【患者在脑脊液中心治疗过程和结果】
一、李小勇脑脊液中心入院前病史
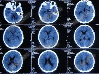
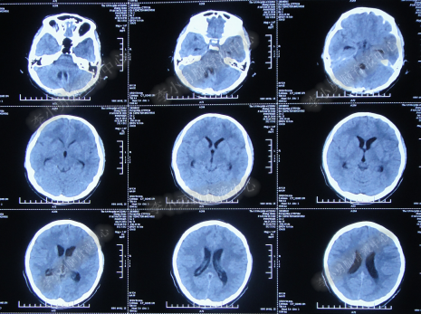
患者因恶心、呕吐伴头痛头晕,自行服药后无法自行缓解,于2014年5月29日就诊位于重庆的著名的三甲肿瘤医院,查全脑CTA和CT后诊断为“小脑蚓部占位伴幕上脑积水”(图-1、图-2)。
图-1:2014年5月29日全脑CTA
图-2:2014年5月29日头部CT
入院次日即2014年5月30日,进行了小脑蚓部占位病变切除术,术后当天查头部MRI示小脑蚓部占位切除术后状态、脑积水(图-3),术后当天血象、体温高,预防性的给予罗氏芬抗感染治疗。
图-3:2014年5月30日头部MRI
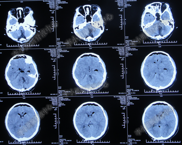
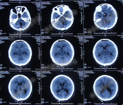
小脑蚓部占位病变切除术后第1天即2014年5月31日,查头部CT示脑室缩小,但硬膜下有积液(图-4),且体温高达38.8°C。
图-4:2014年5月31日头部CT
小脑蚓部占位病变切除术后第2天即2014年6月1日,查头部CT示脑室稍扩张,但硬膜下积液有减少(图-5),仍高热不退。
图-5:2014年6月1日头部CT
小脑蚓部占位病变切除术后第4天即2014年6月3日,查头部CT示脑室扩张加重,硬膜下积液基本消失(图-6),因仍高热给予腰椎穿刺脑脊液检查示颅内感染,将抗生素改为万古霉素联合美罗培南并进行腰大池引流。术后1周脑瘤病理检示“小脑蚓部髓母细胞瘤”。
图-6:2014年6月3日头部CT
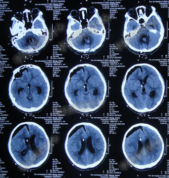
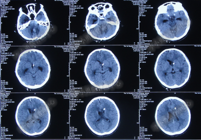
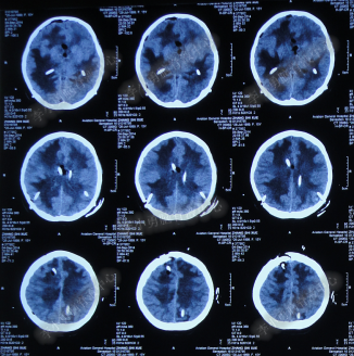
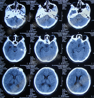
腰大池持续引流20天内,体温仍间断高热,曾3次脑脊液细菌培养均示鲍曼不动杆菌,先后使用利奈唑胺+克倍宁,利奈唑胺+克倍宁+奥硝唑,舒普深+米诺环素+来立信+氟康唑,舒普深+米诺环素+美罗培南+氟康唑,及日达仙、人免疫球蛋白提高免疫力,但颅内感染仍控制不住,期间多次头部CT检查均示脑室无明显扩张(图-7、图-8、图-9)。
图-7:2014年6月9日头部CT
图-8:2014年6月14日头部CT
图-9:2014年6月21日头部CT
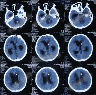
小脑蚓部占位病变切除术后第25天即腰大池持续引流第22天即2014年6月24日早晨,出现意识障碍加重,查头部CT示脑室扩张明显(图-10);当天拔除腰大池引流,急诊给予第1次手术右侧侧脑室外引流术,术后当天查头部CT示脑室外引流术后状态(图-11)。
图-10:2014年6月24日头部CT
图-11:2014年6月24日术后头部CT
脑室外引流术后9天内,脑积水仍没有得到控制(图-12、图-13、图-14),且脑脊液仍有细菌。
图-12:2014年6月28日头部CT
图-13:2014年6月30日头部CT
图-14:2014年7月3日头部CT
