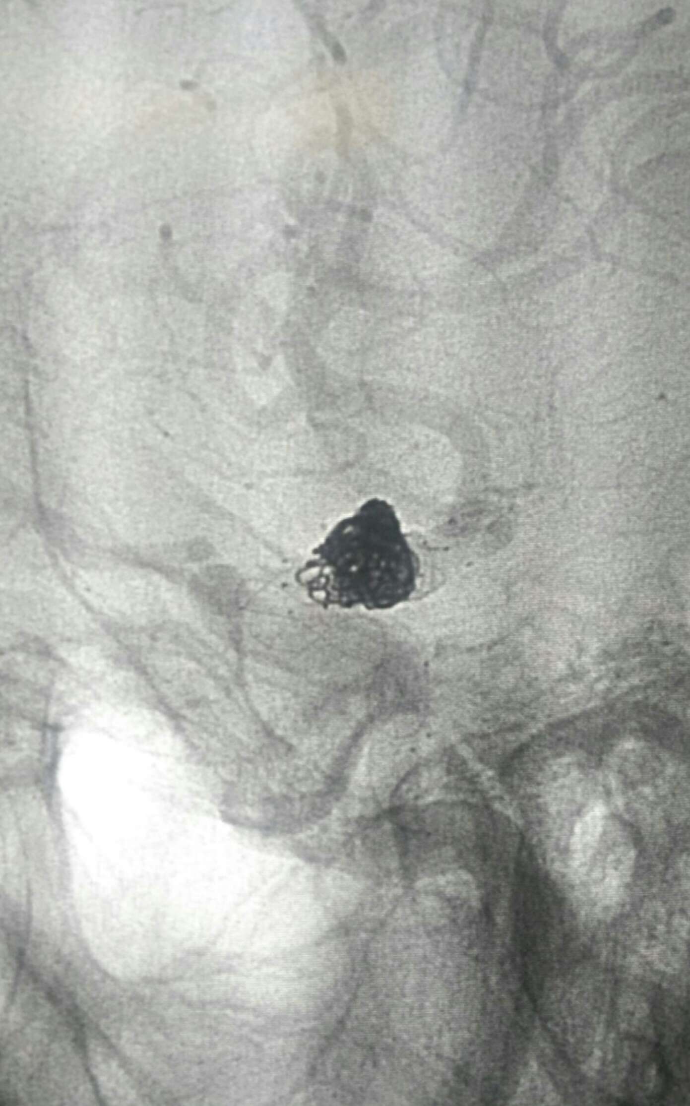
手术方案:双支架+弹簧圈+打补定致密栓塞

,短期复查拼人品!希望治愈,如果复发考虑血流导向装置或者闭塞颈内动脉!😡

栓塞工作角度33/-28影像满意

正位像栓塞影像满意

侧位像满意

顺利收工😂

故事还没结束,“不能高兴太早”!

患者30分钟后如期麻醉清醒拔管,语言流利,四肢活动正常。好消息传到导管室,小伙伴体内儿茶酚胺陡增,信心满满开始栓塞下一台。😃

五小时后患者双眼凝视左侧美护(提示左侧半球有缺血),护士观察鼾声不断,有躁动,唤之不应,右侧肢体失动。😢

急查头颅CT无出血,左侧侧裂区疑似血栓影,即刻阿替普酶(体重80公斤)注入观察5分钟无果。决定二入导管室造影取栓。😓

果不其然,动脉瘤栓塞部位急性血栓形成波及同侧大脑中动脉闭塞导致左侧半球急性缺血表现。

可见原双层支架打开良好

栓塞术前做过右侧颈动脉代偿试验见左侧代偿非常好,如果不是血栓波及到大脑中动脉,患者不但可能没有症状,而且局部血管闭塞治愈动脉瘤无复发之虞,真是无心插柳柳成荫啊!可惜全是柳絮👿

直接接触给4ml欣维宁(前面栓塞时已足量用过)无效,上solitaire6*30支架打开后血管复通但不畅。

观察5分钟后血管复闭,肿么办?硬着头皮拉栓有可能把原来支架和弹簧圈拉动引起动脉瘤破裂出血没有了未来。没有选择和退路,血管不通患者死亡或重残是明确的。💪

水面平静微微波,术者心率开始加快,没错~阵发性房颤!

小心翼翼拼人品拉出支架查血栓(略图)果然有料。血管通畅了!👏

50ml注射器抽吸血液180ml直到未再见白色血栓(略图),复造血管通畅良好。患者神志转清,双眼正视,但语言不能,右侧肢体可活动。子时已过,收工!

次日复查CT无出血,可见左侧内囊膝部小梗(缺血不到1小时啊!),真是后怕😣

祝愿康复顺利,好事多磨,复查无复发🙏

总结👀

1.血泡样动脉瘤目前仍然治疗很棘手

2.术中血栓事件防不胜防

3.超重体重更小心

4.术后严密观察

5.出现状况当机立断

6.规则是死的,人是活的!

7.诱发术者血压高,心率加快甚至房颤😂


患者次日神志清醒,右侧肢体肌力四级。失语。抓紧高压氧康复治疗!

术后20天复查造影动脉瘤栓塞良好无复发显影。目前四肢活动正常,不完全运动性失语,继续康复!

侧位

显示支架

复查3D

百花丛中有其身

满目绿色作陪衬

唯我独尊点点白

生于泥水不染尘


最新评论
发表你的评论
发表你的评论