翼腭窝及颞下窝均位于颅底中线外侧区域,位于翼腭窝或者颞下窝的病变包括起源于三叉神经第二支(上颌神经)或第三支的神经鞘瘤(TS)。由于解剖位置深在,该部位病变传统手术入路往往难以处理。近年来,神经内镜技术由于具有抵近观察的优势,其被越来越多的运用到颅底手术中,特别是在颅底中线旁病变中逐渐得到运用。下面我们来介绍由施炜教授团队完成的一例神经内镜下翼腭窝肿瘤的手术病例。
病例简介:
患者姚某某,女,48岁,因“阵发性头晕一月余“于2019年6月就诊于南通大学附属医院神经外科。患者一月前出现头晕,同时伴有恶心,呕吐、行路不稳。体格检查:神志清,双侧瞳孔对称,光反射存在,四肢活动自如。

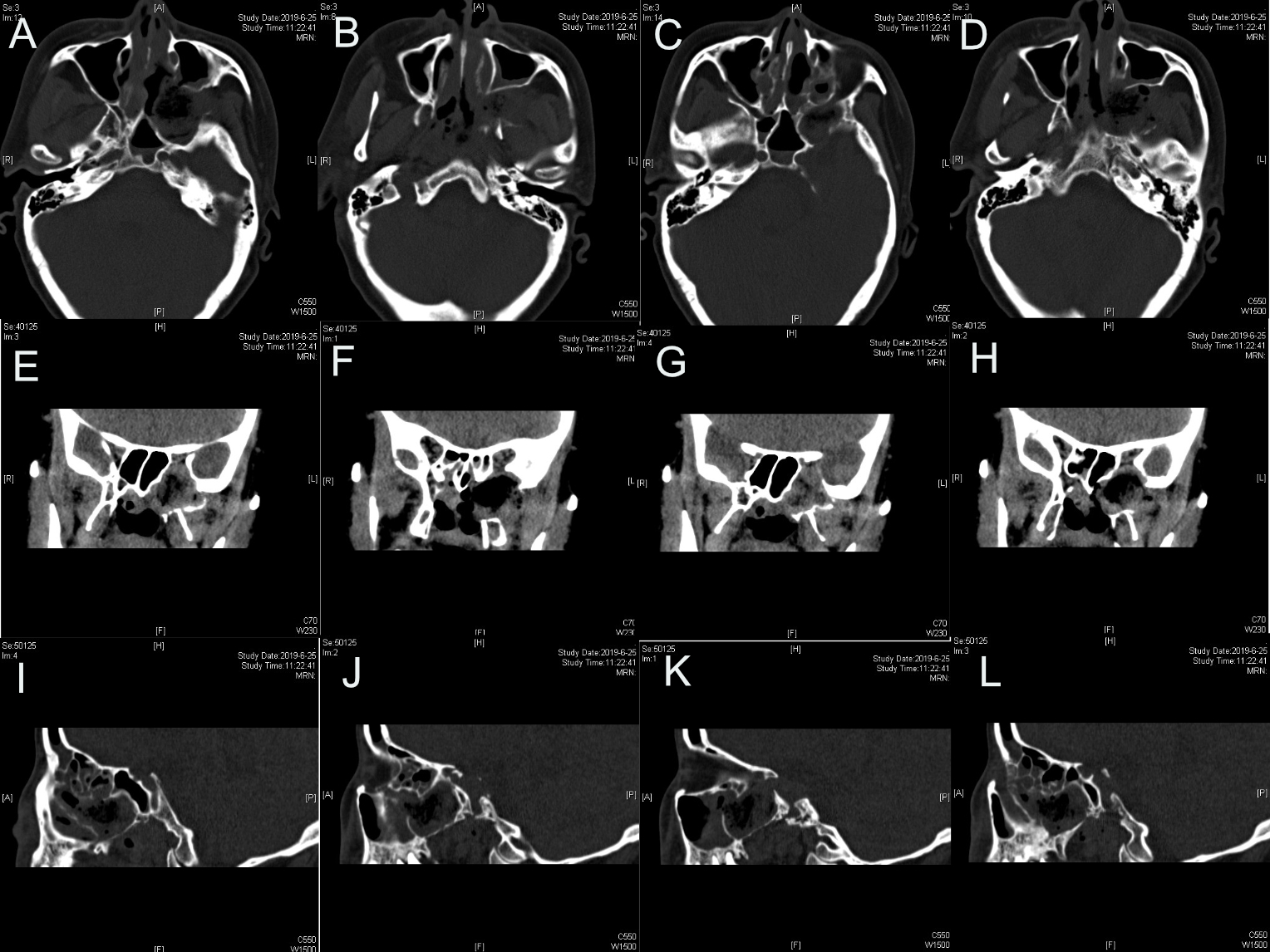
图1.蝶鞍区CT:左侧颅底见梭形软组织密度影,大小约3.7*1.9㎝,周围骨质受压变薄。


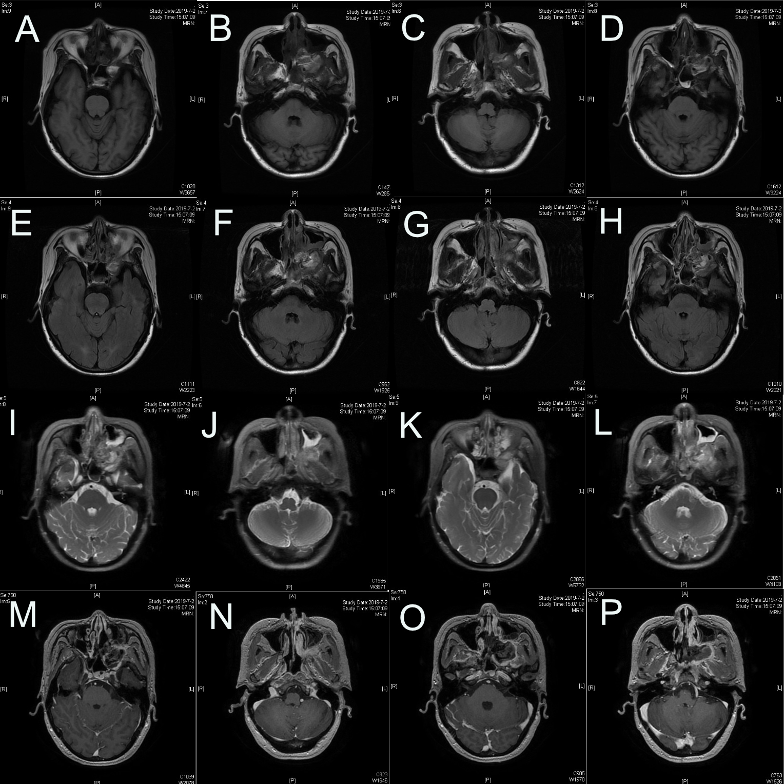
图2.PPF内肿瘤侵犯上颌窦后壁以及颞下窝,部分肿瘤向中颅底侵犯。

图3.诊断:左侧PPF肿瘤(术后病理:神经鞘瘤)

图4.术中切除的中鼻甲(左)与钩突

图5.收敛双侧鼻腔后,暴露并切除左侧中鼻甲、钩突

图6.术中电凝出血的蝶腭动脉(SPA)

图7.咬除上颌窦后壁及腭骨垂直板

图8.见腭骨垂直板被肿瘤侵犯变薄,打开上颌窦内侧壁进入上颌窦,见上颌窦后壁被肿瘤挤压后菲薄,给予咬除上颌窦后壁以及残留的腭骨垂直板。

图9.暴露翼腭窝中肿瘤,切开肿瘤包膜后,从肿瘤前方、内侧方给予瘤内分块切除肿瘤。

图10.肿瘤起源于中颅底圆孔,圆孔已明显扩大

图11.肿瘤完全切除

图12.术后CT左侧颅底术后改变,术区肿瘤完全切除。


图13.左侧颅底术后所见,肿瘤全切除。
预后:
患者术后无头晕、恶心等症状,四肢肌力肌张力正常,自然行走,无并发症。
小结:
此病例肿瘤较大,且侵犯左侧上颌窦外侧壁与腭骨垂直板,经单入路不能完全切除肿瘤组织,故采用经鼻-上颌窦/腭骨垂直板联合入路(如图14-15)。针对翼腭窝肿瘤,神经内镜视野下尽可能的减少翼腭窝内血管以及神经的损伤,更有效的去除肿瘤组织。

图14.灌注标本,内镜下经鼻-腭骨垂直板入路

图15.灌注标本,内镜下经鼻-上颌窦入路

作者:
南通大学附属医院神经外科
施炜 陈建 倪兰春 张宇 徐希德 龚佩佩 陈腾飞