小脑蚓部占位病变切除术后第35天即第1次右侧脑室外引流术后第10天即2014年7月4日,因颅内感染得不到有效控制,外院请来专家会诊,建议给予舒普深+米诺环素+多粘菌素+伏立康唑抗感染治疗,脑积水无改善可能与堵管有关,且右侧脑室外持续引流可加重颅内感染,因此,计划明日进行左侧脑室外引流。
次日即2014年7月5日,进行了第2次手术左侧侧脑室前角穿刺外引流术+拔除右侧脑室外引流管,术后当天查头部CT示左侧侧脑室外引流术后状态(图-15)。
图-15:2014年7月5日头部CT
小脑蚓部占位病变切除术后第38天即第2次手术左侧侧脑室外引流术后第3天即2014年7月8日,查头部CT示脑室缩小(图-16),体温下降稍偏高,脑脊液培养无细菌。
图-16:2014年7月8日头部CT
小脑蚓部占位病变切除术后第42天即第2次手术左侧侧脑室外引流术后第7天即2014年7月12日,查头部CT示脑室又有扩张(图-17)。
图-17:2014年7月12日头部CT
小脑蚓部占位病变切除术后第45天即第2次手术左侧侧脑室外引流术后第10天即2014年7月15日,因左侧脑室外引流不畅,意识障碍加重,查头部CT示脑积水再次加重(图-18)。
图-18:2014年7月15日头部CT
图-19:2014年7月16日头部CT
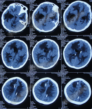
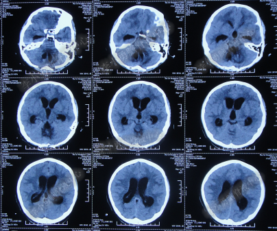
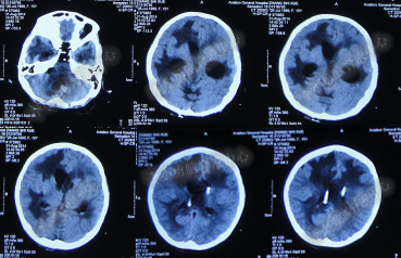
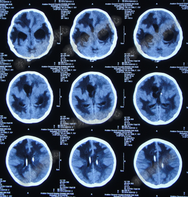
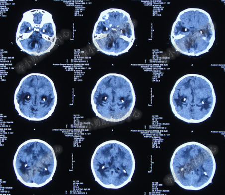
第3次手术右侧脑室外引流术后1个月时间内,脑积水仍没有得到控制,再给予腰大池引流,期间多次试图拔除右侧脑室外引流管(多次调高脑室外引流管的高度),但因患者意识变差,而无法拔除引流管,给予拔除腰大池引流,治疗期间曾多次查头部CT均示脑积水仍无改善(图-20、图-21、图-22、图-23)。
图-20:2014年7月24日头部CT
图-21:2014年7月29日头部CT
图-22:2014年8月4日头部CT
图-23:2014年8月15日头部CT
小脑蚓部占位病变切除术后第79天即第3次手术右侧脑室外引流术后第35天即2014年8月18日,因此右侧脑室外引流管堵塞,患者意识变差,查头部CT示脑积水加重(图-24)。
图-24:2014年8月18日头部CT
图-25:2014年8月19日头部CT
小脑蚓部占位病变切除术后第81天即第3次手术右侧脑室外引流术后第37天即第4次手术左侧脑室枕角穿刺外引流术第3天即2014年8月20日,因右侧脑室外引流管堵管且拔除困难只能无奈的选择脑外段剪除术,查头部CT示脑积水,双侧侧脑室见引流管影(图-26)。
图-26:2014年8月20日头部CT
但此时患者颅内感染仍控制不住,脑脊液病菌培养示产吲哚黄杆菌,仍间断发热,意识障碍,医生认为颅内感染和脑室粘连严重,已没有更好的治疗方法,让家属做好“心理准备”。家属坚持不放弃,经网上查询确认后,于小脑蚓部占位病变切除术后第92天即第3次手术右侧脑室外引流术后第48天即第4次手术左侧脑室枕角穿刺外引流术第14天即2014年8月31日,转至李小勇脑脊液中心。
二、在李小勇脑脊液中心治疗过程和结果
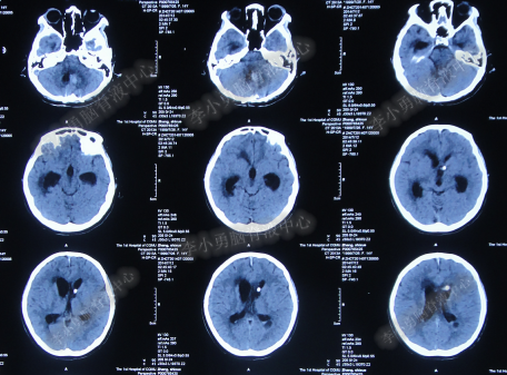
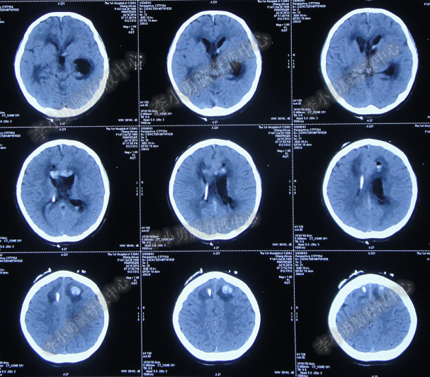
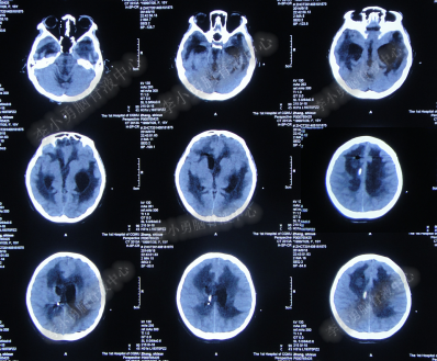
2014年8月31日住入李小勇脑脊液中心,入院时:卧床,表情淡漠,神志嗜睡;体温高37.9°C;头颅枕后正中手术瘢痕,结痂尚未脱落;左枕侧脑室外引流固定在位,尚通畅,可见淡红色浑浊脑脊液引出;颈抵抗,双肺呼吸音粗(图-27);头部CT检查示(小脑肿瘤术后颅内感染病例)脑室系统粘连严重伴双侧颞角脑室扩张明显,双侧侧脑室见引流管影,脑内见多发斑片低密度,中线结构无移位,颅骨术后改变(图-28)。
图-27:2014年8月31日入院时
图-28:2014年8月31日头部CT
入院第4天即2014年9月3日,左枕脑室外引流管引流脑脊液量不多,晨起4:00左右出现血压升高伴瞳孔扩大,4.5:2.0;多参数生理:心率102次/分,呼吸11次/分,血压141/96mmHg,血氧饱和度98%;急行头部CT检查示双侧侧脑室扩大,颞角扩张显著,双侧侧脑室见引流管影,位置变化不大,脑内见多发斑片低密度(图-29)。
图-29:2014年9月3日4点50分头部CT
图-30:2014年9月3日术后头部CT
入院第5天即2014年9月4日下午,左右出现双侧瞳孔不等大,光反射迟钝。急诊行头部CT检查示右侧颞角脑室扩张加重伴弥漫性脑实质水肿(图-31)。
图-31:2014年9月4日头部CT
李小勇医生指示:患者昨日急诊进行了脑室探查、原脑室引流管去除,左侧颞角脑室外引流术,初步解决了左侧颞角脑室扩张问题,但目前再次出现脑疝表现,结合CT结果右侧颞角脑室扩张加重,急诊给予进行右侧颞角脑室外引流术,术后当天复查头部CT示脑室外引流术后状态(图-32),术后患者情况变稳定,嗜睡,刺痛后双上肢无反应。
图-32:2014年9月4日术后头部CT
图-33:2014年9月9日头部CT拔除引流管后
图-34:2014年9月9日刺痛后双上肢能动
入院19天即2014年9月18日,病情进一步改善为:意识变清楚,双上肢能遵嘱活动,自主动作明显增多(图-35),头部CT示脑室缩小(图-36)。
图-35:2014年9月18日双上肢能遵嘱活动
图-36:2014年9月18日头部CT
入院治疗39天即2014年10月8日,查头CT示脑室缩小,右额叶见囊状含气密度,可见气液平面(图-37)。李小勇医生指示:目前CT显示颅内积气,存在原右额头皮切口愈合不良表现,给予切口清创缝合术。
图-37:2014年10月8日头部CT有积气
2014年11月18日(外院治疗92天无效,但在李小勇脑脊液中心治疗79天出院),出院时:由入院时的卧床,嗜睡改善为:意识清楚,四肢能遵嘱活动,扶着栏杆能独立站立,在搀扶下能行走,饮食睡眠改善为正常(图-38);出院前头部CT示未见异常(图-39)。
图-38:2014年11月18日出院时
图-39:出院前头部CT未见异常
三、出院后随访
出院后近半年即2015年5月6日来院复查,复查时:出院时不能独立站立,搀扶下行走进一步改善为:坐下能自己起身,能自己独立行走,但走路差些(图-40)。
图-40:2015年5月6日能自己走路
图-41:2015年12月8日能蹲下起立
图-42:2016年12月5日走路基本正常
(完)
〔本典型病例所涉及的图片和视频均经患者本人同意,如有异议,请联系该内容发布方〕
开设“脑脊液神经外科学”学科
交流咨询:13651375487(微信同号),扫码关注我!




