2021年03月10日发布 | 1005阅读
功能-颅神经疾患

神经内镜下三叉神经痛微血管减压术

杜洪澎

滨州医学院附属医院

达人收藏

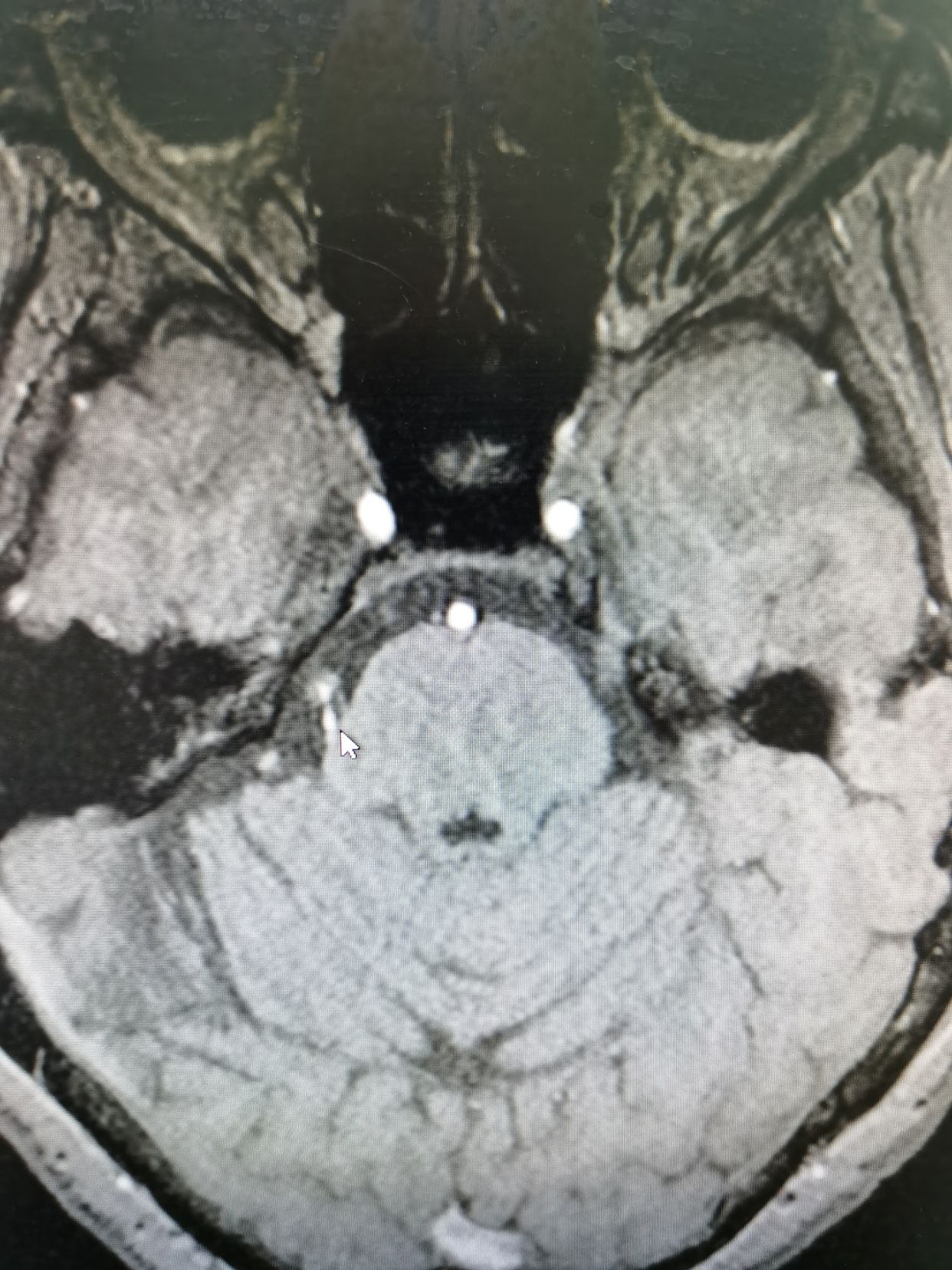
老年女性,右面部疼痛2年,鼻翼外侧为扳机点,目前口服卡马西平已经效果不好,于全麻下行神经内镜下微血管减压术。

窦后入路

骨窗约2cm

右侧SCA从腹侧压迫三叉神经

全程彻底减压

最新评论
发表你的评论
发表你的评论