病史摘要:
1、患者 男 13岁。
2、反复呕吐伴斜视、右侧肢体乏力半月。
3、查体:斜视,重影,右侧肢体肌力4级,病理征阴性。
4、当地医院头颅CT检查:左侧基底节巨大占位病灶。
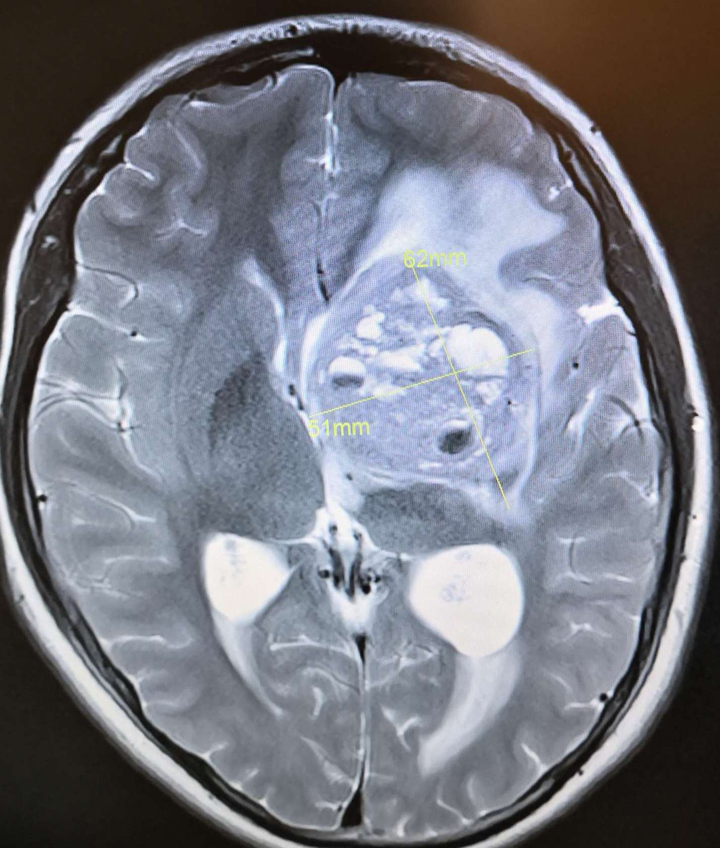
术前头颅MRI T2显示:左侧基底节巨大占位病灶(61*62mm),呈高、等、低混杂信号,脑室受压,中线移位明显。
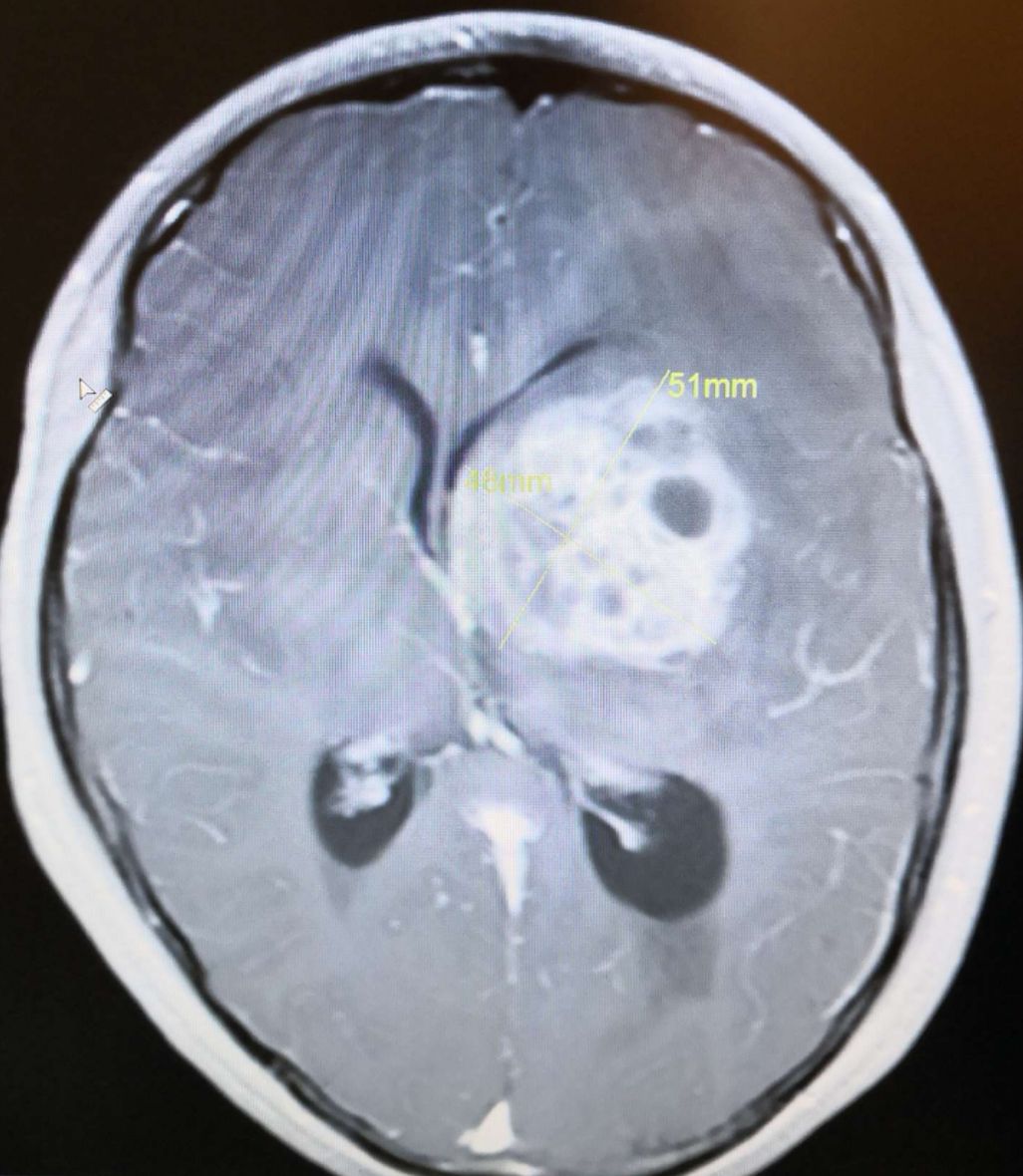
术前头颅MRI T1显示:左侧基底节巨大占位病灶(56*51mm),呈高、低、等混杂信号,脑室受压,中线移位明显。
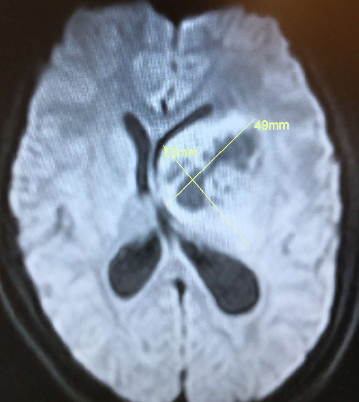
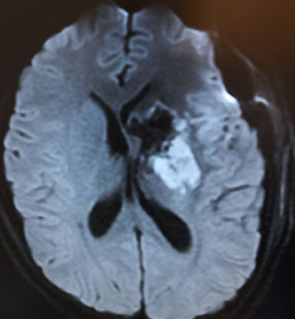
术前头颅MRI DWI显示:左侧基底节巨大占位病灶(49*53mm),呈高、低信号,脑室受压,中线移位明显。
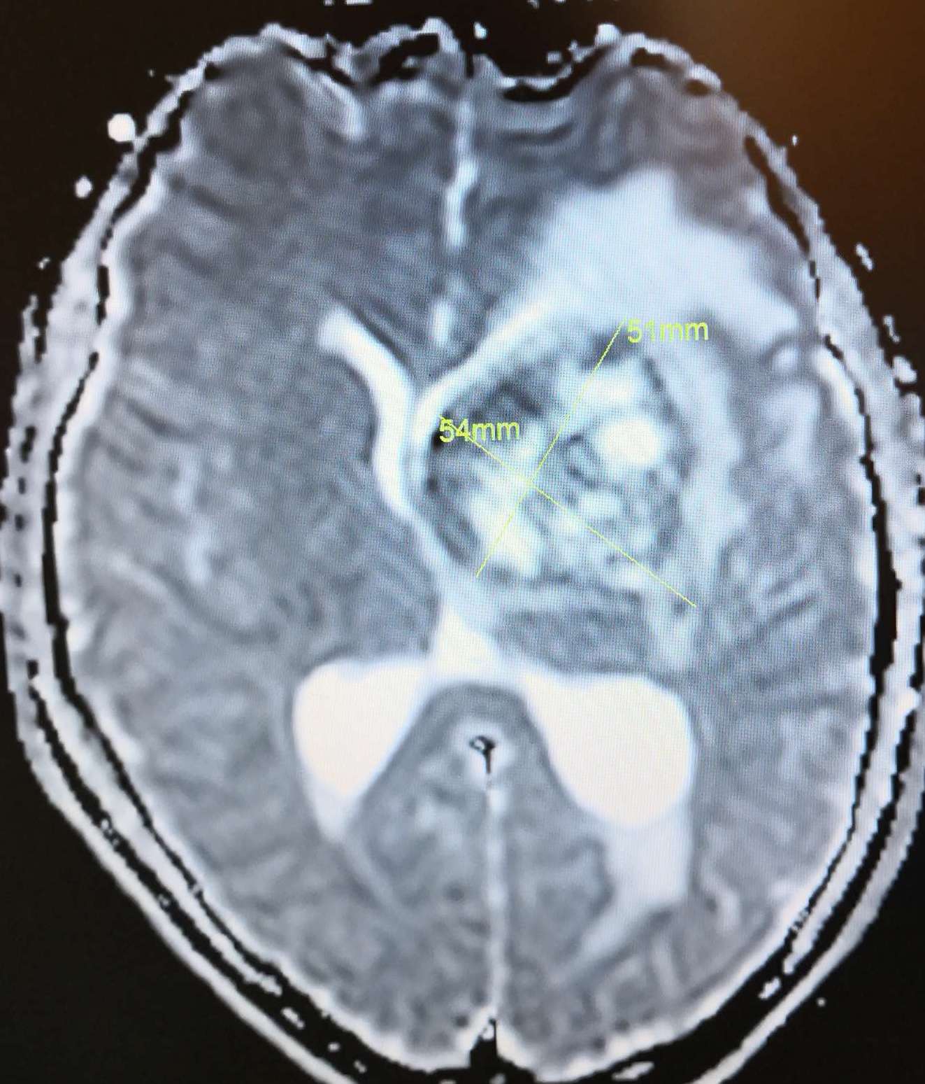
术前头颅MRI ADC显示:左侧基底节巨大占位病灶(51*54mm),呈高、低值,脑室受压,中线移位明显。
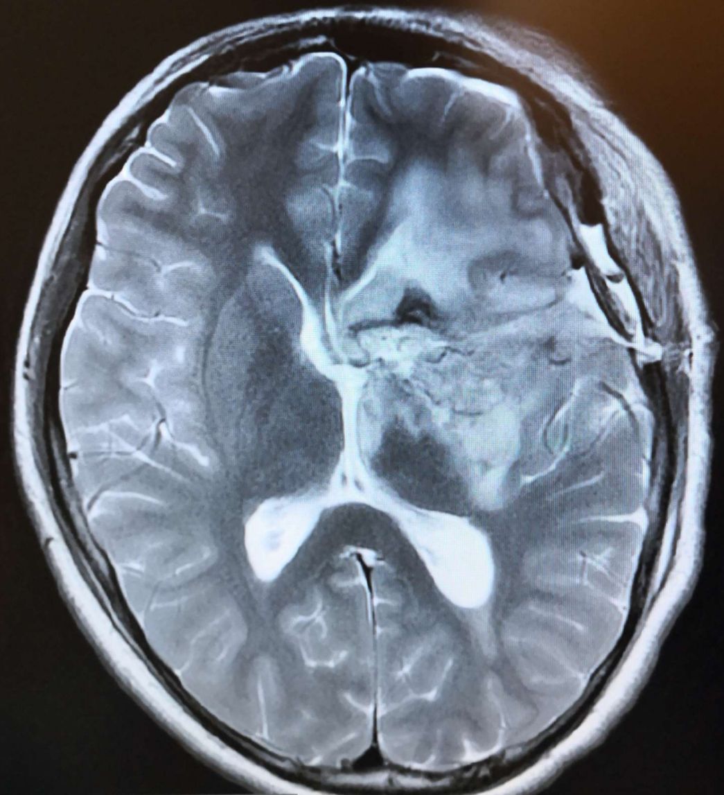
术前头颅MRI增强扫描显示:病灶强化明显,脑室受压,中线移位明显。
术前头颅MRI 增强扫描显示:病灶强化明显,脑室受压。
术前头颅MRI 增强扫描显示:病灶强化明显,脑室受压,中线移位明显。
治疗方案:
1、术前常规检查如:血PT、心电图等。
2、择期开颅肿瘤切除术。
3、术后严密监测生命体征、神经系统等变化。
4、根据病理学检查进行后续治疗。
病理报告示:丘脑生殖细胞瘤 伴出血,考虑精源细胞瘤。
术后头颅MRIT2显示:左侧基底节巨大病灶已经切除,为高、等信号的术野,中线居中,脑室轻度受压。
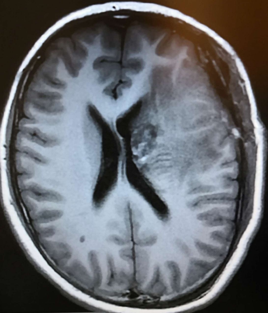
术后头颅MRIT1显示:左侧基底节巨大病灶已经切除,为低、等信号的术野,中线居中,脑室轻度受压。
术后头颅MRI DWI显示:左侧基底节巨大病灶已经切除,为高、低信号的术野,中线居中,脑室轻度受压。
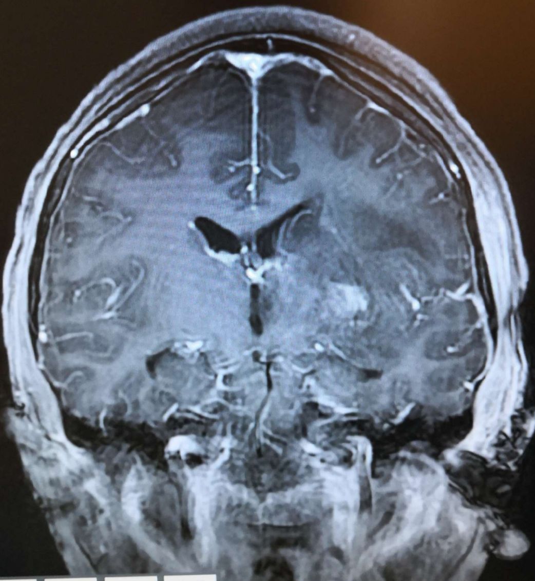
术后头颅MRI增强显示:左侧基底节未见强化病灶,中线居中,脑室轻度受压。
术后头颅MRI 增强扫描显示:基底节未见强化病灶,脑室轻度受压,中线恢复正常。
预后:
1、术后病理明确,立即予放化疗。
2、术后一周患儿生活自理,肢体肌力恢复正常,复视消失。
3、术后两月患儿正常上学,无任何神经功能障碍。
讨论:
颅内原发生殖细胞瘤好发于三室后松果体区和鞍区,而发生于基底节和丘脑区者少见。
一般情况:
发生率和地域差别在西方,生殖细胞肿瘤占所有手术切除肿瘤的0.5%~0.7%,而在日本占到总数的2.3%,其中65%是生殖细胞瘤。位于基底节和丘脑的生殖细胞瘤在东南亚和日本发病率比美国和欧洲高,占4%一20%[1、5】个别高达37.5%[6]。
年龄:
绝大多数为儿童;平均年龄7—16.6岁[2—4】。成年人患者少见[4】。本例患者13岁。
性别:
基本上只发生在男性,女性少见。Nagata回顾1998年以前的文献其中仅报告了7例女性病人【3】,Tarnaki报告男:女=20:119]。该患者为男性。
病理:
比其它部位的生殖细胞瘤的体积大,大于4cm者占6/10,这可能和周围神经核团有关[5]。细胞成分与颅内其它部位的生殖细胞瘤相同,含有两种细胞。大细胞类似上皮细胞,小细胞为淋巴胞[3,8】,瘤壁AFP,HCG可能为阴性【3】,也可能为阳性。该患者最大经6.2cm。
临床表现:
症状和体征早期表现为病变对侧肢体的无力,常仅为上肢或下肢,之后可以逐渐发展为偏身肌力下降。病程2个月~2年[1.3],出现头疼恶心呕吐者少见,一般到晚期才会出现颅高压的症状[1,7]。部分病人伴有感觉下降[2】。此外部分病人以智力发育迟滞,认知能力下降,语言障碍和构音困难等为首发或伴随症状,有时甚至是唯一症状,而此时在平扫CT上可能无明显改变[2】。个别病人还出现不自主运动,小脑神经机能联系不能(crosscere—bellar diaschisis)和强迫症【2】,局限性癫痫[2]。单纯该部位病变的病人中没有性早熟和多饮多尿现象。本例早期临床表现为肢体肌力下降,渐渐发展到记忆力下降,复视。
神经影像学:
MRI对于该部位生殖细胞瘤的诊断和鉴别诊断有特殊的价值:一般在MR上Tl加权像为长或稍短信号,T2加权像为长或混杂信号。没有囊变时在MRI为轻到中度强化。早期无明显的占位征象,随病程发展逐渐出现占位表现【2】。病变可以同时累及基底节和丘脑及其周围的结构如尾状核,个别还可以侵犯第三脑室和中脑【1】。一般病灶周围没有或仅有轻度水肿,这也是和胶质瘤或淋巴瘤等其它病变不同【3】。囊变或钙化:比较常见,Soejima报告的6例病变全部有囊变,其中5例有钙化【1】,Higano报告6侧中5例有囊变,5例钙化。Aoyama总结手术和Cr发现基底节生殖细胞肿瘤57%有囊变,Yamaha认为在病变的相对早期存在囊变或钙化[7];部分病变可能会存在出血。该病例MRI显示:强化明显,有囊变。
其它检查脑脊液和血清HCG,AFP,CEA多为正常【1】,但是也有上升的报告【4】,尤其是含有合体滋养层成分的肿瘤囊液中HCG可能为阳性【1,8】,但是瘤壁AFP,HCG和CEA可能为阴性【3】。由于术前病情重,考虑不周,实验室检查不足。
治疗和预后:
