病史简介:
患儿,男,8岁,因“发现性征发育2个月”入院。患儿父母发现患儿近2个月有外生殖器官发育及异常勃起,阴毛生长、变声等性早熟表现,于当地医院就诊检查提示下丘脑占位性病变。
入院查体:神清语利,查体合作,双瞳孔等大,2.5mm,光反应灵敏,视力大致正常。外生殖器官发育,阴毛生长,稀疏均匀分布,第二性征发育与年龄不符,表现为性早熟特征。
诊治经过:
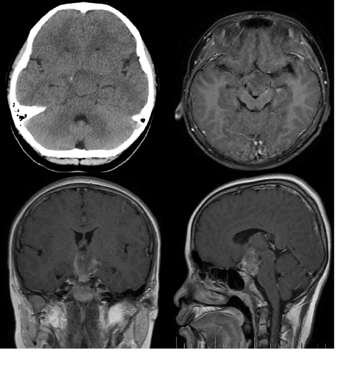
辅助检查:术前CT提示患儿鞍上等密度占位性病变,未见钙化。MRI显示鞍上大小约3.2*3.1*3.6cm异常信号占位性病变,与下丘脑等结构边界不清,注药后轻度不均匀强化(图1)。

图1.术前头部CT及MRI T1增强矢冠轴位
术前诊断:鞍上占位:下丘脑错构瘤?星形细胞瘤?
完善术前检查后行内镜扩大经蝶入路鞍上占位切除术,术者:耿素民、刘春辉、应建友、涂少华。 术中见病变位于下丘脑,质地软韧,色灰,血运中等,与下丘脑边界欠清。内镜下近全切除肿瘤,鼻中隔黏膜瓣重建颅底。
术后患儿基本生命体征平稳,神志清楚,视力大致同术前。术后第三天患儿诉视力下降,给予扩血管,改善灌注等对症支持治疗,患儿诉视力逐渐好转。术后一过性多尿,给予弥凝片治疗后好转,未出现感染,脑脊液鼻漏等其它并发症,术后10天患儿顺利出院。
术后影像学检查:

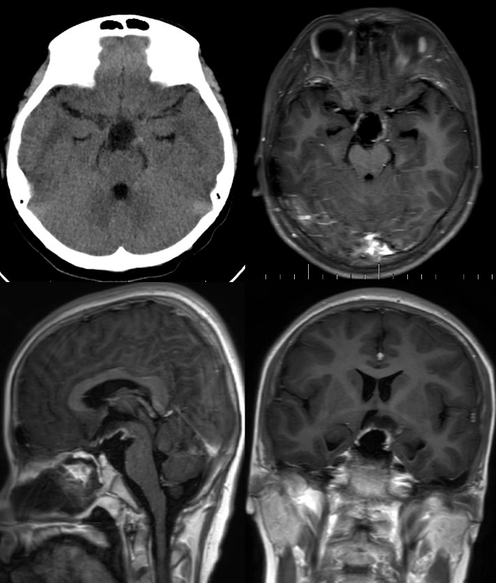
图2.术后当天头部CT及术后一周头部MRI T1增强矢冠轴位

术后病理检查及免疫组化
讨论:
1、经鼻内镜至下丘脑病变手术路径,避免了开颅手术对脑组织牵拉和损伤:
2、此入路可以通过适当的垂体移位显露肿瘤全貌,避免开颅手术视神经,颈内动脉及其分支等结构对术野的阻挡;通过内镜下的显微操作减少对下丘脑牵拉和损伤;
3、更好的照明和抵近观察,可以更清晰地辨认肿瘤与正常组织结构 ,为最大限度保护正常组织和切除肿瘤创造有利条件: