患者,女,33岁,因“头颈部疼痛伴恶心呕吐11周余”入院,有高血压病史六年余,最高时230/120mmhg。2020.10.09激动后出现头颈部疼痛,伴恶心呕吐,呕吐物为胃内容物,否认肢体乏力,否认两便失禁,否认意识不清,2020.10.12平湖市第一人民医院查头颅CT提示“左侧基底节区点状出血,脑室系统少量积血,蛛网膜下腔出血”,查头颅CTA提示“前交通动脉瘤”,经予以积极对症治疗,恢复尚可,头痛基本缓解。目前恢复尚可,现为进一步诊治收入病房。
2021-01-07DSA
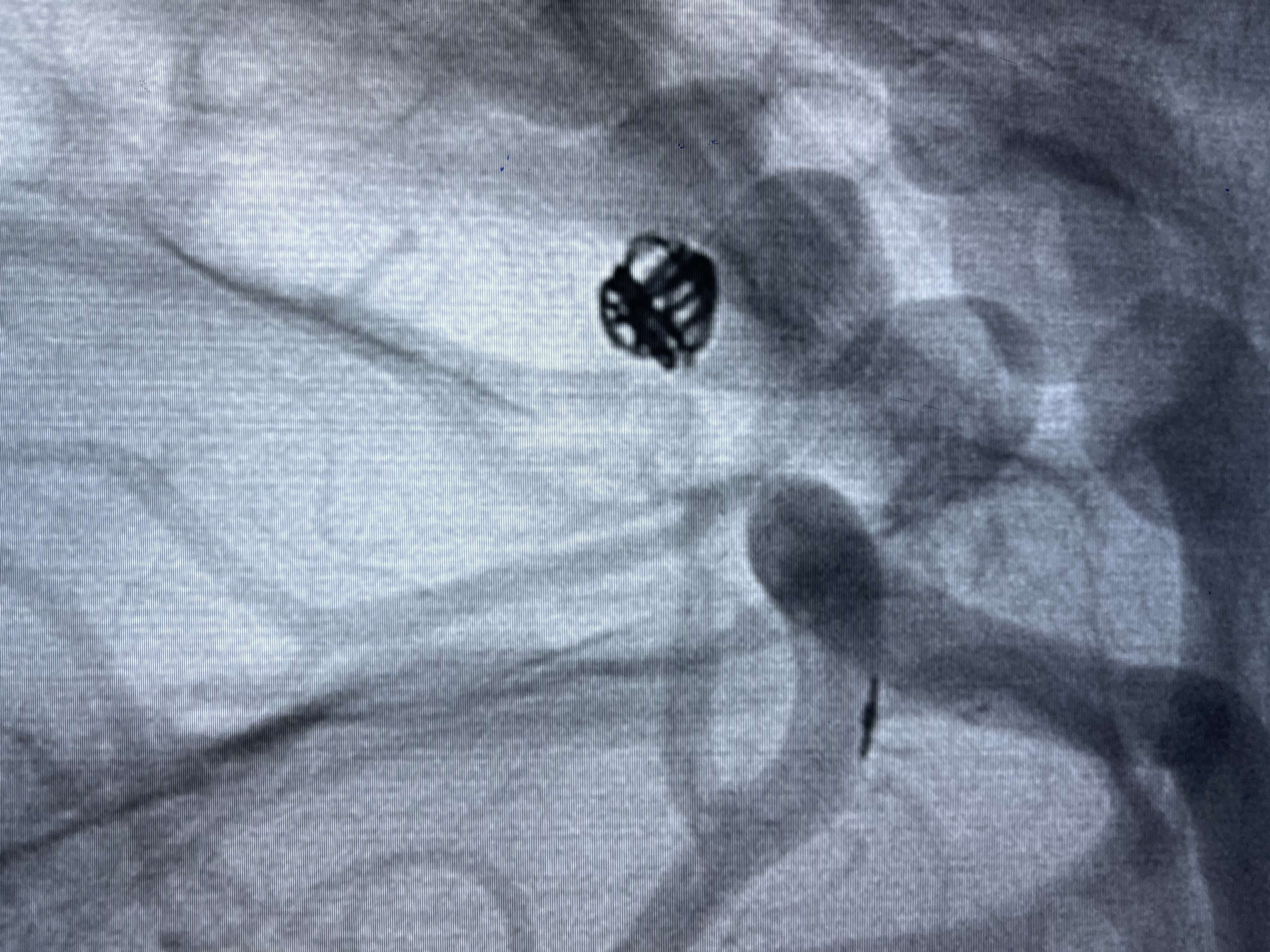
右侧前交通动脉瘤
箭头所示为左侧A2发出
2021-01-11全麻下双微导管栓塞
工作角度显示瘤颈
E10 45°角微导管塑形后轻松到位
