
前床突脑膜瘤基底可位于蝶骨大/小翼、海绵窦壁、前床突等脑膜结构,Al-Mefty认为前床突脑膜瘤可以根据其起源与前床突、视神经管和颈内动脉的关系分为三型。
前床突脑膜瘤的手术难点在于肿瘤对于前循环血管的包绕,肿瘤往内侧生长侵犯海绵窦及其与视神经、SOF的关系。手术的大致策略和顺序可以分为:1.处理蝶骨嵴、颞底、鞍结节的硬膜附着基底,定位视神经、ICA;2. 主要基底处理完毕后行肿瘤减压;3.逆行解剖MCA-ICA,分离保护好穿支血管;4. 最后处理前床突、视神经下方,海绵窦外侧的肿瘤。
手术病例回顾:
病例1:中年女性,48岁,因发作性头晕、左眼视物模糊半年入院
查体:神志清,对答可,双瞳等大同圆,对光反射正常,粗测视力 L 0.3/R 0.8 ,视野无缺损,无复视,眼球各方向活动正常,四肢肌力正常,深浅感觉正常,病理征(-)。
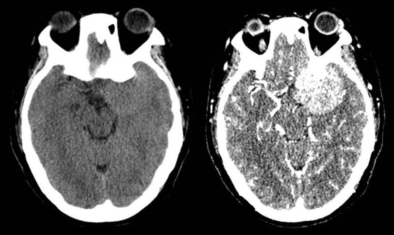
CT检查:

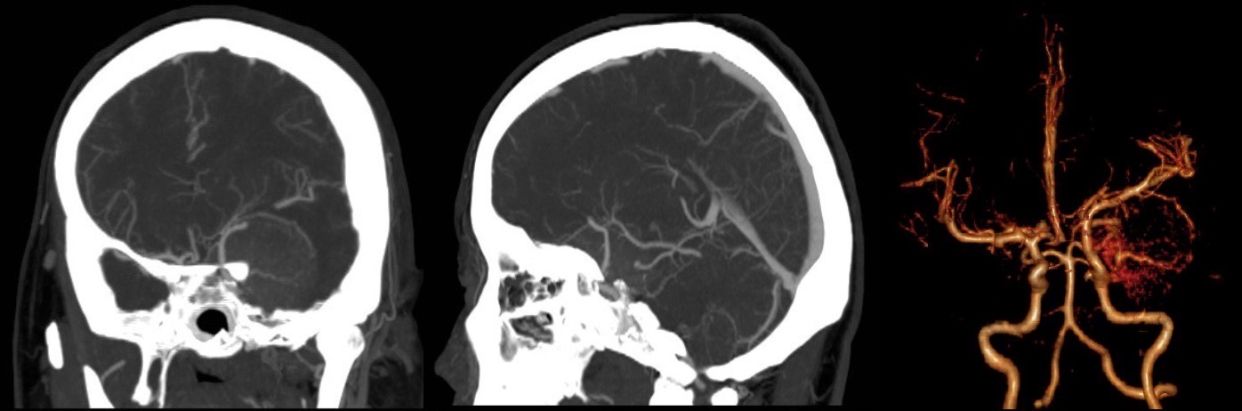
CTA检查:可见颈外动脉分支参与供血,颈内动脉颅内段及大脑中动脉分支受压移位。

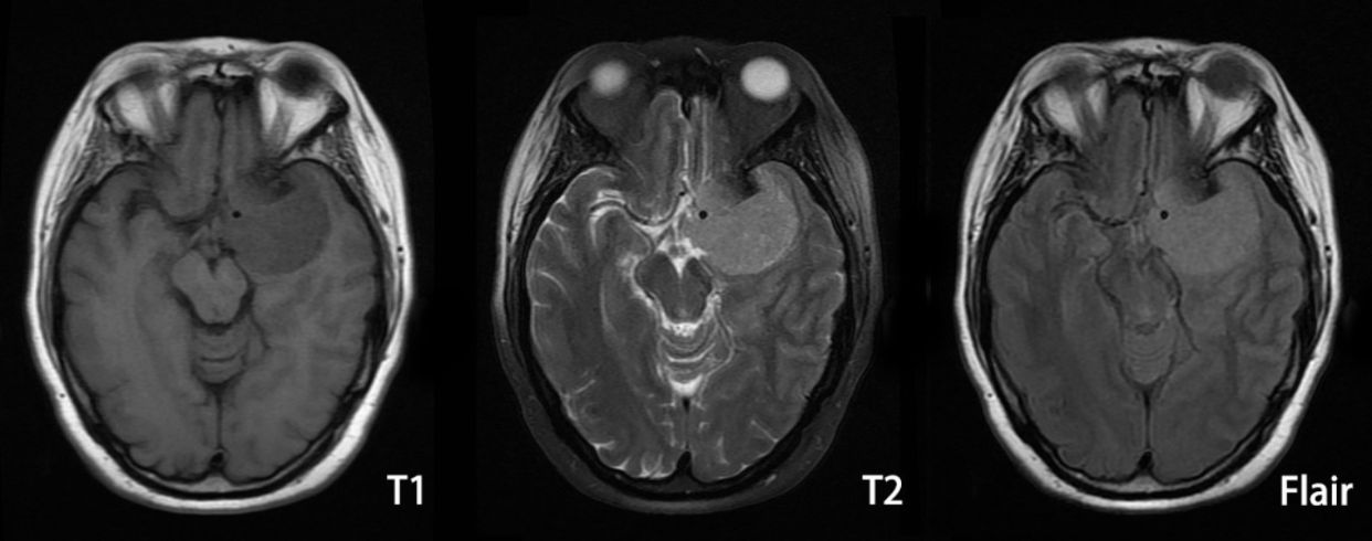
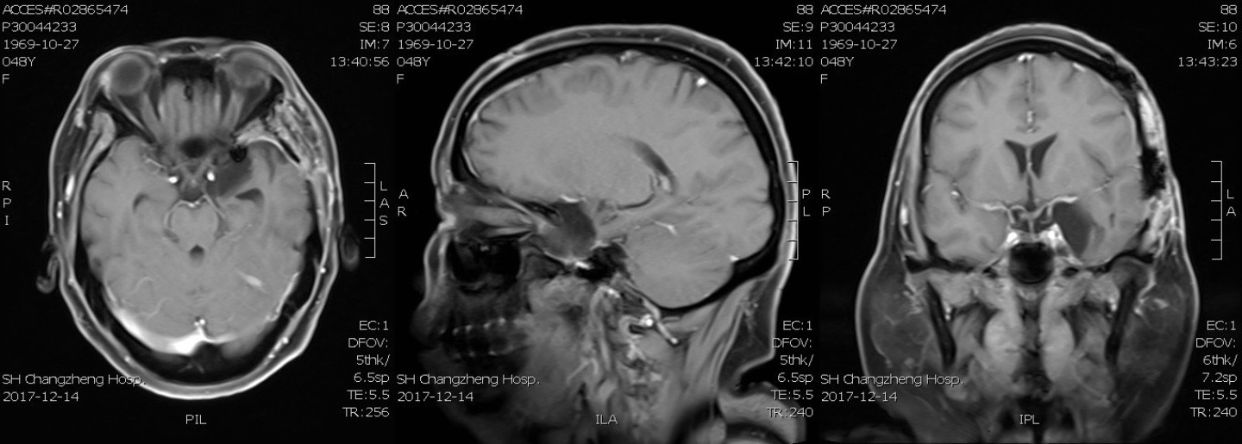
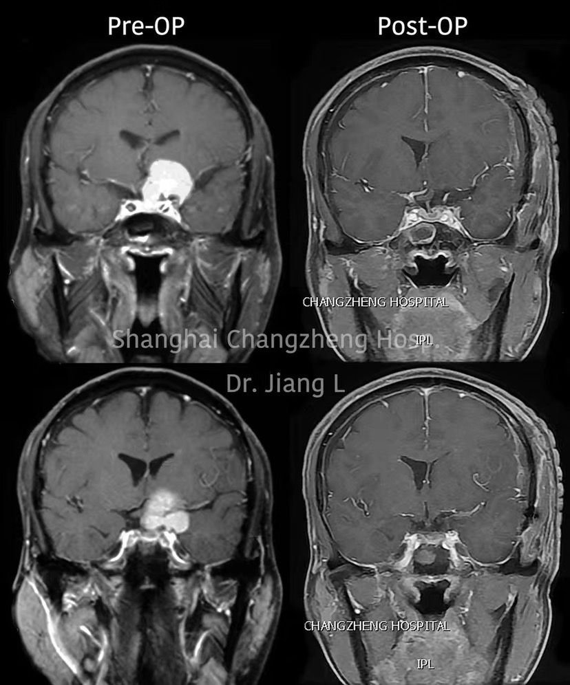
MRI检查:


手术体位及切口设计:

主要步骤手术视频:
术后MRI检查提示肿瘤全切。

术后随访:无新发神经功能障碍,左眼视力较术前好转(L 0.6/R 0.8)。

病例2:男性,55岁,因左眼视力进行性下降1年余入院。
查体:神清,对答可,粗测左眼视力全盲,右眼 0.8 ,左瞳2.5mm,直接对光反射消失,间接对光反射存在,右瞳直接对光反射存在,间接对光反射消失,眼球各方向活动正常,四肢肌力正常,深浅感觉正常,病理征(-)。
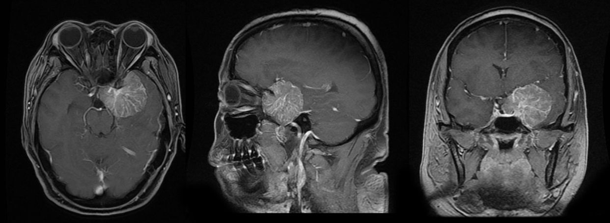
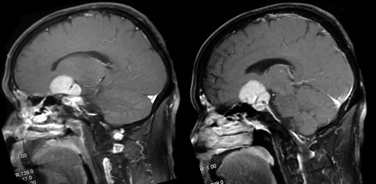
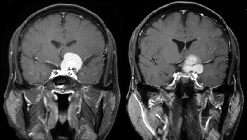
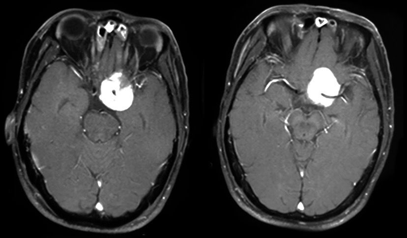
MRI检查:



CTA血管造影及三维重建:

手术主要步骤视频:
术后MRI复查:


