
•患者2019-3-15日无明显诱因出现左侧肢体麻木无力,3-19当地医院MR检查发现右侧分水岭多发急性脑梗死,保守治疗后症状好转,4-27当地医院行头颅CTA发现右侧大脑中动脉M1段重度狭窄,为进一步治疗入我院。
•PE:左侧肢体肌力5-级,余查体正常
•PH:高脂血症;肺气肿
手术前检查:

2019-5-15 CTA提示右侧MCA-M1段重度狭窄,狭窄远端近分叉部血管略有扩张

CTP提示Tmax>6s 19ml

血管造影显示右侧MCA重度狭窄,近端血管直径3mm,紧邻狭窄远端 2.8mm,远端近分叉部直径3.8mm

在放大的血管造影上看,可见外侧豆纹动脉在远端紧邻狭窄部位发出

由于担心球囊扩张后的雪犁效应,影响豆纹动脉的通畅性,选择比较保守的gateway球囊 2.75*15进行扩张

植入Neuroform EZ 4.5/20支架,残余狭窄约20%;术后患者恢复良好出院。继续抗血小板聚集及他汀类药物调脂治疗

患者术后4月(2019-9)出现左侧肢体乏力,2019-10-12外院CTA提示:支架植入术后狭窄,再次来院治疗

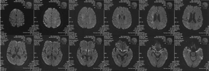
复查CT灌注,可见MCA供血区域远端血流较术前明显变差

DW-MR(2019-10-30)检查提示分水岭梗死

DSA复查(2019-10-31)提示严重支架内狭窄,豆纹动脉及早期颞支动脉依然保持通畅

Gateway 2.5/15球囊预扩 6atm;Sequent please 2.5/15 5 atm药物球囊扩张成形

球囊扩张后造影,术后患者症状明显改善

2020年9月起,患者自诉头晕、偶有左侧肢体乏力,复发CTA(2020-10-25)提示MCA无明显再狭窄,与1年前比较无变化

DSA检查与2019-10比较无明显变化

颅内动脉粥样硬化狭窄血管成形术——支架内再狭窄的危险?
血管成形术和支架置入术的目的是恢复狭窄动脉的最佳血流。自从引入这种非手术技术以来,ISR现象一直阻碍了其在冠状动脉、外周动脉和颅内动脉中的长期疗效。相关文献报道较多,但不同文献结果不太一致。对于颅内血管,金属裸支架的ISR率可达32.4%。在SAMMPRIS试验的事后分析中,症状性ISR的发生率逐年增加,从9.6%增加到14.0%,占非手术相关性脑梗死的绝大部分。最新一项关于症状性颅内动脉粥样硬化狭窄支架后ISR的荟萃分析,总共纳入51项研究,涉及5043例患者。虽然多数研究结果的异质性很高,但该荟萃分析显示:合并支架内再狭窄的发生率为14.8%(95%CI,11.9%-17.9%)。在支架内再狭窄的病变中,有28.8%导致了相关的神经系统症状(95%CI,22.0%-36.0%)。与亚洲(13.6%; 95%CI,10.3%-17.2%)和其他地区作为整体(7.6%; 95%CI,1.1%-18.1%)相比,来自美国的文献报道支架内再狭窄率更高(27.0%; 95%CI,20.6%-33.9%; P <0.01)。多元回归分析显示,患者年龄越小,ISR发生率越高(P = 0.019);而椎基底动脉交界处位置(P =0 .010)和残留残余狭窄低(P =0.018)是症状性ISR的两个独立危险因素。【Incidence and Risk Factors of In-Stent Restenosis for Symptomatic Intracranial Atherosclerotic Stenosis: A Systematic Review and Meta-Analysis. AJNR Am J Neuroradiol. 2020 08; 41 (8), 1447-1452.】
残余狭窄与支架内再狭窄的相关性:
一些研究表明,较大的残余狭窄可能是支架置入后再狭窄的预测因素,特别是当残余狭窄>30%的情况下。本例患者因为紧邻狭窄远端发出豆纹动脉,基于对球囊扩张后雪犁效应的担心,我们选择小球囊进行非充分的扩张,希望能够很好平衡血流改善与分支血管保护的问题。在上述ISR荟萃分析(AJNR 2020)中,纳入38篇文献中36篇(94.7%)报告残余狭窄<30%。但回归分析却显示较低残余狭窄可导致较高的ISR。这一结果令人惊讶,但它可能暗示,更积极地治疗病变不会增加更多的好处。当残余狭窄<30%时,较低的残余狭窄可能表明在手术过程中血管内皮损伤更多,这可能导致症状性ISR的风险更高。