放疗基底节和丘脑生殖细胞瘤同颅内其它部位的生殖细胞瘤一样,对放疗十分敏感。放疗的范围根据不同的情况采用全脑,肿瘤+全脑,全脑脊髓轴等[2-4】;放疗剂量也不相同。如Huh采用全脑+瘤床+全脊髓,平均剂量:全脑37Gy(30.6—42);瘤床52Gy(46.5—55.8);全脊髓24.8Gy(13.1—30)【4】。Huh和Shirato报告放疗后5年和10年生存率分为96.9,96.9%一100%【5,6】。Moon认为影响放疗预后的因素为病变有无囊变;实质性病变9l%预后良好,而有囊变者预后良好的为3l%;而且基底节区生殖细胞瘤放疗后常见有残留,这与该部位病变囊变多可能有关,这些残留肿瘤在放疗后6—12个月才逐渐消失【9]。放疗后肿瘤局部成为低密度区[4,1】。虽然Huh长期随访认为没有严重神经功能损害【4】,但是Shirato报告的9例病人中1例出现痴呆,5例病人有严重的语言障碍,还有学者认为放疗对智力和发育影响大,而并不建议首选放疗【11】。
化疗:
化疗是放疗有益的补充,可以减少放疗的剂量【6】。化疗常采用2_3种药物联合应用,常用的化疗药物为顺铂(cisphtin)、卡铂(carboplatinum)、依托泊甙(etoposide)、长春碱(vinblastine)和博来霉素(bleomycin)等[1,】。Tanabe认为放疗对智力和发育影响大,而生殖细胞肿瘤对化疗(顺铂,依托泊甙)比较敏感。肿瘤手术部分切除后仅行化疗后发现肿瘤消失【2】。放疗后使用化疗或单独使用化疗皆有成功的报告【1】。但是Merchant按照第一届国际生殖细胞肿瘤化疗方案对45例颅内生殖细胞瘤病人采用化疗,其中22例(49%)复发;作者认为化疗效果并不确定;此外还发现病人在复发后不愿意再行治疗,而且对继续治疗很恐惧。
手术:
立体定向活检和手术能立体定向活检和手术能明确病理诊断,对进一步治疗有重要的指导意义。但是由于手术可能加重偏瘫,而生殖细胞瘤对放疗和化疗又十分敏感,因此对是否采用手术一般都很慎重,即使行手术也常为活检或部分切除,手术入路常采用额颞入路【2,4】。我们采用开颅经侧裂入路行肿瘤切除。
