首页
资讯
会议
病例
云课堂
全景手术
学术资源
投审稿
文章专栏
指南共识
精选编译
科室主页
评分工具
文献速览
招聘培训
藏书阁
话题圈子
临床招募
手术复盘
器械百科
产业对接
AI问答
亚专业
医药器械
更多
关于我们
搜索历史
清空
热门搜索
发布
平台广播
0
今日早读
0
赞和收藏
0
评论
0
新增粉丝
0
品牌消息
0
邀请回答
0
周刊
0
登录
EN
评论
3
4
分享至
微信扫码分享
2021年02月18日发布 | 310阅读
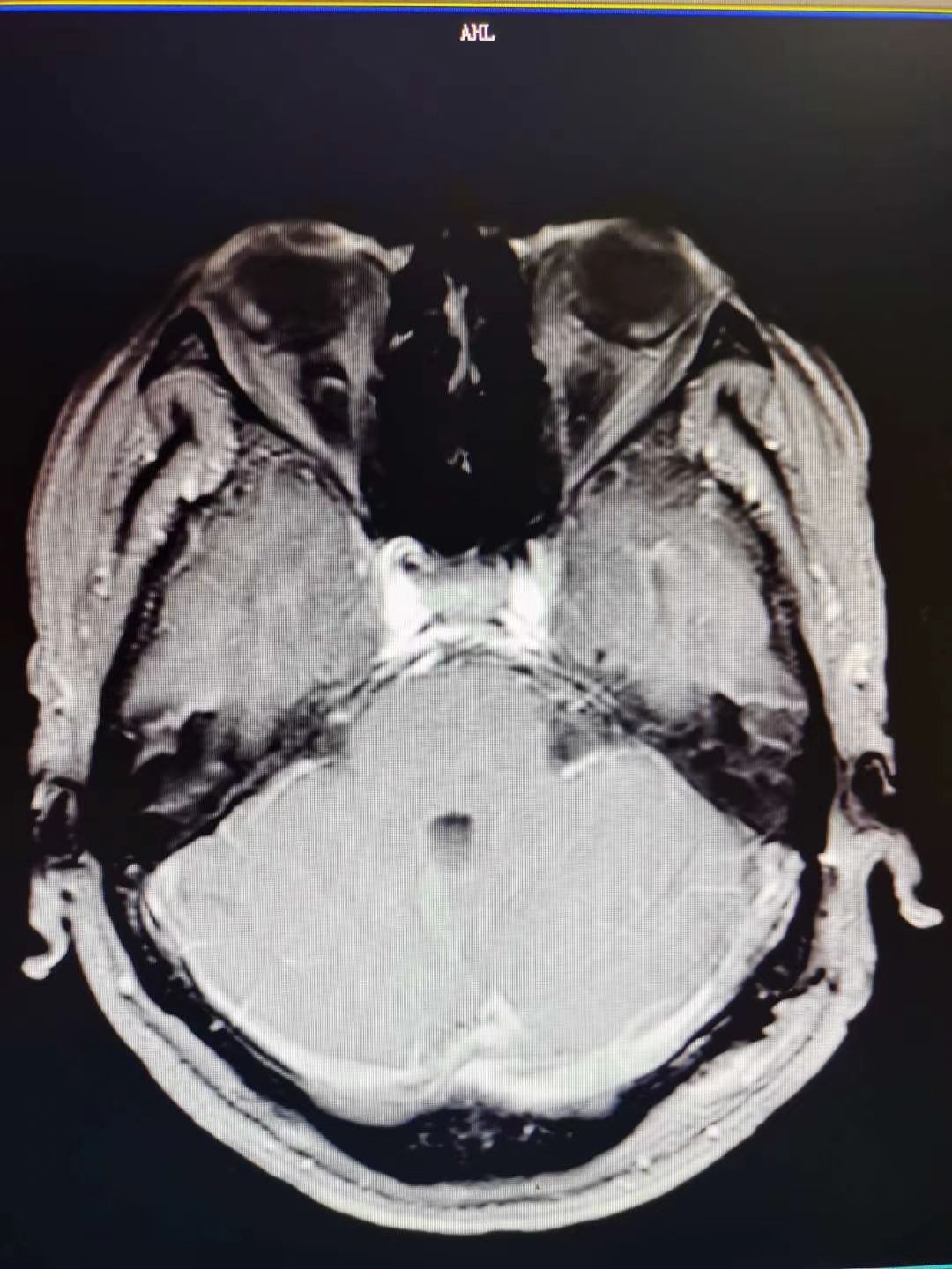
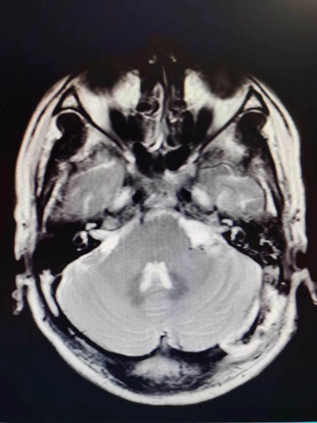
脑肿瘤-神经鞘瘤
听神经瘤1例
田春雷
宜昌市中心人民医院
9
发布
50
粉丝
0
获赞
个人主页
关注
田春雷
宜昌市中心人民医院
关注
达人收藏
达人收藏
钱诚
以下达人已收藏
查看更多
肿瘤全切,术后面神经功能保留完好
分享至:
微信扫码分享
评论
3
4
最新评论
登录
发表你的评论
登录
发表你的评论
关键词搜索
面神经
听神经瘤
脑医汇
App