药物涂层球囊在ICAD治疗中的应用:
介入技术与材料的发展,药物洗脱支架(DES)和药物涂层球囊(DCB)应运而生,由于具有抗增殖药物涂层特性,已被证实DCB和DES均能有效抑制内膜增生,降低再狭窄的风险;特别是在冠状动脉和外周血管的经验中也证实了DCB和DES的有效性。对于一些高危患者而言,DCB可能更优于DES。关于DCB在ICAD治疗中的应用,这两年也开始有文献报道,并比较其与支架成形术的差异。
1)Gruber等在JNIS报道了10例应用Sequet Please NEO药物球囊治疗ICAD病例(10.1136/neurintsurg-2018-014378),尽管术后即刻残余狭窄较高(50%,IQR 45-53%),但随访3个月没有再狭窄发生。
2)Gruber等对比Neuro Elutax SV(Elutax DEB)与Wingspan / Gateway支架系统治疗ICAD结果,采用单中心开放式标记的回顾性队列研究对来自瑞士三级卒中中心的19例症状性ICAD重度狭窄治疗,8例患者(42%)接受了Elutax DEB。 Wingspan支架治疗患者中位临床随访时间为10个月,Elutax DEB为9.5个月(P = 0.36)。在临床基线特征方面未发现差异,Wingspan组和Elutax DEB组中位狭窄程度分别为80%和81%(P = 0.87)。Elutax DEB的复合终点``缺血性再发和/或再狭窄''明显低于Wingspan支架组(13%vs 64%; P = 0.03)。【10.1136/neurintsurg-2017-013699】
3)山东千佛山医院韩巨教授报告自2016年1月至2019年1月期间,42例患者接受DCB治疗,而73例接受非DCB治疗。采用倾向性匹配分析的方法,选取38对患者进行分析。血管造影随访时间185±33d。两组平均狭窄程度分别为0[0%-20.0%]与15.0%[0%-62.5%],p=0.005。DCB组ISR发生率5.3% [2/38]显著低于非DCB组的34.2%[13/38],p=0.003。围手术期并发症(2.6%vs10.5%,p=0.375)、复发性缺组血事件(2.6%比13.2%,p=0.219)和症状性再狭窄(2.6%对10.5%,p=0.375),均可显示低于非DCB治疗组,但在两组间差异无统计学意义(可能与样本量偏小有关)。【Drug-Coated Balloon Dilation ComparedWith Conventional Stenting Angioplasty for Intracranial Atherosclerotic Disease. Neurosurgery,DOI:10.1093/neuros/nyaa191】

残余狭窄与支架内再狭窄的相关性:
ISR的处理往往是非常困难和具有挑战的。无症状性ISR可以考虑继续强化他汀、危险因素控制以及抗血小板聚集治疗等。但对于症状性ISR治疗,再支架或常规的球囊成形术都可能存在再狭窄的可能。DCB的应用从理论上既可避免再支架植入,又可发挥抗增殖药物的作用,防止再狭窄的发生;遗憾的是目前还没有专用的颅内DCB球囊。2011年,Zsolt Vajda等最早报道神经系统ISR的DCB治疗,常规球囊治疗ISR后的再狭窄率为50%,而应用DCB治疗后将为9%。但8%的患者DCB球囊无法通过ISR病变部位。这一结果也鼓励不少学者开始探索这一领域的工作。郑大一附院管生教授团队于2020年8月在Frontier In Neurology发表应用DCB治疗11例症状性ISR患者,病变部位M1(1例)、ICA颅内段(4例)和椎动脉V4段(6例),除1例发生无症状夹层外,所有患者均获得成功治疗,术后未再发作TIA或卒中。但长期疗效还有待随访。【Feasibility and Safety of Paclitaxel-Coated Balloon Angioplasty for the Treatment of Intracranial Symptomatic In-Stent Restenosis. https://doi.org/10.3389/fneur.2020.00774】

道阻且长,行则将至——ICAD的治疗充满挑战和机遇