患者,男,74岁,患者以“被人发现神志不清伴右侧肢体活动不灵5小时”之代诉入院。
查体:体温:36.7℃,脉搏:71次/分,呼吸:21次/分钟,血压:150mmHg/76mmHg。GCS评分8分,神志浅昏迷。双侧瞳孔等大等圆,直径1.5mm,对光反射灵敏。右上肢肌力1级,右下肢肌力2级,肌张力均减低,左侧上下肢肌力5级,肌张力正常。右侧Barbinski征(+)。
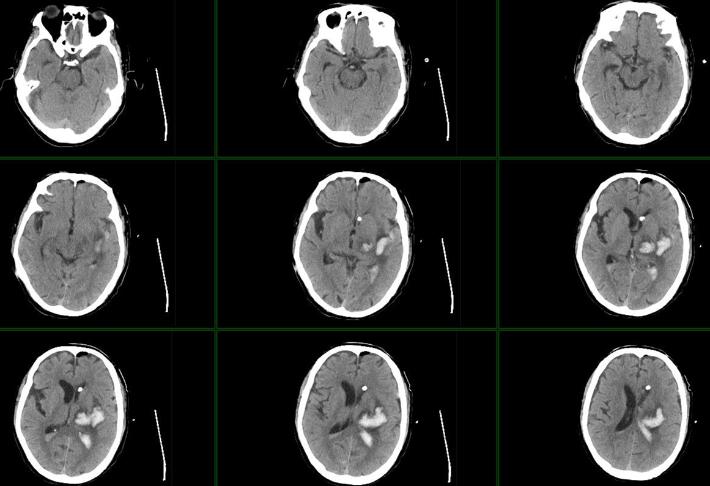
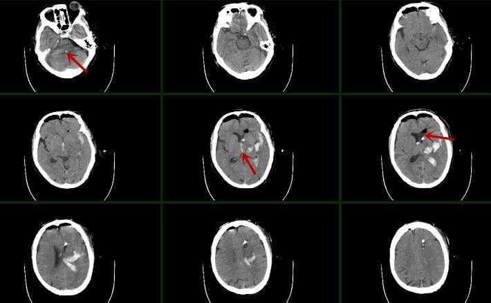
辅助检查:头颅CT(2020-11-10):左侧基底节区脑出血并破入丘脑及脑室系统。
入院诊断:
1.高血压脑出血
梗阻性脑积水?
2.高血压3级(极高危)
术前考虑血肿破入脑室系统(左侧脑室铸型,三脑室及四脑室铸型),考虑梗阻性脑积水发生可能性大。脑内血肿量少,不考虑手术清除。
急诊在全麻下行内镜下左侧脑室血肿清除术+脑室灌洗术+左侧脑室外引流术。
术后第一日,患者神志较前好转,GCS评分10分,神志昏睡。复查颅脑CT:左侧脑室血肿较前明显减少,三脑室、四脑室血肿密度减低。
术后持续脑室外引流1周,未行尿激酶注入,复查颅脑CT:左侧脑室血肿较前明显减少,三脑室、四脑室血肿消失。脑内血肿吸收期改变。
术后颅骨三维重建
手术视频




