患者,男,33岁,因高处坠落头部摔伤2小时入院。查体:深昏迷,右侧瞳孔直经5mm,左侧4mm,GCS4分。
CT示双侧额颞部硬膜下血肿,弥漫性脑肿胀,蛛网膜下腔出血,多发头皮血肿。
骨窗片显示左枕骨粉碎性骨折,失状缝分离骨折。
经家属同意签字后,急症手术,行双侧额颞瓣开颅血肿清除去骨瓣减压术及气管切开术。术中见渗血明显,输注冷沉淀10单位。
术前凝血功能明显异常
术后血小板明显降低
术后1天,双瞳孔恢复正常等大,但仍处于昏迷状态,CT复查示,血肿清除满意,左额叶迟发挫裂伤灶,右颞抌叶低密度梗死灶,考虑术前脑疝,导致外伤性大脑后动脉供血区梗死。行脱水,抗炎,神经营养,脑保护,维护水电平衡,防治并发症等治疗。
术后2天,凝血功能及血小板基本恢复正常。
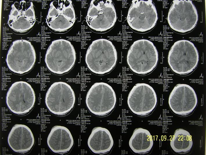
术后7天CT示,尚处于脑水肿期,但环池,三脑室显示有改善。
术后13天CT示,皮下积液及左侧硬膜下积液,给予局部骨窗适当加压包扎,注意纠正头位及体位。
术后24天CT复查示,脑水肿基本消退,额叶挫裂伤灶明显收收,患者神志转清,有遵嘱动作,一月后出院康复。
患者伤后6个月复查,言语肢体活动良好,生活自理并能参于家务劳动。
CT复查示,额叶及左颞枕叶处软化灶,无脑积水征像,脑压不高,再次入院行颅骨修补术。
颅骨三维成形示骨缺损状态。
颅骨修补术中照片
颅骨修补术后CT复查,效果满意。2周后顺利出院。




