2021年03月14日发布 | 1665阅读
功能-疼痛

PBC治疗三叉神经痛一例

姜晓峰

中国科技大学附属第一医院安徽省立医院

达人收藏

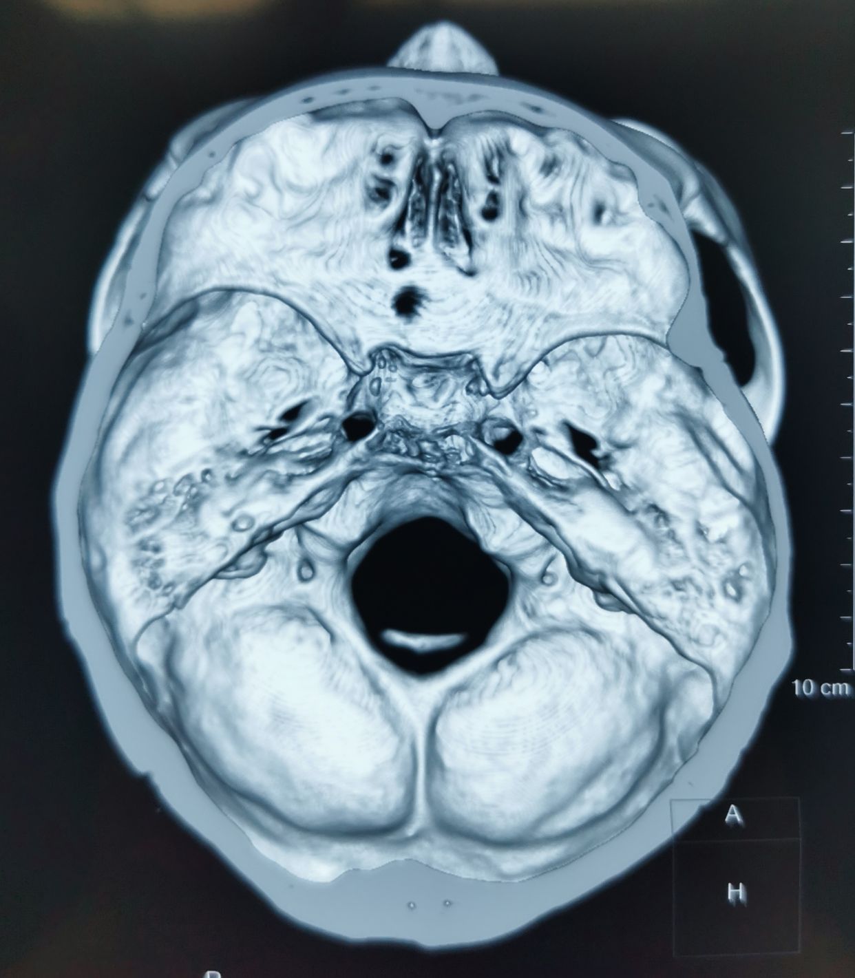
女性,66岁,左侧三叉神经痛

基础疾病多,无法MVD手术,选择PBC

左侧卵圆孔内侧狭小

穿刺针到此,无法进入,骨质完全遮挡

改为中入路

成功

术者:姜晓峰教授

中国科学技术大学附属第一医院(安徽省立医院)神经外科主任医师,教授。

安徽省学术和技术带头人。

安徽省医师协会神经修复学专业委员会主任委员、中国研究型医院学会神经外科学专业委员会委员兼颅神经疾患诊疗学组副组长、中国医药教育协会颅神经疾病互联网医疗培训基地委员会副主任委员、世界华人神经外科协会功能神经外科专业委员会常务委员、世界疼痛医师协会中国分会神经外科疼痛专业委员会委员、中国医药教育协会神经外科专业委员会委员、安徽省抗癌协会神经肿瘤专业委员会委员、安徽省中西医结合学会急救医学专业委员会常务委员。


专业特长:颅神经疾病的外科治疗、颅底肿瘤的外科治疗。

最新评论
发表你的评论
发表你的评论