5-15cm三维圈成篮:瘤颈部覆盖弹簧圈
3-6cm
2-6
2-6cm
微弹簧圈尾端弹出动脉瘤,栓塞微导管轻轻送入动脉瘤内
1-4cm
1-2cm
动脉瘤致密填塞
麻醉苏醒佳
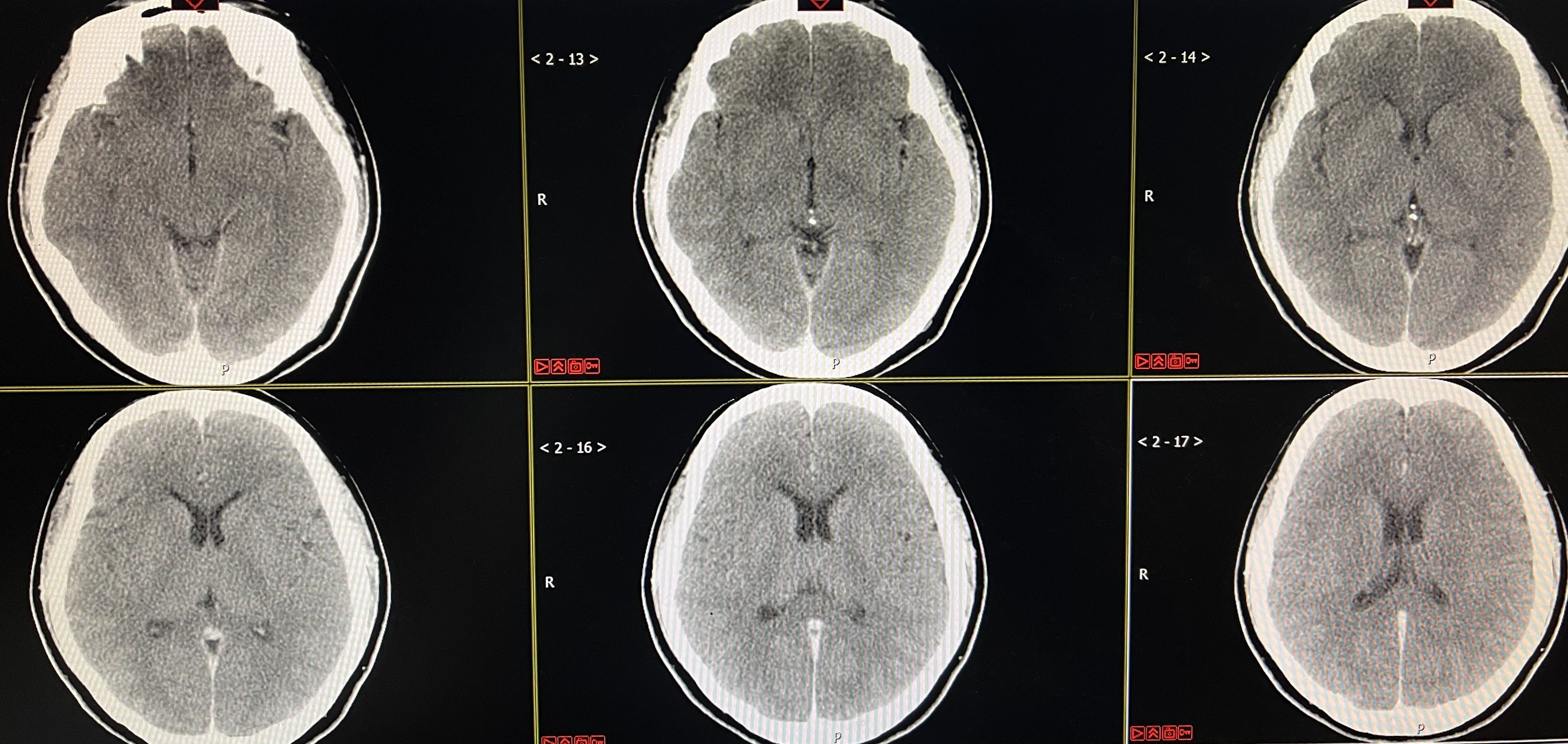
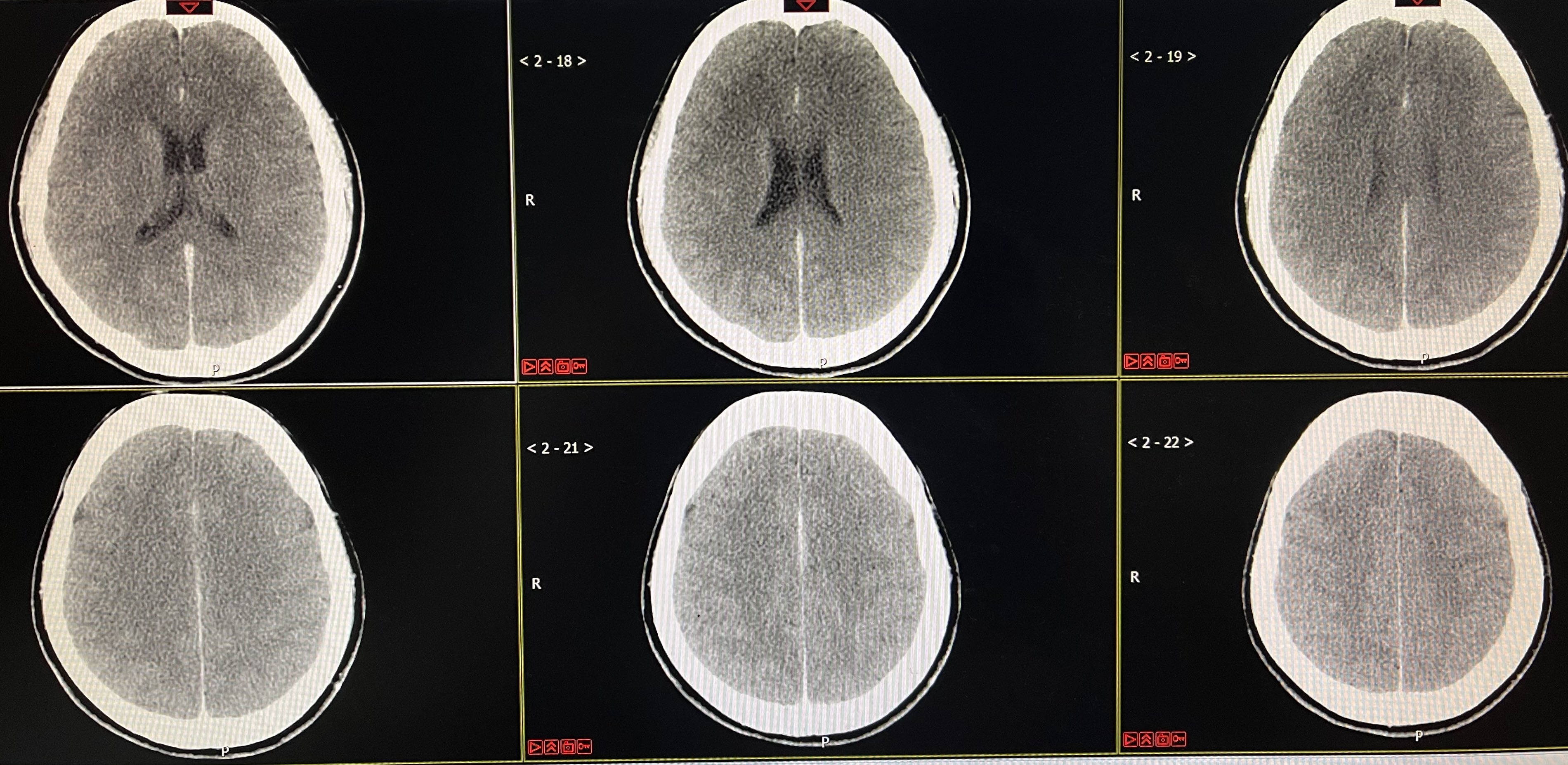
术后即刻CT
期待随访




