2021年01月26日发布 | 924阅读
神经介入-AIS
神经内科-神经内科

左侧颈内动脉急性闭塞开通支架植入一例

张永森

河南医药大学第三附属医院

达人收藏

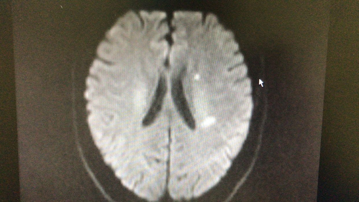
男性,70岁,头晕伴右侧肢体无力及言语不利4小时入院,入院后头颅CT排除脑出血,随行头颅核磁共振检查!

右侧大脑半球散在梗塞!

MRA示左侧颈内动脉开口重度狭窄!

左侧颈内动脉供血区显影差!

入院后先静脉溶栓,溶栓期间症状加重,右侧肌力持续下降,逐渐出现意识障碍!急诊造影显示左侧颈内动脉开口重度狭窄基础上急性闭塞!

微导丝轻松通过闭塞段,小球囊预扩!

上保护伞!

保护伞下球囊扩张支架植入!

血流恢复!

术后正位造影,颅内血管显影良好!

术后侧位造影!

最新评论
发表你的评论
发表你的评论
来自于专栏
相关临床评分小工具