2020年06月24日发布 | 1107阅读
神经介入-AIS
神经内科-神经内科

navi联合铂金取栓支架应用体会

田伟

邯郸市中心医院

患者信息:男性,58岁,主诉: 突发言语不清伴右侧肢体活动不利8小时转入(在住院期间发病)。
查体: 朦胧,烦躁, 失语,凝视,右侧肢体肌力1级,失语,左侧肢体肌力5级,右侧巴氏征阳性,NHISS 20。
既往: 明确房颤病史。

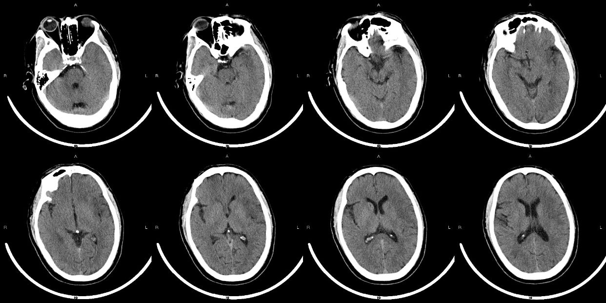
ASPECT评分7分

椎动脉造影,左侧软膜支有少量代偿

右侧大脑中动脉向左侧未见代偿

急性左侧大脑中动脉闭塞,考虑栓塞

侧位

navi到位

微导管到位造影,首过效应阴性

首过效应阴性

支架释放

释放支架后造影,提示有下干充盈缺损

支架配合抽吸导管取栓

取出栓子

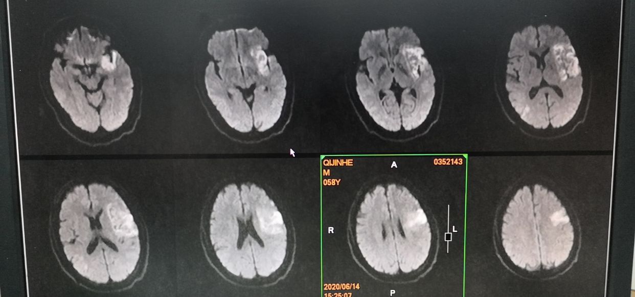
术后3天核磁

术后五天

操作体会和经验分享如下:

◆ 整体支架的推送,释放和回撤更加简单,轻松和快捷;

◆ 由于支架体有效工作段增加了12个铂金显影标记点,在术中透视的观察清晰直观,能实时获得手术反馈的动态。例如,支架释放操作时,微导管回撤到第2组铂金标记点时,我们观察到后续支架的位置和形态均很稳定。由于铂金显影点是环绕在开放卷曲的支架体,两者的设计相加也提示显影所提供的术中反馈是准确且稳定的。

◆ 更为重要的是,支架工作长度更长(40mm),在SWIM技术的运用上也具备以下优势:

1)提供更好的支架锚定效果;

2)在ICA虹吸部可更好地和Navien 导管形成同轴效应;

3)精准定位结合更长支架,实现大负荷量血栓的抓取,实现一次三级开通。

田伟,党员,邯郸市中心医院神经外一科工作,副主任医师,2010年河北医科大学硕士研究生毕业2014年获邯郸市五一劳动奖章,技能大赛状元,2016天坛进修血管内介入治疗,可独立完成颈动脉支架成形术,急性脑梗塞机械取栓术,颅内血管狭窄成形术,颅内动脉瘤介入栓塞术,目前河北省卫生厅厅级立项1项,核心期刊3篇,国家级文章3篇,副主编著作1部,2016年聘为河 北 省 血 管 健 康 与 技 术 协 会 脑 血 管 介 入 专 业 委 员 会 青年委员,2019年聘为河 北 省 医 师 学 会 神 经 外 科 医 师 分 会神 经 重 症 学 组 委 员。

最新评论
发表你的评论
发表你的评论