复发和转移:
中枢神经系统原发性生殖细胞瘤对放疗十分敏感,5年生存率75%一100%,但是仍有部分病例复发【2,4,5】。Sano研究了139例颅内生殖细胞肿瘤的细胞成分,发现88例含有生殖细胞瘤,其余40例含有其它成分。在45例混合性肿瘤中,75.6%含有生殖细胞瘤成分,73.3%含有畸胎瘤成分[2】。如果肿瘤细胞并不是单一的生殖细胞瘤细胞,而是混有其它对放疗的敏感性不同的肿瘤细胞,这可能会导致放疗后肿瘤的复发【5、7]。Ono将放疗后复发分为四种形式,位于基底节者可见三种形式,即①复发位于放疗区域外,②复发为放疗区域内的良性畸胎瘤,③位于放疗区域内的外胚层肿瘤复发。Moon发现放疗后的残留和肿瘤复发有时很难鉴别;但是若能确定为单纯的生殖细胞瘤的话,残留部分会逐渐消失。虽然该部位肿瘤体积大,容易导致肿瘤残留和脑脊液转移的比例比其它部位高,但是在统计学上并没有显著性差异。
鉴别诊断:
发生于基底节和丘脑的肿瘤中以胶质瘤、淋巴瘤最常见,但可以通过病程的发展,病变周围水肿,以及肿瘤标志物等进行鉴别。此外当病变在MR的T2像上呈“葱皮样”改变,而且周边有低信号环时还要和海绵状血管瘤鉴别。
浙江省人民医院 神经外科
参考文献:
1、Aoyama I,Kondo A,Ogama H,et al.Germinoma in siblings:case reports.Surg Neurol,1994,41(4):313-317
2、Liu E,Robertson RL,du plessis A, et al.Basal ganglia germinoma with progressive cerebral hemiatrophy. Pediatric Neurology1999;20(4):312-314
3、Nagata K, Nikaido Y,Yuasa T,et al.Germinoma causing wallerian degeneration. Case report and review of the literature.J Neurosurg,1998,88(1):126-128
4、huh SJ,Kim IH,HA SW ,et al.Radiotherapy of germinomas involving the basal ganglia and thalamus.Radiotherapy and Oncology,1992,25;213-215
5、kamastsu Y,Nanushima K,Kobayashi E,et al. CT and MR of germinoma in the basal ganglia。Child Nerv Syst.1990,6910:3-7
6、Higano S,Takahashi S,Kurihara N,et al.Supratentorial primary intraaxial tumors in children.MR and CT uation.Acta Radiologica,1997,38(6):945-952
7、Chik K,li C,Shing KH,Han MH,et al,Intracranial geminomas:correlation of imaging fingdings with tumor respoonse to radiadtion therapy. Am J Roentgenol,199,172(3):713-716
8、Merchant TE,Davis BJ,Sheldon JM,et al.Radiation therapy for relapsed CNS germinoma afert primary chemotherapy.J Clin Oncol.1998;6(1):2034-209




