2021年03月19日发布 | 7115阅读
脑血管-自发性颅内出血

神经内镜辅助丘脑出血清除术

王维

北京大学滨海医院

达人收藏

病史:男性,47岁,主因意识不清2小时余入院;



查体:T:39.4℃ P:125次/分 R:18次/分 BP:275/165mmHg 昏迷,刺痛不睁眼,不发声,右上肢稍屈曲,双侧瞳孔直径左:右=2.5:3mm,光反射稍迟钝,双眼左侧凝视,颈软,四肢肌力检查不合作,肌张力增高,双巴氏征(+);





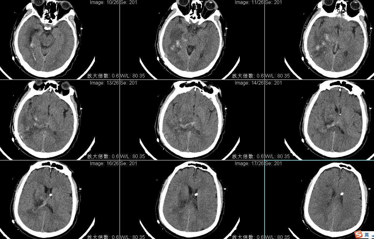
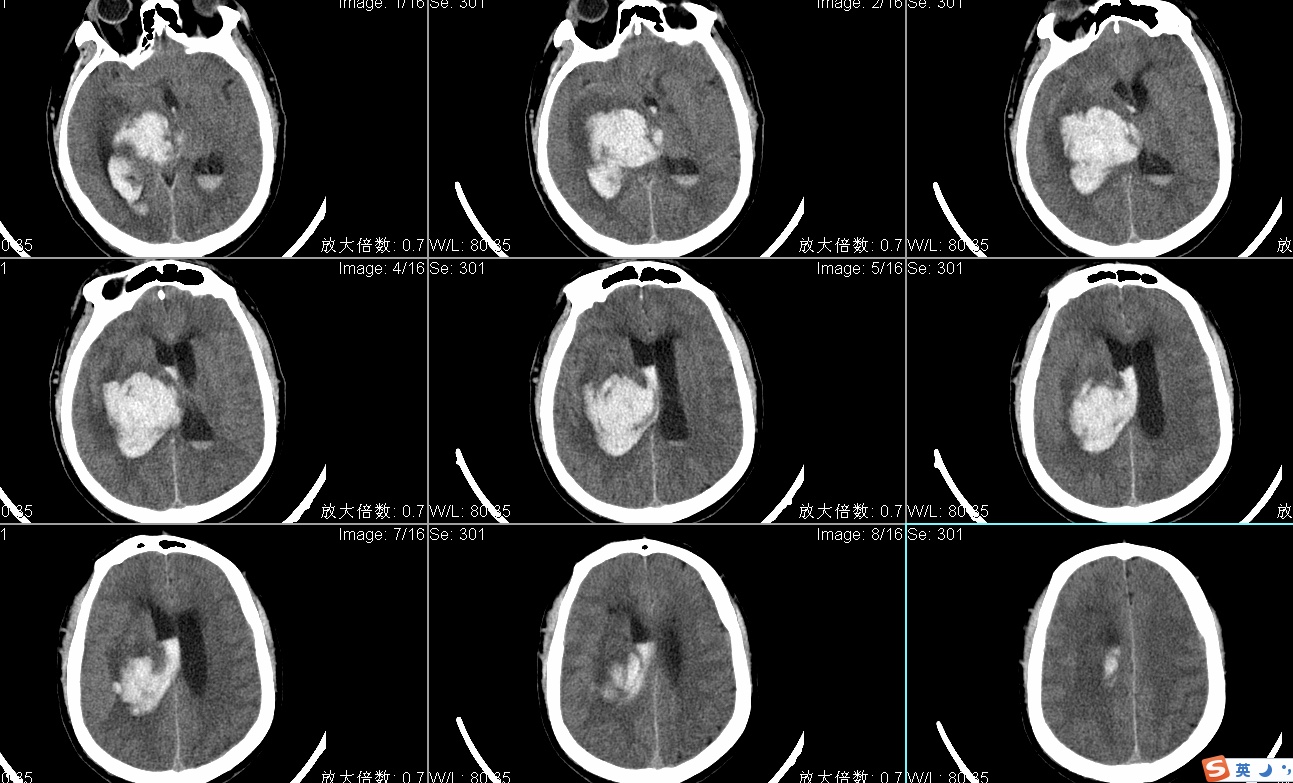
头CT显示右侧丘脑出血破入脑室多田公式计算出血量约50ml;




手术入路:神经内镜辅助右丘脑出血清除术。



最新评论
发表你的评论
发表你的评论